Suppr超能文献

短期苯妥英暴露导致的不可逆性小脑萎缩:停用致病药物后的临床改善

Irreversible Cerebellar Atrophy as a Complication of Short-Term Phenytoin Exposure: Clinical Improvement Following Discontinuation of the Culprit.

作者信息

Algahtani Hussein, Shirah Bader, Alqahtani Abdulrahman J, Al-Malki Adnan Q

机构信息

Department of Neurology, King Abdulaziz Medical City, Jeddah, Saudi Arabia.

College of Medicine, King Saud bin Abdulaziz University for Health Sciences, Jeddah, Saudi Arabia.

出版信息

J Epilepsy Res. 2020 Dec 31;10(2):96-99. doi: 10.14581/jer.20016. eCollection 2020 Dec.

Abstract

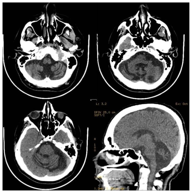
Phenytoin (diphenylhydantoin) is a widely used antiepileptic drug for controlling both generalized and partial seizures. Reversible cerebellar symptoms, including cerebellar ataxia, have been recognized as an adverse event of phenytoin use for many years. On the other hand, cerebellar degeneration has been reported with chronic use in an epileptic patient treated with this drug. We are reporting an interesting case of phenytoin induced acute pan-cerebellar syndrome with cerebellar atrophy on neuro-imaging that improved many years after discontinuation of the drug. Discontinuation of phenytoin may give a chance for the patient to recover slowly, months after stopping the drug. It is very important for the attending neurologist to educate the patients and their families on some common clinical manifestations suggestive of drug toxicity and perform a regular follow-up and clinical examination at regular intervals.

摘要

苯妥英钠(二苯乙内酰脲)是一种广泛用于控制全身性和部分性癫痫发作的抗癫痫药物。包括小脑共济失调在内的可逆性小脑症状,多年来一直被认为是使用苯妥英钠的不良事件。另一方面,有报道称在使用该药物治疗的癫痫患者中,长期使用会导致小脑变性。我们报告了一例有趣的病例,该病例为苯妥英钠诱发的急性全小脑综合征,神经影像学显示有小脑萎缩,在停药多年后有所改善。停用苯妥英钠可能会给患者一个缓慢恢复的机会,在停药数月后逐渐恢复。对于主治神经科医生来说,对患者及其家属进行有关提示药物毒性的一些常见临床表现的教育,并定期进行随访和临床检查非常重要。

https://cdn.ncbi.nlm.nih.gov/pmc/blobs/4287/7903046/14bb6a8585fc/jer-20016f1.jpg

文献AI研究员

20分钟写一篇综述,助力文献阅读效率提升50倍。

立即体验

用中文搜PubMed

大模型驱动的PubMed中文搜索引擎

马上搜索

文档翻译

学术文献翻译模型,支持多种主流文档格式。

立即体验