Suppr超能文献

成釉细胞瘤:临床表现、多学科管理及预后

Ameloblastoma: clinical presentation, multidisciplinary management and outcome.

作者信息

Medina Abelardo, Velasco Martinez Ignacio, McIntyre Benjamin, Chandran Ravi

机构信息

Division of Plastic Surgery, Department of Surgery, School of Medicine, University of Mississippi Medical Center, Jackson, MS, USA.

Department of Oral Maxillofacial Surgery and Pathology, School of Dentistry, University of Mississippi Medical Center, Jackson, MS, USA.

出版信息

Case Reports Plast Surg Hand Surg. 2021 Feb 22;8(1):27-36. doi: 10.1080/23320885.2021.1886854.

Abstract

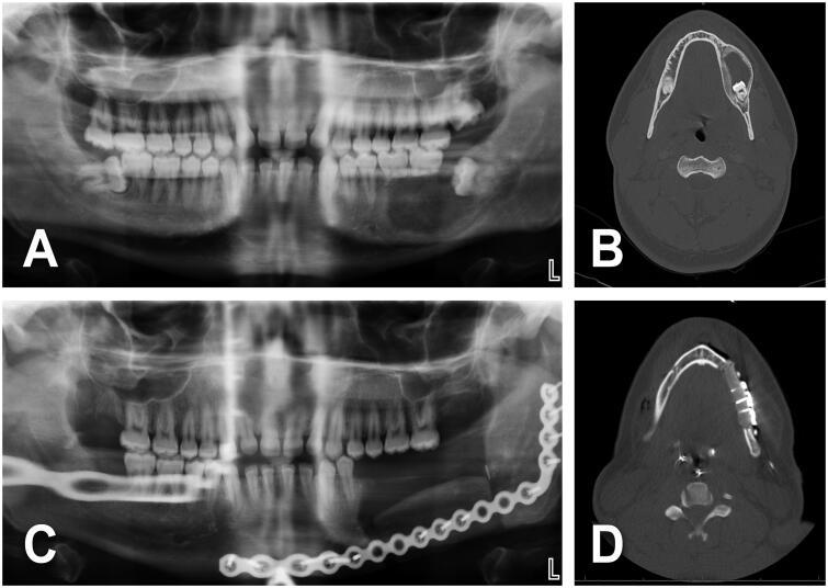
We studied 21 patients who underwent radical ameloblastoma excision followed by immediate reconstruction. Comorbidities, consumption of alcohol and/or tobacco and BMI status did not contribute to an unfavorable outcome. Giant ameloblastoma (≥5 cm) and/or tumor involving bony curvatures increased surgical complexity, the incidence of complications and hospital stay.

摘要

我们研究了21例接受成釉细胞瘤根治性切除并立即进行重建的患者。合并症、酒精和/或烟草消费以及体重指数状况并未导致不良预后。巨大成釉细胞瘤(≥5厘米)和/或累及骨弯曲的肿瘤增加了手术复杂性、并发症发生率和住院时间。

https://cdn.ncbi.nlm.nih.gov/pmc/blobs/14f2/7901703/2049ac5342db/ICRP_A_1886854_F0001_B.jpg

文献AI研究员

20分钟写一篇综述,助力文献阅读效率提升50倍。

立即体验

用中文搜PubMed

大模型驱动的PubMed中文搜索引擎

马上搜索

文档翻译

学术文献翻译模型,支持多种主流文档格式。

立即体验