• 文献检索
  • 文档翻译
  • 深度研究
  • 学术资讯
  • Suppr Zotero 插件Zotero 插件
  • 邀请有礼
  • 套餐&价格
  • 历史记录
应用&插件
Suppr Zotero 插件Zotero 插件浏览器插件Mac 客户端Windows 客户端微信小程序
定价
高级版会员购买积分包购买API积分包
服务
文献检索文档翻译深度研究API 文档MCP 服务
关于我们
关于 Suppr公司介绍联系我们用户协议隐私条款
关注我们

Suppr 超能文献

核心技术专利:CN118964589B侵权必究
粤ICP备2023148730 号-1Suppr @ 2026

文献检索

告别复杂PubMed语法,用中文像聊天一样搜索,搜遍4000万医学文献。AI智能推荐,让科研检索更轻松。

立即免费搜索

文件翻译

保留排版,准确专业,支持PDF/Word/PPT等文件格式,支持 12+语言互译。

免费翻译文档

深度研究

AI帮你快速写综述,25分钟生成高质量综述,智能提取关键信息,辅助科研写作。

立即免费体验

颌骨纤维结构不良:系列病例回顾性研究及文献复习

Jawbone fibrous dysplasia: retrospective evaluation in a cases series surgically treated and short review of the literature.

机构信息

Oral and Maxillo-Facial Department, Provincial Rovigo Hospital, Italy.

Department of Medical and Surgical Sciences and Advanced Technologies "GF Ingrassia", ENT Section; University of Catania- Italy.

出版信息

Acta Biomed. 2020 Oct 13;92(1):e2021018. doi: 10.23750/abm.v92i1.9904.

DOI:10.23750/abm.v92i1.9904
PMID:33682826
原文链接:https://pmc.ncbi.nlm.nih.gov/articles/PMC7975924/
Abstract

BACKGROUND AND AIM OF THE WORK

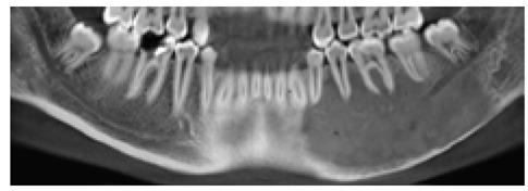
Fibrous dysplasia is a fibro-osseous osteopathy in which the normal bone architecture is replaced by fibrous tissue and non-functional trabeculae-like osseous structures. In head and neck area monostotic or polyostotic lesions cause a progressively expanding destructive bone swelling producing cosmetic deformities and functional impairments. The aim of this article is to present a retrospective review of a clinical case series with pathologically confirmed jawbone fibrous dysplasia for over an 8-year-period.

MATERIAL AND METHODS

Clinical presentation and radiographic features of fibrous dysplasia affecting the jawbone skeletal area, surgical procedures performed including the reconstructive methods employed and clinical outcomes were analysed for each patient.

RESULTS

Seven cases were classified as having monostotic fibrous dysplasia while the others four cases were classified as having polyostotic form. The mandible was most commonly involved. The most common presenting features included marked facial deformity, intraoral bulging, malocclusion and dental alterations. Aesthetic and/or functional impairments were the major indications for surgical treatment in all the patients of this series. Six patients underwent bone remodelling while in the remaining cases subtotal or total resection was performed. Bone reconstruction by means of autologous free bone grafts or revascularized free bone flaps was made in three cases.

CONCLUSION

The choice of the tailored therapeutic approach should be evaluated according the patient's age, rate of growth, anatomic location, type of involvement and the presence or not of functional disturbances and cosmetic alterations. Surgery remains the best therapeutic option.

摘要

背景与工作目的

纤维结构不良是一种纤维骨性骨病,其中正常骨结构被纤维组织和非功能性小梁样骨结构所取代。在头颈部,单发性或多发性病变导致进行性扩展的破坏性骨肿胀,导致美容畸形和功能障碍。本文的目的是回顾性分析一组经过 8 年以上病理证实的颌骨纤维结构不良的临床病例系列。

材料与方法

分析了影响颌骨骨骼区域的纤维结构不良的临床表现和影像学特征、手术程序,包括所采用的重建方法和临床结果。

结果

7 例被分类为单发性纤维结构不良,而另外 4 例被分类为多发性纤维结构不良。下颌骨最常受累。最常见的表现包括明显的面部畸形、口腔内膨出、咬合不正和牙齿改变。在本系列的所有患者中,美容和/或功能障碍是手术治疗的主要指征。6 例患者接受了骨重塑,而在其余病例中进行了次全或全切除术。在 3 例病例中,通过自体游离骨移植或带血管游离骨瓣进行骨重建。

