• 文献检索
  • 文档翻译
  • 深度研究
  • 学术资讯
  • Suppr Zotero 插件Zotero 插件
  • 邀请有礼
  • 套餐&价格
  • 历史记录
应用&插件
Suppr Zotero 插件Zotero 插件浏览器插件Mac 客户端Windows 客户端微信小程序
定价
高级版会员购买积分包购买API积分包
服务
文献检索文档翻译深度研究API 文档MCP 服务
关于我们
关于 Suppr公司介绍联系我们用户协议隐私条款
关注我们

Suppr 超能文献

核心技术专利:CN118964589B侵权必究
粤ICP备2023148730 号-1Suppr @ 2026

文献检索

告别复杂PubMed语法,用中文像聊天一样搜索,搜遍4000万医学文献。AI智能推荐,让科研检索更轻松。

立即免费搜索

文件翻译

保留排版,准确专业,支持PDF/Word/PPT等文件格式,支持 12+语言互译。

免费翻译文档

深度研究

AI帮你快速写综述,25分钟生成高质量综述,智能提取关键信息,辅助科研写作。

立即免费体验

以足月宫内胎儿死亡和胃肠道出血为表现的盲肠子宫内膜异位症:一例报告

Cecal endometriosis presenting as a term intrauterine fetal demise and gastrointestinal hemorrhage: A case report.

作者信息

Lee Matthew, Yu Lissa

机构信息

California Northstate University College of Medicine, USA.

Kaiser Permanente Fresno, USA.

出版信息

Case Rep Womens Health. 2021 Feb 20;30:e00301. doi: 10.1016/j.crwh.2021.e00301. eCollection 2021 Apr.

DOI:10.1016/j.crwh.2021.e00301
PMID:33680870
原文链接:https://pmc.ncbi.nlm.nih.gov/articles/PMC7930353/
Abstract

BACKGROUND

Of women diagnosed with endometriosis, 3.8-37% have bowel endometriosis. The cecum is the least common site for endometriotic implants affecting the bowel, accounting for only 3.6-6% of cases. We present a case of intrauterine fetal demise at term in which the patient was found to have gastrointestinal bleeding caused by endometriosis of the cecum.

CASE

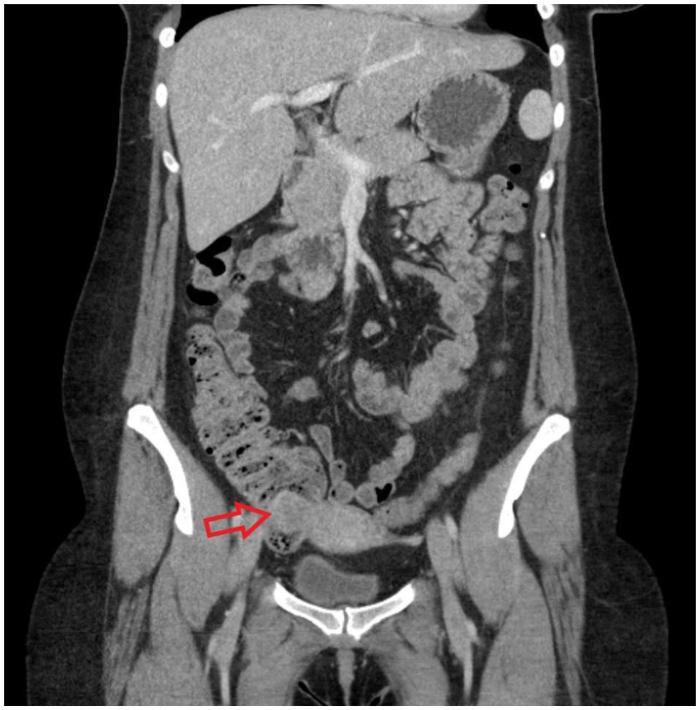
A 35-year-old woman, gravida 4, para 1, at 37 weeks and 3 days of gestation, without a known history of endometriosis but with two prior miscarriages, presented with severe anemia and intrauterine fetal demise. During delivery, melanotic stool was noted. Colonoscopic biopsy noted the source of bleeding to be a 2 cm endometriotic implant in the patient's cecum. Suppression therapy was started. Postpartum, the patient underwent laparoscopic cecectomy and pathology confirmed the diagnosis of endometriosis.

CONCLUSION

Hemorrhage from endometriotic implants may occur during pregnancy due to changes in the hormonal milieu. Bowel endometriosis may increase the risk of maternal hemorrhage during pregnancy, thereby increasing the risk of unfavorable pregnancy outcomes, including intrauterine fetal demise.

