• 文献检索
  • 文档翻译
  • 深度研究
  • 学术资讯
  • Suppr Zotero 插件Zotero 插件
  • 邀请有礼
  • 套餐&价格
  • 历史记录
应用&插件
Suppr Zotero 插件Zotero 插件浏览器插件Mac 客户端Windows 客户端微信小程序
定价
高级版会员购买积分包购买API积分包
服务
文献检索文档翻译深度研究API 文档MCP 服务
关于我们
关于 Suppr公司介绍联系我们用户协议隐私条款
关注我们

Suppr 超能文献

核心技术专利:CN118964589B侵权必究
粤ICP备2023148730 号-1Suppr @ 2026

文献检索

告别复杂PubMed语法,用中文像聊天一样搜索,搜遍4000万医学文献。AI智能推荐,让科研检索更轻松。

立即免费搜索

文件翻译

保留排版,准确专业,支持PDF/Word/PPT等文件格式,支持 12+语言互译。

免费翻译文档

深度研究

AI帮你快速写综述,25分钟生成高质量综述,智能提取关键信息,辅助科研写作。

立即免费体验

BBS1 的异位表达可挽救 BBS1 小鼠模型的男性不育,但不能挽救其视网膜变性。

Ectopic expression of BBS1 rescues male infertility, but not retinal degeneration, in a BBS1 mouse model.

机构信息

Division of Medical Genetics and Genomics, Department of Pediatrics, Carver College of Medicine, University of Iowa, Iowa City, IA, USA.

Interdisciplinary Genetics Ph.D. Program, University of Iowa, Iowa City, IA, USA.

出版信息

Gene Ther. 2022 May;29(5):227-235. doi: 10.1038/s41434-021-00241-1. Epub 2021 Mar 4.

DOI:10.1038/s41434-021-00241-1
PMID:33664503
原文链接:https://pmc.ncbi.nlm.nih.gov/articles/PMC9422088/
Abstract

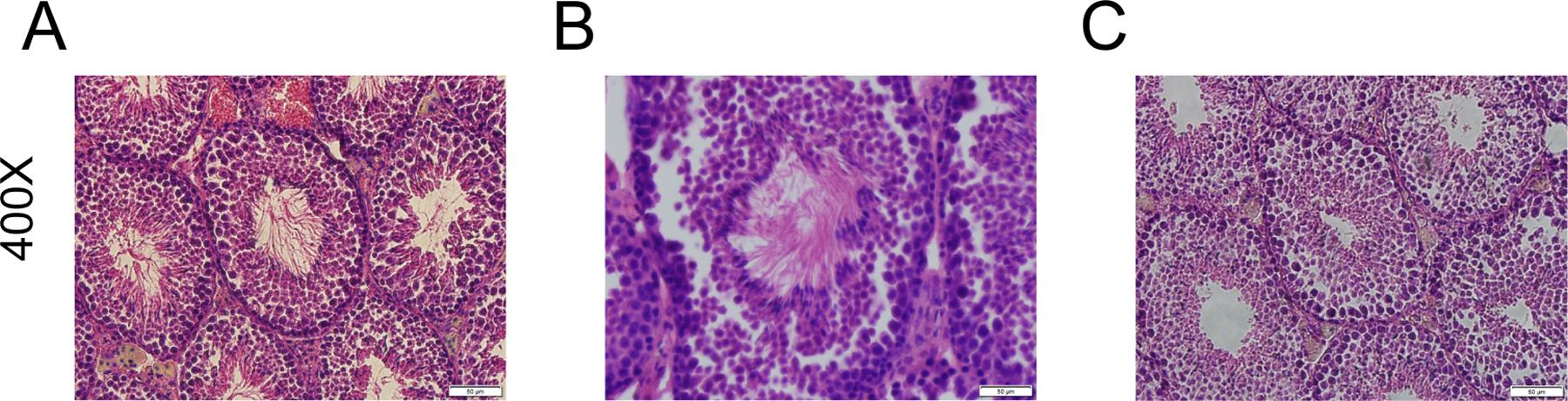
Bardet-Biedl syndrome (BBS) is a rare ciliopathy for which there are no current effective treatments. BBS is a genetically heterogeneous disease, though the M390R mutation in BBS1 is involved in ~25% of all genetic diagnoses of BBS. The principle features of BBS include retinal degeneration, obesity, male infertility, polydactyly, intellectual disability, and renal abnormalities. Patients with mutations in BBS genes often present with night blindness within the first decade of life, which progresses to complete blindness. This is due to progressive loss of photoreceptor cells. Male infertility is caused by a lack of spermatozoa flagella, rendering them immobile. In this study, we have crossed the wild-type human BBS1 gene, driven by the CAG promoter, onto the Bbs1 mouse model to determine if ectopic expression of BBS1 rescues male infertility and retinal degeneration. qRT-PCR indicates that the BBS1 transgene is expressed in multiple tissues throughout the mouse, with the highest expression seen in the testes, and much lower expression in the eye and hypothalamus. Immunohistochemistry of the transgene in the eye showed little if any expression in the photoreceptor outer nuclear layer. When male Bbs1;BBS1 mice are housed with WT females, they are able to sire offspring, indicating that the male infertility phenotype of BBS is rescued by the transgene. Using electroretinography (ERGs) to measure retinal function and optical coherence tomography to measure retinal thickness, we show that the transgene does not confer protection against retinal degeneration in Bbs1;BBS1 mice. The results of this study indicate that the male infertility aspect of BBS is an attractive target for gene therapy.

