• 文献检索
  • 文档翻译
  • 深度研究
  • 学术资讯
  • Suppr Zotero 插件Zotero 插件
  • 邀请有礼
  • 套餐&价格
  • 历史记录
应用&插件
Suppr Zotero 插件Zotero 插件浏览器插件Mac 客户端Windows 客户端微信小程序
定价
高级版会员购买积分包购买API积分包
服务
文献检索文档翻译深度研究API 文档MCP 服务
关于我们
关于 Suppr公司介绍联系我们用户协议隐私条款
关注我们

Suppr 超能文献

核心技术专利:CN118964589B侵权必究
粤ICP备2023148730 号-1Suppr @ 2026

文献检索

告别复杂PubMed语法,用中文像聊天一样搜索,搜遍4000万医学文献。AI智能推荐,让科研检索更轻松。

立即免费搜索

文件翻译

保留排版,准确专业,支持PDF/Word/PPT等文件格式,支持 12+语言互译。

免费翻译文档

深度研究

AI帮你快速写综述,25分钟生成高质量综述,智能提取关键信息,辅助科研写作。

立即免费体验

气管支气管内原发性腺样囊性癌:两例报告。

Primary adenoid cystic carcinoma of the tracheobronchial tree: report of two cases.

机构信息

Pulmonology Department, Fattouma Bourguiba Hospital, Monastir, Tunisia.

Department of Pathology, Fattouma Bourguiba Hospital, Monastir, Tunisia.

出版信息

Pan Afr Med J. 2019 Nov 8;34:137. doi: 10.11604/pamj.2019.34.137.14902. eCollection 2019.

DOI:10.11604/pamj.2019.34.137.14902
PMID:33708306
原文链接:https://pmc.ncbi.nlm.nih.gov/articles/PMC7906545/
Abstract

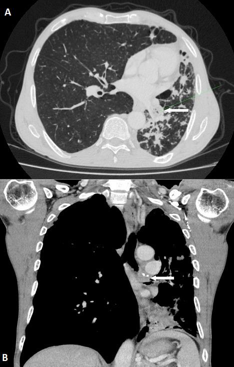
Adenoid cystic carcinoma (ACC) is a rare malignant epithelial tumor that predominantly originates in the salivary glands. Primary ACC of the tracheobronchial tree is extremely rare. We report two new cases of central airways primary ACC: a 58 year-old male with an ACC of the left main bronchus who underwent a pneumonectomy with node dissection, and a 52 year-old female with proximal tracheal ACC presenting as asthma treated by surgical resection and a postoperative radiotherapy. Primary ACC of the tracheobronchial tree is often misdiagnosed given the non-specific clinical presentation. An early diagnosis is essential to ensure good outcomes. An interdisciplinary treatment is required based especially on surgery and radiotherapy.

摘要

腺样囊性癌(ACC)是一种罕见的恶性上皮肿瘤,主要起源于唾液腺。原发性气管支气管树 ACC 极为罕见。我们报告两例中央气道原发性 ACC 新病例:1 例 58 岁男性,左主支气管 ACC 行肺切除术及淋巴结清扫术;1 例 52 岁女性,近段气管 ACC 表现为哮喘,行手术切除和术后放疗。由于非特异性临床表现,原发性气管支气管树 ACC 常被误诊。早期诊断对于确保良好的预后至关重要。需要根据手术和放疗等方法进行跨学科治疗。

https://cdn.ncbi.nlm.nih.gov/pmc/blobs/6d24/7906545/de5bbab53fa5/PAMJ-34-137-g006.jpg
https://cdn.ncbi.nlm.nih.gov/pmc/blobs/6d24/7906545/d2277c6a2c24/PAMJ-34-137-g001.jpg
https://cdn.ncbi.nlm.nih.gov/pmc/blobs/6d24/7906545/6a92a079893e/PAMJ-34-137-g002.jpg
https://cdn.ncbi.nlm.nih.gov/pmc/blobs/6d24/7906545/204cd747bc00/PAMJ-34-137-g003.jpg
https://cdn.ncbi.nlm.nih.gov/pmc/blobs/6d24/7906545/d1fd6b5d03d1/PAMJ-34-137-g004.jpg
https://cdn.ncbi.nlm.nih.gov/pmc/blobs/6d24/7906545/51f760616243/PAMJ-34-137-g005.jpg
https://cdn.ncbi.nlm.nih.gov/pmc/blobs/6d24/7906545/de5bbab53fa5/PAMJ-34-137-g006.jpg
https://cdn.ncbi.nlm.nih.gov/pmc/blobs/6d24/7906545/d2277c6a2c24/PAMJ-34-137-g001.jpg
https://cdn.ncbi.nlm.nih.gov/pmc/blobs/6d24/7906545/6a92a079893e/PAMJ-34-137-g002.jpg
https://cdn.ncbi.nlm.nih.gov/pmc/blobs/6d24/7906545/204cd747bc00/PAMJ-34-137-g003.jpg
https://cdn.ncbi.nlm.nih.gov/pmc/blobs/6d24/7906545/d1fd6b5d03d1/PAMJ-34-137-g004.jpg
https://cdn.ncbi.nlm.nih.gov/pmc/blobs/6d24/7906545/51f760616243/PAMJ-34-137-g005.jpg
https://cdn.ncbi.nlm.nih.gov/pmc/blobs/6d24/7906545/de5bbab53fa5/PAMJ-34-137-g006.jpg

