Suppr超能文献

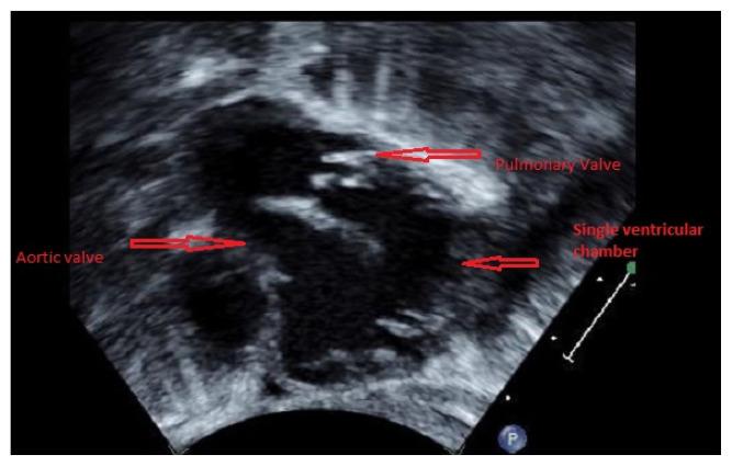
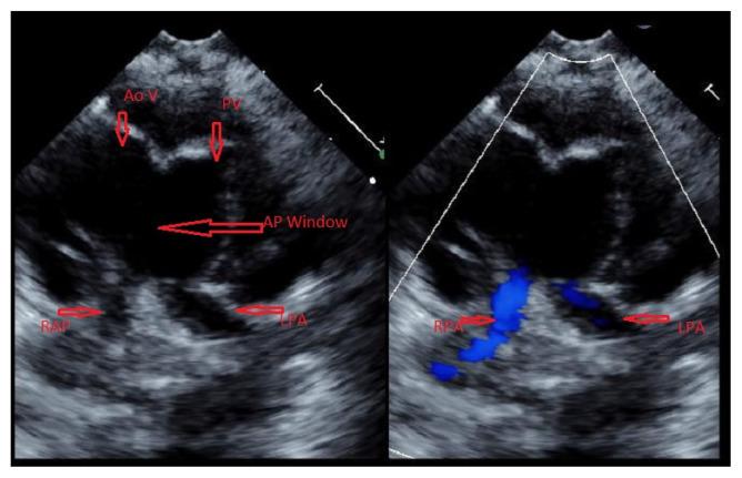
Uncommon Association of Aortopulmonary Window in a Patient with Complex Univentricular Heart and CHARGE Syndrome.

作者信息

Chikkabyrappa Sathish, Mahadevaiah Guruprasad, Doshi Arpan R, Lee Joan, Sagiv Eyal, Buddhe Sujatha

机构信息

Seattle Children's Hospital, Division of Pediatric Cardiology, Seattle, WA.

University of Washington School of Medicine, Seattle, WA.

出版信息

Kans J Med. 2021 Feb 12;14(1):48-50. doi: 10.17161/kjm.vol1414591. eCollection 2021.

Abstract
摘要
https://cdn.ncbi.nlm.nih.gov/pmc/blobs/39e8/7889068/0e00e9aff1e2/14-48f1.jpg

文献检索

告别复杂PubMed语法,用中文像聊天一样搜索,搜遍4000万医学文献。AI智能推荐,让科研检索更轻松。

立即免费搜索

文件翻译

保留排版,准确专业,支持PDF/Word/PPT等文件格式,支持 12+语言互译。

免费翻译文档

深度研究

AI帮你快速写综述,25分钟生成高质量综述,智能提取关键信息,辅助科研写作。

立即免费体验