结论

应根据患者的年龄、生长速度、解剖位置、受累类型以及是否存在功能障碍和美容改变来评估定制治疗方法的选择。手术仍然是最佳治疗选择。

https://cdn.ncbi.nlm.nih.gov/pmc/blobs/f611/7975924/7f11ea44e428/ACTA-92-18-g005.jpg
https://cdn.ncbi.nlm.nih.gov/pmc/blobs/f611/7975924/0823f53b4108/ACTA-92-18-g001.jpg
https://cdn.ncbi.nlm.nih.gov/pmc/blobs/f611/7975924/3913c5fa19b7/ACTA-92-18-g002.jpg
https://cdn.ncbi.nlm.nih.gov/pmc/blobs/f611/7975924/907e232fc77f/ACTA-92-18-g003.jpg
https://cdn.ncbi.nlm.nih.gov/pmc/blobs/f611/7975924/cab72e029f5a/ACTA-92-18-g004.jpg
https://cdn.ncbi.nlm.nih.gov/pmc/blobs/f611/7975924/7f11ea44e428/ACTA-92-18-g005.jpg
https://cdn.ncbi.nlm.nih.gov/pmc/blobs/f611/7975924/0823f53b4108/ACTA-92-18-g001.jpg
https://cdn.ncbi.nlm.nih.gov/pmc/blobs/f611/7975924/3913c5fa19b7/ACTA-92-18-g002.jpg
https://cdn.ncbi.nlm.nih.gov/pmc/blobs/f611/7975924/907e232fc77f/ACTA-92-18-g003.jpg
https://cdn.ncbi.nlm.nih.gov/pmc/blobs/f611/7975924/cab72e029f5a/ACTA-92-18-g004.jpg
https://cdn.ncbi.nlm.nih.gov/pmc/blobs/f611/7975924/7f11ea44e428/ACTA-92-18-g005.jpg

相似文献

1
Jawbone fibrous dysplasia: retrospective evaluation in a cases series surgically treated and short review of the literature.颌骨纤维结构不良:系列病例回顾性研究及文献复习
Acta Biomed. 2020 Oct 13;92(1):e2021018. doi: 10.23750/abm.v92i1.9904.
2
Craniomaxillofacial fibrous dysplasia: conservative treatment or radical surgery? A retrospective study on 68 patients.颅颌面骨纤维异常增殖症:保守治疗还是根治性手术?一项对68例患者的回顾性研究。
Plast Reconstr Surg. 2009 Feb;123(2):653-660. doi: 10.1097/PRS.0b013e318196bbbe.
3
Surgical treatment of fibrous dysplasia of the cranio-maxillo-facial area. Review of the literature and personal experience form 1984 to 1999.颅颌面区域骨纤维异常增殖症的外科治疗。1984年至1999年文献综述及个人经验
Minerva Stomatol. 2002 Jul-Aug;51(7-8):293-300.
4
Bone-Grafting in Polyostotic Fibrous Dysplasia.多骨型纤维发育不良中的骨移植
J Bone Joint Surg Am. 2016 Feb 3;98(3):211-9. doi: 10.2106/JBJS.O.00547.
5
Craniofacial Fibrous Dysplasia: Experience at San José Hospital, Bogotá, Colombia.颅面纤维结构不良:哥伦比亚波哥大圣何塞医院的经验。
J Craniofac Surg. 2024 Jun 1;35(4):1177-1180. doi: 10.1097/SCS.0000000000010099. Epub 2024 Apr 3.
6
Craniomaxillofacial fibrous dysplasia.颅颌面骨纤维发育不良
J Craniofac Surg. 2002 May;13(3):382-9. doi: 10.1097/00001665-200205000-00004.
7
Craniofacial fibrous dysplasia: A 10-case series.颅面骨纤维发育不良:10例病例系列
Eur Ann Otorhinolaryngol Head Neck Dis. 2017 Sep;134(4):229-235. doi: 10.1016/j.anorl.2017.02.004. Epub 2017 Mar 14.
8
Radiographic classification of coronal plane femoral deformities in polyostotic fibrous dysplasia.多发性骨纤维结构不良冠状面股骨畸形的影像学分类。
Clin Orthop Relat Res. 2014 May;472(5):1558-67. doi: 10.1007/s11999-013-3380-1. Epub 2013 Nov 19.
9
[Computer-assisted surgery (CAS) for the optimal treatment of craniofacial fibrous dysplasia].[计算机辅助手术(CAS)用于颅面骨纤维发育不良的最佳治疗]
HNO. 2005 Sep;53(9):766-72. doi: 10.1007/s00106-004-1153-6.
10
Monostotic fibrous dysplasia of jaw bones: a case series.颌骨单骨性纤维结构不良:病例系列。
BMC Oral Health. 2024 Sep 19;24(1):1119. doi: 10.1186/s12903-024-04894-3.

