Suppr超能文献

TNF-α 触发由广州管圆线虫感染引起的星形胶质细胞中 RIP1/FADD/Caspase-8 介导的细胞凋亡和神经元中 RIP3/MLKL 介导的坏死性凋亡。

TNF-α Triggers RIP1/FADD/Caspase-8-Mediated Apoptosis of Astrocytes and RIP3/MLKL-Mediated Necroptosis of Neurons Induced by Angiostrongylus cantonensis Infection.

机构信息

Key Laboratory of Tropical Disease Control (Sun Yat-Sen University), Ministry of Education, Guangzhou, China.

Department of Laboratory Medicine, The First Affiliated Hospital, Hainan Medical University, Haikou, China.

出版信息

Cell Mol Neurobiol. 2022 Aug;42(6):1841-1857. doi: 10.1007/s10571-021-01063-w. Epub 2021 Mar 8.

Abstract

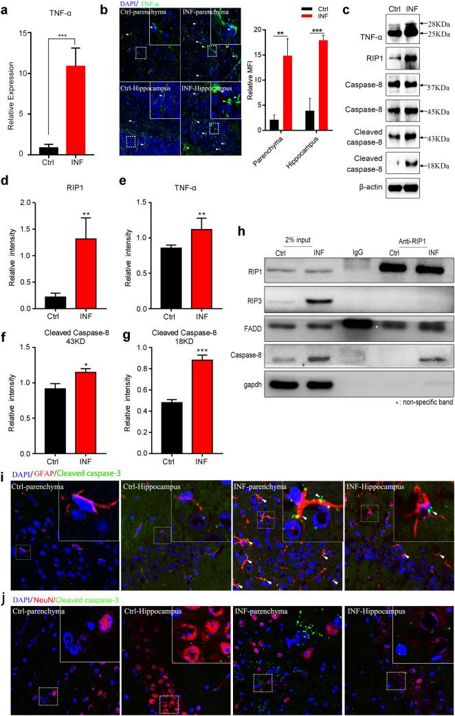
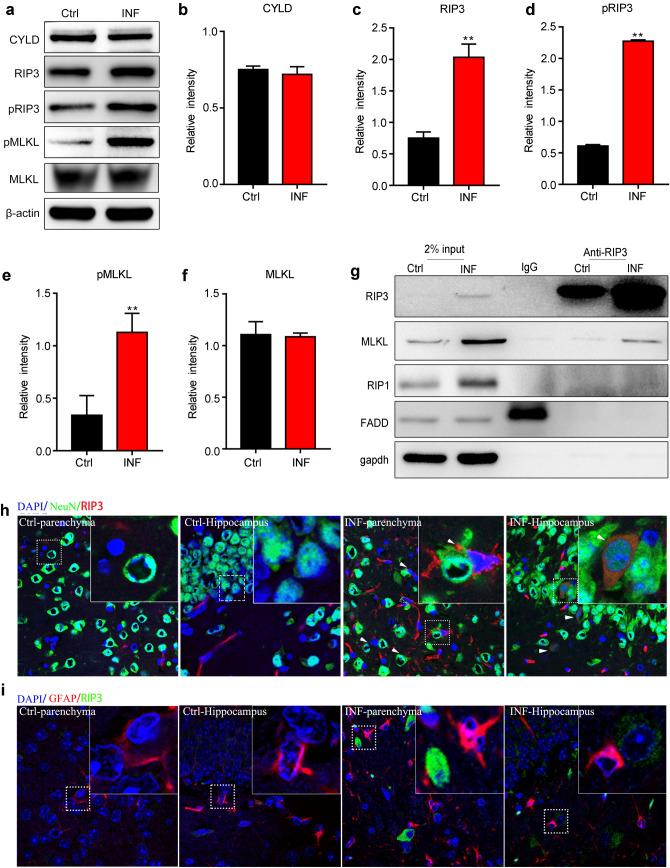
Angiostrongylus cantonensis (AC) can cause severe eosinophilic meningitis or encephalitis in non-permissive hosts accompanied by apoptosis and necroptosis of brain cells. However, the explicit underlying molecular basis of apoptosis and necroptosis upon AC infection has not yet been elucidated. To determine the specific pathways of apoptosis and necroptosis upon AC infection, gene set enrichment analysis (GSEA) and protein-protein interaction (PPI) analysis for gene expression microarray (accession number: GSE159486) of mouse brain infected by AC revealed that TNF-α likely played a central role in the apoptosis and necroptosis in the context of AC infection, which was further confirmed via an in vivo rescue assay after treating with TNF-α inhibitor. The signalling axes involved in apoptosis and necroptosis were investigated via immunoprecipitation and immunoblotting. Immunofluorescence was used to identify the specific cells that underwent apoptosis or necroptosis. The results showed that TNF-α induced apoptosis of astrocytes through the RIP1/FADD/Caspase-8 axis and induced necroptosis of neurons by the RIP3/MLKL signalling pathway. In addition, in vitro assay revealed that TNF-α secretion by microglia increased upon LSA stimulation and caused necroptosis of neurons. The present study provided the first evidence that TNF-α was secreted by microglia stimulated by AC infection, which caused cell death via parallel pathways of astrocyte apoptosis (mediated by the RIP1/FADD/caspase-8 axis) and neuron necroptosis (driven by the RIP3/MLKL complex). Our research comprehensively elucidated the mechanism of cell death after AC infection and provided new insight into targeting TNF-α signalling as a therapeutic strategy for CNS injury.