摘要

Bardet-Biedl 综合征(BBS)是一种罕见的纤毛病,目前尚无有效的治疗方法。BBS 是一种遗传异质性疾病,尽管 BBS1 中的 M390R 突变涉及所有 BBS 遗传诊断的约 25%。BBS 的主要特征包括视网膜变性、肥胖、男性不育、多指(趾)畸形、智力残疾和肾脏异常。BBS 基因突变的患者常在生命的第一个十年内出现夜盲症,进而发展为完全失明。这是由于感光细胞逐渐丧失所致。男性不育是由于缺乏精子鞭毛,使其无法移动。在这项研究中,我们将野生型人 BBS1 基因(由 CAG 启动子驱动)转入 Bbs1 小鼠模型中,以确定 BBS1 的异位表达是否可以挽救男性不育和视网膜变性。qRT-PCR 表明 BBS1 转基因在小鼠的多种组织中表达,在睾丸中表达最高,在眼睛和下丘脑中的表达则低得多。转基因在眼睛中的免疫组织化学染色显示,在外核层中的感光细胞中表达很少甚至没有。当雄性 Bbs1;BBS1 小鼠与 WT 雌性小鼠一起饲养时,它们能够生育后代,表明 BBS 的男性不育表型被转基因挽救。通过视网膜电图(ERGs)测量视网膜功能和光学相干断层扫描测量视网膜厚度,我们表明转基因不能预防 Bbs1;BBS1 小鼠的视网膜变性。这项研究的结果表明,BBS 的男性不育方面是基因治疗的一个有吸引力的目标。

https://cdn.ncbi.nlm.nih.gov/pmc/blobs/6b4c/9422088/cc7c813fb3e5/nihms-1671259-f0004.jpg
https://cdn.ncbi.nlm.nih.gov/pmc/blobs/6b4c/9422088/e5e910b24ef4/nihms-1671259-f0001.jpg
https://cdn.ncbi.nlm.nih.gov/pmc/blobs/6b4c/9422088/f226d260c254/nihms-1671259-f0002.jpg
https://cdn.ncbi.nlm.nih.gov/pmc/blobs/6b4c/9422088/ef2dd902ba93/nihms-1671259-f0003.jpg
https://cdn.ncbi.nlm.nih.gov/pmc/blobs/6b4c/9422088/cc7c813fb3e5/nihms-1671259-f0004.jpg
https://cdn.ncbi.nlm.nih.gov/pmc/blobs/6b4c/9422088/e5e910b24ef4/nihms-1671259-f0001.jpg
https://cdn.ncbi.nlm.nih.gov/pmc/blobs/6b4c/9422088/f226d260c254/nihms-1671259-f0002.jpg
https://cdn.ncbi.nlm.nih.gov/pmc/blobs/6b4c/9422088/ef2dd902ba93/nihms-1671259-f0003.jpg
https://cdn.ncbi.nlm.nih.gov/pmc/blobs/6b4c/9422088/cc7c813fb3e5/nihms-1671259-f0004.jpg

