Suppr超能文献

环状 RNA circ_0003028 通过 miR-1298-5p 调控 GOT2 促进非小细胞肺癌的发生。

Circular RNA circ_0003028 contributes to tumorigenesis by regulating GOT2 via miR-1298-5p in non-small cell lung cancer.

机构信息

Department of Thoracic Surgery, Jianhu Hospital Affiliated to Nantong University, Yancheng, China.

Information Center, Jianhu Hospital Affiliated to Nantong University, Yancheng, China.

出版信息

Bioengineered. 2021 Dec;12(1):2326-2340. doi: 10.1080/21655979.2021.1935064.

Abstract

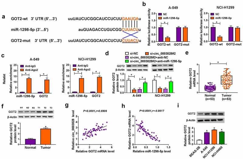
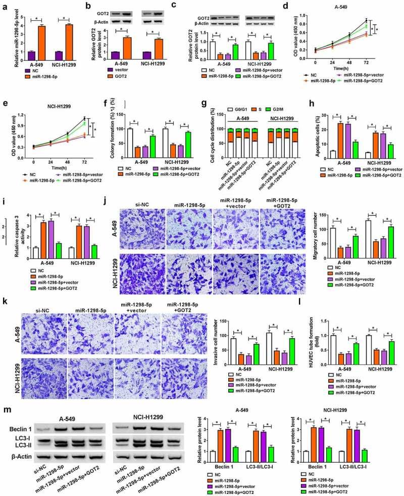
Non-small cell lung cancer (NSCLC) is a common malignant tumor, with high morbidity and mortality. Circular RNA (circRNA) circ_0003028 was reported to be upregulated in NSCLC. This study is designed to explore the role and mechanism of circ_0003028 on NSCLC progression. In this work, circ_0003028, microRNA-1298-5p (miR-1298-5p), and glutamic oxaloacetic transaminase 2 (GOT2) level were detected by real-time quantitative polymerase chain reaction (RT-qPCR). The localization of circ_0003028 was analyzed by subcellular fractionation assay. Cell proliferation, colony number, cell cycle progression, apoptosis, migration, invasion, and angiogenesis were measured by Cell Counting Kit-8 (CCK-8), colony formation, flow cytometry, transwell, and tube formation assays. Protein levels of Beclin1, light chain 3 (LC3)-II/LC3-I, GOT2, proliferating cell nuclear antigen (PCNA) were examined by western blot assay. The binding relationship between miR-1298-5p and circ_0003028 or GOT2 was predicted by circular RNA Interactome or starbase and then verified by dual-luciferase reporter, RNA Immunoprecipitation (RIP), and RNA pull-down assays. The biological role of circ_0003028 on NSCLC tumor growth was examined by the xenograft tumor model . We reported that circ_0003028 and GOT2 were upregulated, and miR-1298-5p was decreased in NSCLC tissues and cells. Moreover, circ_0003028 knockdown curbed cell proliferative ability, migration, invasion, angiogenesis, and facilitate apoptosis and autophagy in NSCLC cells . Mechanical analysis discovered that circ_0003028 regulated GOT2 expression by sponging miR-1298-5p. Circ_0003028 silencing hindered the cell growth of NSCLC . Taken together, circ_0003028 knockdown could suppress NSCLC progression partly by regulating the miR-1298-5p/GOT2 axis, providing an underlying therapeutic target for NSCLC.

摘要

非小细胞肺癌(NSCLC)是一种常见的恶性肿瘤,发病率和死亡率都很高。Circ_0003028 已被报道在 NSCLC 中上调。本研究旨在探讨 circ_0003028 对 NSCLC 进展的作用和机制。在这项工作中,通过实时定量聚合酶链反应(RT-qPCR)检测 circ_0003028、microRNA-1298-5p(miR-1298-5p)和谷草转氨酶 2(GOT2)的水平。通过亚细胞分离测定分析 circ_0003028 的定位。通过细胞计数试剂盒-8(CCK-8)、集落形成、流式细胞术、Transwell 和管形成测定法测量细胞增殖、集落数、细胞周期进程、细胞凋亡、迁移、侵袭和血管生成。通过 Western blot 测定法检测 Beclin1、轻链 3(LC3)-II/LC3-I、GOT2、增殖细胞核抗原(PCNA)的蛋白水平。通过 circRNA Interactome 或 starbase 预测 miR-1298-5p 与 circ_0003028 或 GOT2 的结合关系,然后通过双荧光素酶报告、RNA 免疫沉淀(RIP)和 RNA 下拉测定验证。通过异种移植肿瘤模型检测 circ_0003028 对 NSCLC 肿瘤生长的生物学作用。我们报道 circ_0003028 和 GOT2 在 NSCLC 组织和细胞中上调,而 miR-1298-5p 下调。此外,circ_0003028 敲低抑制 NSCLC 细胞的增殖能力、迁移、侵袭、血管生成,并促进细胞凋亡和自噬。机械分析发现 circ_0003028 通过海绵吸附 miR-1298-5p 调节 GOT2 表达。circ_0003028 沉默抑制 NSCLC 细胞的生长。总之,circ_0003028 敲低通过调节 miR-1298-5p/GOT2 轴可能抑制 NSCLC 的进展,为 NSCLC 提供了一个潜在的治疗靶点。

https://cdn.ncbi.nlm.nih.gov/pmc/blobs/3779/8806680/4f8072b8b26f/KBIE_A_1935064_UF0001_OC.jpg

文献检索

告别复杂PubMed语法,用中文像聊天一样搜索,搜遍4000万医学文献。AI智能推荐,让科研检索更轻松。

立即免费搜索

文件翻译

保留排版,准确专业,支持PDF/Word/PPT等文件格式,支持 12+语言互译。

免费翻译文档

深度研究

AI帮你快速写综述,25分钟生成高质量综述,智能提取关键信息,辅助科研写作。

立即免费体验