Suppr超能文献

环状RNA circSPATA6通过miR-182调控TRAF6抑制口腔鳞状细胞癌细胞的进展。

Circular RNA circSPATA6 Inhibits the Progression of Oral Squamous Cell Carcinoma Cells by Regulating TRAF6 via miR-182.

作者信息

Fan Xinhua, Wang Ying

机构信息

Department of Stomatology, Inner Mongolia Baotou Steel Hospital, Baotou City, Inner Mongolia, People's Republic of China.

出版信息

Cancer Manag Res. 2021 Feb 22;13:1817-1829. doi: 10.2147/CMAR.S292074. eCollection 2021.

Abstract

BACKGROUND

Oral squamous cell carcinoma (OSCC) has become a widely concerned social problem. Circular RNA spermatogenesis-associated protein 6 (circSPATA6) exhibited low expression in OSCC tissues, yet the regulatory mechanism of circSPATA6 remains vague.

METHODS

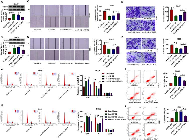
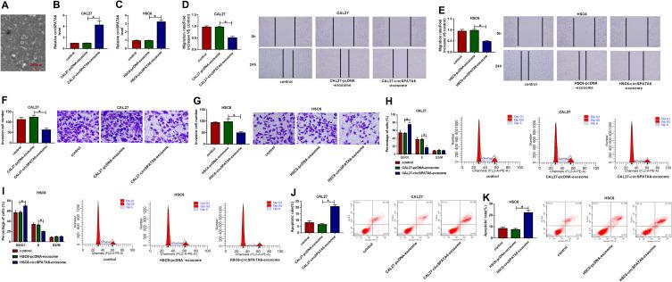
Levels of circSPATA6, linear SPATA6, microRNA-182 (miR-182), and tumor necrosis factor receptor-associated factor 6 (TRAF6) were detected by real-time quantitative polymerase chain reaction (RT-qPCR). Migration, invasion, cell cycle arrest, and apoptosis were assessed by Wound-healing, Matrigel invasion, and Flow cytometry assays. The binding relationship between miR-182 and circSPATA6 or TRAF6 was predicted by circRNA interactome or DIANA TOOL and then proved by the dual-luciferase reporter and RNA Immunoprecipitation (RIP) assays. TRAF6 protein level was measured by Western blot assay. The biological role of circSPATA6 on OSCC tumor growth was analyzed by xenograft tumor model in vivo. Exosomes were isolated and detected by differential centrifugation and a transmission electron microscope.

RESULTS

CircSPATA6 and TRAF6 were declined, and miR-182 was elevated in OSCC cells. Functionally, circSPATA6 impeded migration and invasion, and facilitated cell cycle arrest and apoptosis of OSCC cells. Mechanistically, circSPATA6 could modulate TRAF6 expression through sponging miR-182. Moreover, circSPATA6 blocked tumor growth in the OSCC mice model. Exosomal circSPATA6 retarded the growth of OSCC cells.

CONCLUSION

CircSPATA6 curbed migration and invasion, and expedited cell cycle arrest and apoptosis in OSCC cells partly through regulating the miR-182/TRAF6 axis. These findings hinted at an underlying circRNA-targeted therapy for OSCC.

摘要

背景

口腔鳞状细胞癌(OSCC)已成为一个广受关注的社会问题。环状RNA精子发生相关蛋白6(circSPATA6)在OSCC组织中表达较低,但其调控机制仍不清楚。

方法

采用实时定量聚合酶链反应(RT-qPCR)检测circSPATA6、线性SPATA6、微小RNA-182(miR-182)和肿瘤坏死因子受体相关因子6(TRAF6)的水平。通过伤口愈合、基质胶侵袭和流式细胞术检测评估迁移、侵袭、细胞周期阻滞和凋亡情况。通过circRNA相互作用组或DIANA工具预测miR-182与circSPATA6或TRAF6之间的结合关系,然后通过双荧光素酶报告基因和RNA免疫沉淀(RIP)试验进行验证。采用蛋白质免疫印迹法检测TRAF6蛋白水平。通过体内异种移植肿瘤模型分析circSPATA6对OSCC肿瘤生长的生物学作用。通过差速离心和透射电子显微镜分离并检测外泌体。

结果

在OSCC细胞中,circSPATA6和TRAF6水平下降,miR-182水平升高。在功能上,circSPATA6可抑制OSCC细胞的迁移和侵袭,并促进细胞周期阻滞和凋亡。机制上,circSPATA6可通过海绵吸附miR-182来调节TRAF6的表达。此外,circSPATA6可抑制OSCC小鼠模型中的肿瘤生长。外泌体circSPATA6可抑制OSCC细胞的生长。

结论

CircSPATA6部分通过调节miR-182/TRAF6轴抑制OSCC细胞的迁移和侵袭,并加速细胞周期阻滞和凋亡。这些发现提示了一种潜在的针对OSCC的环状RNA靶向治疗方法。

https://cdn.ncbi.nlm.nih.gov/pmc/blobs/7be8/7910102/03d7eecef919/CMAR-13-1817-g0001.jpg

文献检索

告别复杂PubMed语法,用中文像聊天一样搜索,搜遍4000万医学文献。AI智能推荐,让科研检索更轻松。

立即免费搜索

文件翻译

保留排版,准确专业,支持PDF/Word/PPT等文件格式,支持 12+语言互译。

免费翻译文档

深度研究

AI帮你快速写综述,25分钟生成高质量综述,智能提取关键信息,辅助科研写作。

立即免费体验