摘要

背景

在被诊断为子宫内膜异位症的女性中,3.8% - 37%患有肠道子宫内膜异位症。盲肠是受子宫内膜异位症影响的肠道中最不常见的部位,仅占病例的3.6% - 6%。我们报告一例足月宫内胎儿死亡病例,该患者被发现因盲肠子宫内膜异位症导致胃肠道出血。

病例

一名35岁女性,孕4产1,妊娠37周零3天,既往无子宫内膜异位症病史,但有两次流产史,因严重贫血和宫内胎儿死亡就诊。分娩期间,发现有黑色粪便。结肠镜活检显示出血源为患者盲肠内一个2厘米的子宫内膜异位植入物。开始进行抑制治疗。产后,患者接受了腹腔镜盲肠切除术,病理证实为子宫内膜异位症。

结论

由于激素环境的变化,孕期子宫内膜异位植入物可能会出血。肠道子宫内膜异位症可能会增加孕期母体出血的风险,从而增加不良妊娠结局的风险,包括宫内胎儿死亡。

https://cdn.ncbi.nlm.nih.gov/pmc/blobs/00bb/7930353/f78a92817fb6/gr5.jpg
https://cdn.ncbi.nlm.nih.gov/pmc/blobs/00bb/7930353/471bb159f00a/gr1.jpg
https://cdn.ncbi.nlm.nih.gov/pmc/blobs/00bb/7930353/65a374452113/gr2.jpg
https://cdn.ncbi.nlm.nih.gov/pmc/blobs/00bb/7930353/8277a44cc8cf/gr3.jpg
https://cdn.ncbi.nlm.nih.gov/pmc/blobs/00bb/7930353/80021bbe3daa/gr4.jpg
https://cdn.ncbi.nlm.nih.gov/pmc/blobs/00bb/7930353/f78a92817fb6/gr5.jpg
https://cdn.ncbi.nlm.nih.gov/pmc/blobs/00bb/7930353/471bb159f00a/gr1.jpg
https://cdn.ncbi.nlm.nih.gov/pmc/blobs/00bb/7930353/65a374452113/gr2.jpg
https://cdn.ncbi.nlm.nih.gov/pmc/blobs/00bb/7930353/8277a44cc8cf/gr3.jpg
https://cdn.ncbi.nlm.nih.gov/pmc/blobs/00bb/7930353/80021bbe3daa/gr4.jpg
https://cdn.ncbi.nlm.nih.gov/pmc/blobs/00bb/7930353/f78a92817fb6/gr5.jpg

相似文献

1
Cecal endometriosis presenting as a term intrauterine fetal demise and gastrointestinal hemorrhage: A case report.以足月宫内胎儿死亡和胃肠道出血为表现的盲肠子宫内膜异位症:一例报告
Case Rep Womens Health. 2021 Feb 20;30:e00301. doi: 10.1016/j.crwh.2021.e00301. eCollection 2021 Apr.
2
Antenatal Testing for Women With Preexisting Medical Conditions Using Only the Ultrasonographic Portion of the Biophysical Profile.仅使用生物物理评分的超声部分对患有基础疾病的女性进行产前检查。
Obstet Gynecol. 2018 Oct;132(4):1033-1039. doi: 10.1097/AOG.0000000000002811.
3
Factors associated with fetal demise in fetal echogenic bowel.胎儿肠回声增强中与胎儿死亡相关的因素。
Am J Obstet Gynecol. 2001 Nov;185(5):1039-43. doi: 10.1067/mob.2001.117641.
4
Echogenic bowel on second-trimester ultrasonography: evaluating the risk of adverse pregnancy outcome.中孕期超声检查中肠回声增强:评估不良妊娠结局的风险。
Obstet Gynecol. 2011 Jun;117(6):1341-1348. doi: 10.1097/AOG.0b013e31821aa739.
5
Laparoscopic Double Discoid Resection With a Circular Stapler for Bowel Endometriosis.使用圆形吻合器行腹腔镜双盘状切除术治疗肠道子宫内膜异位症
J Minim Invasive Gynecol. 2015 Sep-Oct;22(6):929-31. doi: 10.1016/j.jmig.2015.04.021. Epub 2015 Apr 29.
6
Symptomatic large bowel endometriosis in a woman with a hormonal intrauterine device: a case report.一名使用激素宫内节育器的女性出现症状性大肠子宫内膜异位症:病例报告。
J Reprod Med. 2007 Nov;52(11):1055-6.
7
Radical surgery for pseudo-ovarian malignancy: a case report of bowel endometriosis with massive ascites.假性卵巢恶性肿瘤的根治性手术:一例伴有大量腹水的肠道子宫内膜异位症病例报告
Gland Surg. 2022 May;11(5):932-937. doi: 10.21037/gs-21-895.
8
Cesarean section on request at 39 weeks: impact on shoulder dystocia, fetal trauma, neonatal encephalopathy, and intrauterine fetal demise.39周选择性剖宫产:对肩难产、胎儿创伤、新生儿脑病及胎儿宫内死亡的影响
Semin Perinatol. 2006 Oct;30(5):276-87. doi: 10.1053/j.semperi.2006.07.009.
9
Urohemoperitoneum during pregnancy with consequent fetal death in a patient with deep endometriosis.孕期尿腹血腹症导致一名深部子宫内膜异位症患者胎儿死亡。
J Minim Invasive Gynecol. 2008 Mar-Apr;15(2):202-4. doi: 10.1016/j.jmig.2007.09.004.
10
Minimally Invasive Treatment of Abdominal Pregnancy Implanted on the Ileocecal Junction.回盲部植入的腹腔妊娠的微创治疗
J Minim Invasive Gynecol. 2025 Mar;32(3):209-211. doi: 10.1016/j.jmig.2024.08.013. Epub 2024 Aug 29.