引用本文的文献

1
Multiple osteofibrous dysplasia combined with femoral fracture with proximal femur shepherd's crook and femoral pseudojoint formation: case report and literature review.多发性骨纤维发育不良合并股骨骨折伴股骨近端牧羊拐畸形及股骨假关节形成:病例报告及文献复习
Front Surg. 2025 Jun 24;12:1432735. doi: 10.3389/fsurg.2025.1432735. eCollection 2025.
2
Fibrous dysplasia in the alveolar crest of edentulous site and the curettage for future implant placement: a case report.无牙区牙槽嵴纤维性发育异常及为未来种植体植入而行的刮治术:一例报告
BMC Oral Health. 2025 Jan 2;25(1):4. doi: 10.1186/s12903-024-05116-6.
3
Alveolar Bone Box Ostectomy Grafted with Particulate Bone Substitute with Subsequent Dental Implant Placement in a Case of Craniofacial Fibrous Dysplasia Involving the Posterior Maxilla: Case Report and Literature Review.

本文引用的文献

1
Primary hemangiopericytoma of the infratemporal fossa.颞下窝原发性血管外皮细胞瘤
J Biol Regul Homeost Agents. 2020 Mar-Apr;34(2):691-695. doi: 10.23812/19-431-L.
2
Correction to: advanced olfactory neuroblastoma in a teenager: a clinical case and short review of literature.对《青少年晚期嗅神经母细胞瘤:一例临床病例及文献简短综述》的更正
Childs Nerv Syst. 2020 May;36(5):1083. doi: 10.1007/s00381-020-04566-x.
3
ENT involvement and orobuccal movements' disorders in Pandas patients: assessment and rehabilitations tools.熊猫病患者的耳鼻喉科受累及口颊运动障碍:评估与康复工具
牙槽骨盒切除术联合颗粒骨替代物移植并随后植入牙种植体治疗累及上颌骨后部的颅面骨纤维异常增殖症1例:病例报告及文献复习
J Clin Med. 2023 Oct 11;12(20):6452. doi: 10.3390/jcm12206452.
4
Fibrous Dysplasia of the Jaw: Advances in Imaging and Treatment.颌骨纤维异常增殖症:影像学与治疗进展
J Clin Med. 2023 Jun 17;12(12):4100. doi: 10.3390/jcm12124100.
Eur Rev Med Pharmacol Sci. 2019 May;23(10):4110-4117. doi: 10.26355/eurrev_201905_17912.
4
Quality of Life and Impact of Endoscopic Sinus Surgery in Adult Patients With Cystic Fibrosis.成年囊性纤维化患者内镜鼻窦手术的生活质量及影响
Am J Rhinol Allergy. 2019 Jul;33(4):413-419. doi: 10.1177/1945892419839260. Epub 2019 Apr 1.
5
Effectiveness of intranasal sodium hyaluronate in mitigating adverse effects of nasal continuous positive airway pressure therapy.鼻内注射透明质酸钠减轻鼻持续气道正压通气治疗不良反应的有效性。
Am J Rhinol Allergy. 2017 Nov 19;31(6):364-369. doi: 10.2500/ajra.2017.31.4482. Epub 2017 Sep 19.
6
Relationship between sleeping difficulties and airway symptoms severity with the health-related quality of life in patients with GERD.胃食管反流病患者睡眠困难和气道症状严重程度与健康相关生活质量的关系。
Minerva Gastroenterol Dietol. 2017 Dec;63(4):307-312. doi: 10.23736/S1121-421X.17.02403-5.
7
Fibrous dysplasia of bone: craniofacial and dental implications.骨纤维异常增殖症:颅面和牙科方面的影响。
Oral Dis. 2017 Sep;23(6):697-708. doi: 10.1111/odi.12563. Epub 2016 Sep 1.
8
A rare location of benign osteoblastoma: case study and a review of the literature.良性骨母细胞瘤的罕见部位:病例研究及文献复习。
Eur Rev Med Pharmacol Sci. 2012 Nov;16(13):1891-4.
9
Respiratory epithelial adenomatoid hamartoma: case report and literature review.呼吸道上皮性腺瘤样错构瘤:病例报告及文献综述
Pathologica. 2008 Jun;100(3):185-8.
10
FIBROUS DYSPLASIA OF THE JAWS.颌骨骨纤维异常增殖症
Arch Otolaryngol. 1965 Jun;81:592-603. doi: 10.1001/archotol.1965.00750050607013.