Suppr超能文献

手术中意外结扎腹腔干对神经母细胞瘤患儿的戏剧性后果。

The Dramatic Consequences of an Accidental Ligation of the Celiac Trunk during Surgery Performed on a Child with Neuroblastoma.

机构信息

Department of Pediatric Surgery, Traumatology and Urology, Poznan University of Medical Sciences, Szpitalna Street 27/33, 60-572 Poznan, Poland.

Department of Pediatric Oncology, Hematology and Transplantology, Poznan University of Medical Sciences, Szpitalna Street 27/33, 60-572 Poznan, Poland.

出版信息

Int J Environ Res Public Health. 2021 Feb 14;18(4):1841. doi: 10.3390/ijerph18041841.

Abstract

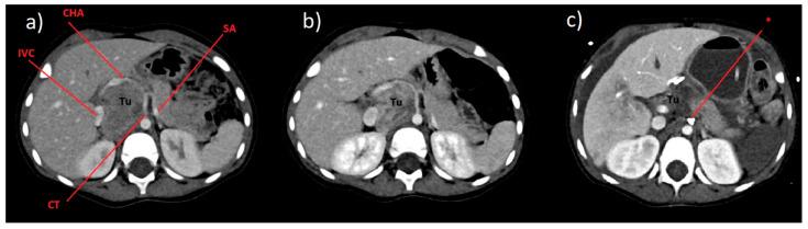
Neuroblastoma is the most common extra-cranial solid tumor in infants and young children, and accounts for approximately 8-10% of all childhood cancers. The International Neuroblastoma Staging System (The International Neuroblastoma Risk Group Staging System (INRGSS)) is based on the age of patient and preoperative imaging, with attention paid to whether the primary tumor is affected by one or more of specific Image-Defined Risk Factors (IDRFs). Patients are classified into the following groups: locoregional L1 and L2 (absent or present IDRFs respectively), M stage (a disseminated form of neuroblastoma) and Ms (the stage present in children younger than 18 months of age with the disease spread to the bone marrow and/or liver, and/or skin). This publication is aimed to present an unexpected complication associated with an accidental ligation of the celiac trunk during resection of a neuroblastoma tumor in a 2.5-year-old boy after initial chemotherapy, initially with vascular IDRFs, stage L2. The consequences of this complication were pancreatic and spleen ischemia and necrosis, and ischemia and perforation of the common bile duct, gallbladder, stomach, and duodenum. Despite detailed diagnostic imaging (computed tomography, magnetic resonance), the presence of vascular IDRFs may result in an unexpected complication in the surgical treatment of neuroblastoma in children.

摘要

神经母细胞瘤是婴儿和幼儿中最常见的颅外实体瘤,约占所有儿童癌症的 8-10%。国际神经母细胞瘤分期系统(国际神经母细胞瘤风险组分期系统(INRGSS))基于患者的年龄和术前影像学,注意原发性肿瘤是否受到一个或多个特定的影像定义危险因素(IDRFs)的影响。患者分为以下几类:局限性 L1 和 L2(分别为无或存在 IDRFs)、M 期(神经母细胞瘤的播散形式)和 Ms(18 个月以下儿童的疾病播散到骨髓和/或肝脏和/或皮肤)。本出版物旨在介绍一名 2.5 岁男孩在初始化疗后,在切除神经母细胞瘤肿瘤时,因意外结扎腹腔干而导致的意外并发症,最初存在血管 IDRFs,分期为 L2。该并发症的后果是胰腺和脾脏缺血和坏死,以及胆总管、胆囊、胃和十二指肠缺血和穿孔。尽管进行了详细的诊断影像学(计算机断层扫描、磁共振)检查,但在儿童神经母细胞瘤的手术治疗中,存在血管 IDRFs 可能会导致意外并发症。

https://cdn.ncbi.nlm.nih.gov/pmc/blobs/5d2d/7918232/287ef71db7c4/ijerph-18-01841-g001.jpg

文献检索

告别复杂PubMed语法,用中文像聊天一样搜索,搜遍4000万医学文献。AI智能推荐,让科研检索更轻松。

立即免费搜索

文件翻译

保留排版,准确专业,支持PDF/Word/PPT等文件格式,支持 12+语言互译。

免费翻译文档

深度研究

AI帮你快速写综述,25分钟生成高质量综述,智能提取关键信息,辅助科研写作。

立即免费体验