引用本文的文献

1
A Case of Rectal Endometriosis Misdiagnosed as Rectal Malignancy on Three Colonoscopies and Biopsies Sharing a Combined Literature Review.一例经三次结肠镜检查及活检均误诊为直肠恶性肿瘤的直肠子宫内膜异位症病例并附文献综述
Int J Womens Health. 2024 Jan 26;16:163-174. doi: 10.2147/IJWH.S445280. eCollection 2024.
2
Endometriosis in the Cecum: A Rare Clinical Entity.盲肠子宫内膜异位症:一种罕见的临床病症。
Cureus. 2023 Mar 5;15(3):e35782. doi: 10.7759/cureus.35782. eCollection 2023 Mar.

本文引用的文献

1
Obstetrical outcome in women with endometriosis including spontaneous hemoperitoneum and bowel perforation: a systematic review.子宫内膜异位症患者出现自发性血腹和肠穿孔的产科结局:系统评价。
Best Pract Res Clin Obstet Gynaecol. 2018 Aug;51:41-52. doi: 10.1016/j.bpobgyn.2018.01.018. Epub 2018 Feb 21.
2
Clinical Management of Endometriosis.子宫内膜异位症的临床管理。
Obstet Gynecol. 2018 Mar;131(3):557-571. doi: 10.1097/AOG.0000000000002469.
3
Obstetrical complications of endometriosis, particularly deep endometriosis.子宫内膜异位症的产科并发症,尤其是深部子宫内膜异位症。
Fertil Steril. 2017 Dec;108(6):895-912. doi: 10.1016/j.fertnstert.2017.10.035.
4
Bowel endometriosis: diagnosis and management.肠子宫内膜异位症:诊断与管理。
Am J Obstet Gynecol. 2018 Jun;218(6):549-562. doi: 10.1016/j.ajog.2017.09.023. Epub 2017 Oct 13.
5
Pregnancy outcomes in women with endometriosis: a national record linkage study.子宫内膜异位症女性的妊娠结局:一项全国性病历关联研究。
BJOG. 2017 Feb;124(3):444-452. doi: 10.1111/1471-0528.13920. Epub 2016 Feb 16.
6
A systematic review on endometriosis during pregnancy: diagnosis, misdiagnosis, complications and outcomes.关于妊娠期子宫内膜异位症的系统评价:诊断、误诊、并发症和结局。
Hum Reprod Update. 2016 Jan-Feb;22(1):70-103. doi: 10.1093/humupd/dmv045. Epub 2015 Oct 7.
7
Bowel complications of deep endometriosis during pregnancy or in vitro fertilization.妊娠或体外受精期间深部子宫内膜异位症的肠道并发症。
Fertil Steril. 2014 Feb;101(2):442-6. doi: 10.1016/j.fertnstert.2013.11.001. Epub 2013 Dec 18.
8
A 12-year cohort study on adverse pregnancy outcomes in Eastern Townships of Canada: impact of endometriosis.加拿大东镇 12 年队列研究不良妊娠结局:子宫内膜异位症的影响。
Gynecol Endocrinol. 2014 Jan;30(1):34-7. doi: 10.3109/09513590.2013.848425. Epub 2013 Oct 17.
9
Ileal perforation and massive intestinal haemorrhage from endometriosis in pregnancy: case report and literature review.妊娠合并子宫内膜异位症致回肠穿孔并大量肠出血:病例报告及文献复习。
Eur J Obstet Gynecol Reprod Biol. 2013 Sep;170(1):20-4. doi: 10.1016/j.ejogrb.2013.04.018. Epub 2013 Jun 10.
10
Risks of adverse pregnancy outcome in endometriosis.子宫内膜异位症不良妊娠结局的风险。
Fertil Steril. 2012 Jul;98(1):30-5. doi: 10.1016/j.fertnstert.2012.02.024. Epub 2012 Mar 3.