相似文献

1
Ectopic expression of BBS1 rescues male infertility, but not retinal degeneration, in a BBS1 mouse model.BBS1 的异位表达可挽救 BBS1 小鼠模型的男性不育,但不能挽救其视网膜变性。
Gene Ther. 2022 May;29(5):227-235. doi: 10.1038/s41434-021-00241-1. Epub 2021 Mar 4.
2
TUDCA slows retinal degeneration in two different mouse models of retinitis pigmentosa and prevents obesity in Bardet-Biedl syndrome type 1 mice.熊去氧胆酸可减缓两种不同的色素性视网膜炎小鼠模型的视网膜变性,并预防 1 型 Bardet-Biedl 综合征小鼠的肥胖。
Invest Ophthalmol Vis Sci. 2012 Jan 5;53(1):100-6. doi: 10.1167/iovs.11-8544.
3
A knockin mouse model of the Bardet-Biedl syndrome 1 M390R mutation has cilia defects, ventriculomegaly, retinopathy, and obesity.巴德-比德尔综合征1型M390R突变的敲入小鼠模型存在纤毛缺陷、脑室扩大、视网膜病变和肥胖问题。
Proc Natl Acad Sci U S A. 2007 Dec 4;104(49):19422-7. doi: 10.1073/pnas.0708571104. Epub 2007 Nov 21.
4
Subretinal gene therapy of mice with Bardet-Biedl syndrome type 1.Bardet-Biedl 综合征 1 型小鼠的视网膜下基因治疗。
Invest Ophthalmol Vis Sci. 2013 Sep 11;54(9):6118-32. doi: 10.1167/iovs.13-11673.
5
Phenotypic expression of Bardet-Biedl syndrome in patients homozygous for the common M390R mutation in the BBS1 gene.BBS1基因常见M390R突变纯合患者中巴德-比埃尔综合征的表型表达。
Vision Res. 2012 Dec 15;75:77-87. doi: 10.1016/j.visres.2012.08.005. Epub 2012 Aug 24.
6
BBS1 mutations in a wide spectrum of phenotypes ranging from nonsyndromic retinitis pigmentosa to Bardet-Biedl syndrome.BBS1突变可导致从非综合征性视网膜色素变性到巴德-比埃尔综合征等广泛的表型。
Arch Ophthalmol. 2012 Nov;130(11):1425-32. doi: 10.1001/archophthalmol.2012.2434.
7
Retinal disease expression in Bardet-Biedl syndrome-1 (BBS1) is a spectrum from maculopathy to retina-wide degeneration.巴德-比德尔综合征1型(BBS1)中的视网膜疾病表现是一个从黄斑病变到全视网膜变性的范围。
Invest Ophthalmol Vis Sci. 2006 Nov;47(11):5004-10. doi: 10.1167/iovs.06-0517.
8
Ectopic expression of human BBS4 can rescue Bardet-Biedl syndrome phenotypes in Bbs4 null mice.人 BBS4 的异位表达可挽救 Bbs4 敲除小鼠的 Bardet-Biedl 综合征表型。
PLoS One. 2013;8(3):e59101. doi: 10.1371/journal.pone.0059101. Epub 2013 Mar 15.
9
Genetic interaction of BBS1 mutations with alleles at other BBS loci can result in non-Mendelian Bardet-Biedl syndrome.BBS1突变与其他BBS基因座等位基因的遗传相互作用可导致非孟德尔型巴德-比埃尔综合征。
Am J Hum Genet. 2003 May;72(5):1187-99. doi: 10.1086/375178. Epub 2003 Apr 3.
10
Gene therapy rescues olfactory perception in a clinically relevant ciliopathy model of Bardet-Biedl syndrome.基因治疗挽救了巴德-比德尔综合征临床相关纤毛病模型中的嗅觉感知。
FASEB J. 2021 Sep;35(9):e21766. doi: 10.1096/fj.202100627R.

