Suppr超能文献

一氧化碳中毒:伪装大师

Carbon Monoxide Poisoning: The Great Imitator.

作者信息

Velasquez Christopher, Patchana Tye, McParland Brian, Lovy Jonathan, Maarouf Ahmad, Whitty Christopher

机构信息

Michigan State University College of Osteopathic Medicine, East Lansing, MI. Beaumont Hospital Southshore Campus, Trenton, MI.

Lake Erie College of Osteopathic Medicine, Erie, PA. Beaumont Hospital Southshore Campus, Trenton, MI.

出版信息

Spartan Med Res J. 2017 Aug 24;2(1):6343. doi: 10.51894/001c.6343.

Abstract

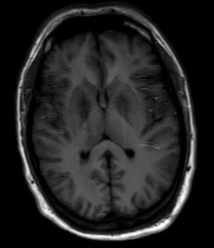
Carbon Monoxide (CO) is one of the leading causes of poison deaths in the United States. Signs and symptoms are clinically variable secondary to inconsistent targeting of highly metabolic tissues by the gas. We report a case of a man in his early to mid-30's presenting to the emergency department with mental status changes, fatigue, headache, and flu-like symptoms for three days. The patient had been working on his motor vehicles in the garage during this time, using a portable diesel powered space heater to keep warm. Subsequent neurology and cardiology workup demonstrated bilateral globus pallidus (GP) lesions on brain imaging, increased non-myocardial infarction troponin levels, carboxyhemoglobin (COHb) level of 3.8%, elevated liver enzymes, and acute kidney failure. In this setting of his delayed presentation as a smoker with carbon monoxide poisoning, carboxyhemoglobin levels alone become less reliable. This report investigates the use of bilateral GP lesions, the most frequently affected structure, as well as damage preference to highly metabolic tissues to assist in diagnosis and prognosis for CO poisoning. Our observations can be used for further study of the relationship between bilateral GP necrosis and initial presentation and outcome of patients experiencing CO poisoning leading to earlier recognition, treatment, and decreased morbidity/mortality.

摘要

一氧化碳(CO)是美国中毒死亡的主要原因之一。由于该气体对高代谢组织的靶向作用不一致,其体征和症状在临床上具有变异性。我们报告一例30岁出头至35岁左右的男性病例,该患者因精神状态改变、疲劳、头痛及类似流感症状三天而就诊于急诊科。在此期间,患者一直在车库里修理他的机动车,使用便携式柴油动力取暖器取暖。随后的神经科和心脏科检查显示,脑部成像有双侧苍白球(GP)病变,非心肌梗死肌钙蛋白水平升高,碳氧血红蛋白(COHb)水平为3.8%,肝酶升高,以及急性肾衰竭。在该吸烟者一氧化碳中毒延迟就诊的情况下,仅碳氧血红蛋白水平变得不太可靠。本报告探讨了使用双侧GP病变(最常受影响的结构)以及对高代谢组织的损伤偏好来辅助一氧化碳中毒的诊断和预后评估。我们的观察结果可用于进一步研究双侧GP坏死与一氧化碳中毒患者的初始表现及预后之间的关系,从而实现早期识别、治疗并降低发病率/死亡率。

https://cdn.ncbi.nlm.nih.gov/pmc/blobs/9ffb/7746039/78f3a488d825/smrj_2017_2_1_6343_16568.jpg

文献AI研究员

20分钟写一篇综述,助力文献阅读效率提升50倍。

立即体验

用中文搜PubMed

大模型驱动的PubMed中文搜索引擎

马上搜索

文档翻译

学术文献翻译模型,支持多种主流文档格式。

立即体验