摘要

广州管圆线虫(AC)可引起非允许宿主发生严重嗜酸性脑膜炎或脑炎,伴有脑细胞凋亡和坏死。然而,AC 感染后细胞凋亡和坏死的明确潜在分子基础尚未阐明。为了确定 AC 感染后细胞凋亡和坏死的特定途径,对感染 AC 的小鼠脑组织基因表达微阵列(注册号:GSE159486)进行基因集富集分析(GSEA)和蛋白质-蛋白质相互作用(PPI)分析,结果显示 TNF-α可能在 AC 感染的细胞凋亡和坏死中起核心作用,通过用 TNF-α抑制剂处理后的体内挽救实验进一步证实了这一点。通过免疫沉淀和免疫印迹研究了参与细胞凋亡和坏死的信号轴。免疫荧光用于鉴定经历凋亡或坏死的特定细胞。结果表明,TNF-α通过 RIP1/FADD/Caspase-8 轴诱导星形胶质细胞凋亡,并通过 RIP3/MLKL 信号通路诱导神经元坏死。此外,体外实验表明,LSA 刺激可增加小胶质细胞分泌 TNF-α,导致神经元坏死。本研究首次证明,AC 感染刺激小胶质细胞分泌 TNF-α,通过星形胶质细胞凋亡(由 RIP1/FADD/caspase-8 轴介导)和神经元坏死(由 RIP3/MLKL 复合物驱动)的平行途径导致细胞死亡。我们的研究全面阐明了 AC 感染后细胞死亡的机制,并为靶向 TNF-α 信号作为中枢神经系统损伤的治疗策略提供了新的见解。

https://cdn.ncbi.nlm.nih.gov/pmc/blobs/27f6/11421749/e349fdaedbe8/10571_2021_1063_Fig1_HTML.jpg

文献检索

告别复杂PubMed语法,用中文像聊天一样搜索,搜遍4000万医学文献。AI智能推荐,让科研检索更轻松。

立即免费搜索

文件翻译

保留排版,准确专业,支持PDF/Word/PPT等文件格式,支持 12+语言互译。

免费翻译文档

深度研究

AI帮你快速写综述,25分钟生成高质量综述,智能提取关键信息,辅助科研写作。

立即免费体验