引用本文的文献

1
A visually guided swim assay for mouse models of human retinal disease recapitulates the multi-luminance mobility test in humans.一种用于人类视网膜疾病小鼠模型的视觉引导游泳试验概括了人类的多亮度移动性测试。
Saudi J Ophthalmol. 2023 Nov 18;37(4):313-320. doi: 10.4103/sjopt.sjopt_155_23. eCollection 2023 Oct-Dec.
2
Molecular basis of the morphogenesis of sperm head and tail in mice.小鼠精子头部和尾部形态发生的分子基础。
Reprod Med Biol. 2022 May 23;21(1):e12466. doi: 10.1002/rmb2.12466. eCollection 2022 Jan-Dec.
3
Gene therapy rescues olfactory perception in a clinically relevant ciliopathy model of Bardet-Biedl syndrome.

本文引用的文献

1
Violating the normality assumption may be the lesser of two evils.违反正态性假设可能是两害相权取其轻。
Behav Res Methods. 2021 Dec;53(6):2576-2590. doi: 10.3758/s13428-021-01587-5. Epub 2021 May 7.
2
Restore natural fertility of Kit/Kit mouse with nonobstructive azoospermia through gene editing on SSCs mediated by CRISPR-Cas9.通过 CRISPR-Cas9 介导的基因编辑在干细胞上修复 Kit/Kit 小鼠的非梗阻性无精子症,恢复其自然生育能力。
Stem Cell Res Ther. 2019 Aug 24;10(1):271. doi: 10.1186/s13287-019-1386-7.
3
Scientists call for moratorium on editing heritable genes.
基因治疗挽救了巴德-比德尔综合征临床相关纤毛病模型中的嗅觉感知。
FASEB J. 2021 Sep;35(9):e21766. doi: 10.1096/fj.202100627R.
科学家呼吁暂停编辑可遗传基因。
BMJ. 2019 Mar 18;364:l1256. doi: 10.1136/bmj.l1256.
4
AAV -regulatory sequences are correlated with ocular toxicity.腺相关病毒(AAV)的调控序列与眼毒性相关。
Proc Natl Acad Sci U S A. 2019 Mar 19;116(12):5785-5794. doi: 10.1073/pnas.1821000116. Epub 2019 Mar 4.
5
Identification and Characterization of Known Biallelic Mutations in the () Gene in a Novel Family With Bardet-Biedl Syndrome.一个患有巴德-比埃尔综合征的新家族中()基因已知双等位基因突变的鉴定与特征分析。
Front Genet. 2019 Jan 30;10:21. doi: 10.3389/fgene.2019.00021. eCollection 2019.
6
30 years of data: impact of the United States in vitro fertilization data registry on advancing fertility care.30 年的数据:美国体外受精数据登记对提高生育护理的影响。
Fertil Steril. 2019 Mar;111(3):477-488. doi: 10.1016/j.fertnstert.2018.11.015. Epub 2019 Feb 5.
7
Qualitative defects with normal sperm counts in a patient attending infertility clinic.在一家不孕不育诊所就诊的患者中,精子计数正常但存在质量缺陷。
Indian J Pathol Microbiol. 2018 Apr-Jun;61(2):233-235. doi: 10.4103/IJPM.IJPM_460_17.
8
First AAV gene therapy poised for landmark approval.首款腺相关病毒基因疗法有望获得具有里程碑意义的批准。
Nat Biotechnol. 2017 Nov 9;35(11):998-999. doi: 10.1038/nbt1117-998.
9
BBSome function is required for both the morphogenesis and maintenance of the photoreceptor outer segment.视锥外段的形态发生和维持都需要BBSome的功能。
PLoS Genet. 2017 Oct 19;13(10):e1007057. doi: 10.1371/journal.pgen.1007057. eCollection 2017 Oct.
10
Sperm counts, testicular cancers, and the environment.精子数量、睾丸癌与环境。
BMJ. 2017 Oct 10;359:j4517. doi: 10.1136/bmj.j4517.