Ridder Dirk Andreas, Schindeldecker Mario, Weinmann Arndt, Berndt Kristina, Urbansky Lana, Witzel Hagen Roland, Heinrich Stefan, Roth Wilfried, Straub Beate Katharina
Institute of Pathology, University Medical Center of the Johannes Gutenberg University, 55131 Mainz, Germany.
Tissue Biobank, University Medical Center of the Johannes Gutenberg University, 55131 Mainz, Germany.
Cancers (Basel). 2021 Feb 11;13(4):744. doi: 10.3390/cancers13040744.
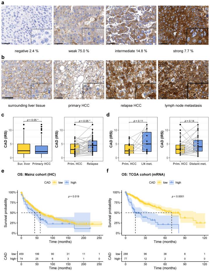
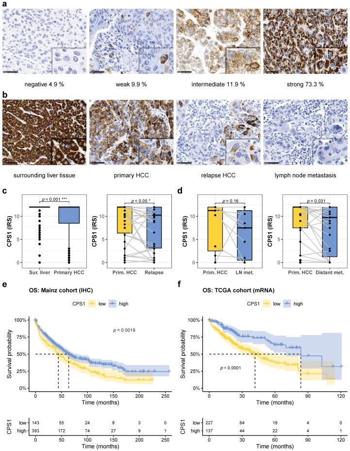
Patients with hepatocellular carcinoma (HCC) have a highly variable clinical course. Therefore, there is an urgent need to identify new prognostic markers to determine prognosis and select specific therapies. Recently, it has been demonstrated that dysregulation of the urea cycle (UC) is a common phenomenon in multiple types of cancer. Upon UC dysregulation, nitrogen is diverted toward the multifunctional enzyme carbamoyl-phosphate synthetase 2, aspartate transcarbamoylase, and dihydroorotase (CAD), and increases pyrimidine synthesis. In this study, we investigated the role of CAD and carbamoyl-phosphate synthetase 1 (CPS1), a rate-limiting enzyme of the UC highly expressed in hepatocytes, in HCC. We created a tissue microarray to analyze expression of both enzymes by immunohistochemistry in a large and well-characterized overall cohort of 871 HCCs of 561 patients that underwent surgery. CAD was induced in recurrent HCCs, and high expression predicted shorter overall survival. CPS1 was downregulated in HCC and further reduced in recurrent tumors and distant metastases. Additionally, low CPS1 was associated with short overall survival. A combined score of both enzymes was an independent prognostic marker in a multivariate Cox regression model (HR = 1.37, 95% confidence interval 1.06-1.75, = 0.014). Inhibition of pyrimidine synthesis may represent a novel therapeutic strategy for HCC.
肝细胞癌(HCC)患者的临床病程差异很大。因此,迫切需要确定新的预后标志物以确定预后并选择特定治疗方法。最近,有研究表明尿素循环(UC)失调是多种癌症中的常见现象。UC失调时,氮会转向多功能酶氨甲酰磷酸合成酶2、天冬氨酸转氨甲酰酶和二氢乳清酸酶(CAD),从而增加嘧啶合成。在本研究中,我们调查了CAD和氨甲酰磷酸合成酶1(CPS1,一种在肝细胞中高表达的UC限速酶)在HCC中的作用。我们制作了一个组织微阵列,通过免疫组化分析了561例接受手术的患者的871个HCC大样本且特征明确的总体队列中这两种酶的表达情况。CAD在复发性HCC中被诱导,高表达预示着总生存期较短。CPS1在HCC中表达下调,在复发性肿瘤和远处转移中进一步降低。此外,低CPS1与总生存期短相关。在多变量Cox回归模型中,这两种酶的综合评分是一个独立的预后标志物(风险比=1.37,95%置信区间1.06 - 1.75,P = 0.014)。抑制嘧啶合成可能代表一种针对HCC的新型治疗策略。