相似文献

1
Primary adenoid cystic carcinoma of the tracheobronchial tree: report of two cases.气管支气管内原发性腺样囊性癌:两例报告。
Pan Afr Med J. 2019 Nov 8;34:137. doi: 10.11604/pamj.2019.34.137.14902. eCollection 2019.
2
[Tracheobronchial adenoid cystic carcinoma: seven case reports].[气管支气管腺样囊性癌:7例报告]
Harefuah. 2012 Apr;151(4):202-4, 255.
3
Tracheobronchial Adenoid Cystic Carcinoma Treated Successfully With Chemoradiotherapy Followed by Durvalumab: A Case Report.经放化疗联合度伐利尤单抗治疗成功的气管支气管腺样囊性癌:一例报告。
In Vivo. 2024 May-Jun;38(3):1483-1488. doi: 10.21873/invivo.13595.
4
Adenoid cystic carcinoma of the trachea: a clinico-pathological analysis.气管腺样囊性癌:临床病理分析
Pan Afr Med J. 2015 Mar 13;20:240. doi: 10.11604/pamj.2015.20.240.3953. eCollection 2015.
5
Treatment outcomes of patients with tracheobronchial mucoepidermoid carcinoma compared with those with adenoid cystic carcinoma.比较气管支气管黏液表皮样癌与腺样囊性癌患者的治疗结果。
Eur J Surg Oncol. 2020 Oct;46(10 Pt A):1888-1895. doi: 10.1016/j.ejso.2020.04.020. Epub 2020 May 5.
6
Tracheobronchial adenoid cystic carcinoma: a clinicopathologic study of 14 cases.气管支气管腺样囊性癌:14例临床病理研究
Chest. 2004 Mar;125(3):1160-5. doi: 10.1378/chest.125.3.1160.
7
Biology of Adenoid Cystic Carcinoma of the Tracheobronchial Tree and Principles of Management.气管支气管腺样囊性癌的生物学特性与治疗原则
Thorac Surg Clin. 2018 May;28(2):145-148. doi: 10.1016/j.thorsurg.2018.01.002.
8
Clinicopathological study of surgically treated cases of tracheobronchial adenoid cystic carcinoma.手术治疗的气管支气管腺样囊性癌病例的临床病理研究
Gen Thorac Cardiovasc Surg. 2010 Feb;58(2):82-6. doi: 10.1007/s11748-009-0467-4. Epub 2010 Feb 13.
9
Pediatric tracheal and endobronchial tumors: an institutional experience.小儿气管及支气管内肿瘤:一项机构经验
Arch Otolaryngol Head Neck Surg. 2011 Sep;137(9):925-9. doi: 10.1001/archoto.2011.153.
10
Carcinoid tumours and cylindromas of the tracheobronchial tree.气管支气管树的类癌肿瘤和圆柱瘤。
Ann Chir Gynaecol Fenn. 1974;63(4):332-41.

引用本文的文献

1
Pulmonary Adenoid Cystic Carcinoma Mimicking Asthma-Like Symptoms: A Case Report and Literature Review.酷似哮喘样症状的肺腺样囊性癌:一例报告及文献复习
Case Rep Oncol. 2024 Jan 29;17(1):150-160. doi: 10.1159/000535505. eCollection 2024 Jan-Dec.
2
Pulmonary adenoid cystic carcinoma: molecular characteristics and literature review.肺腺样囊性癌:分子特征及文献复习。
Diagn Pathol. 2023 May 17;18(1):65. doi: 10.1186/s13000-023-01354-4.

本文引用的文献

1
Primary adenoid cystic carcinoma, a rare bronchial tumor.原发性腺样囊性癌,一种罕见的支气管肿瘤。
Tunis Med. 2016 Nov;94(11):698.
2
Adenoid Cystic Carcinoma of the Trachea.气管腺样囊性癌
Indian J Surg Oncol. 2016 Mar;7(1):62-6. doi: 10.1007/s13193-015-0453-5. Epub 2015 Aug 20.
3
A rare case of primary adenoid cystic carcinoma of lung.一例罕见的原发性肺腺样囊性癌。
Indian J Chest Dis Allied Sci. 2014 Jul-Sep;56(3):175-7.
4
Primary adenoid cystic carcinoma of the lung: Clinicopathological features, treatment and results.原发性肺腺样囊性癌:临床病理特征、治疗及结果
Oncol Lett. 2015 Mar;9(3):1475-1481. doi: 10.3892/ol.2015.2859. Epub 2015 Jan 8.
5
Primary pulmonary adenoid cystic carcinoma: report of a case diagnosed by fine-needle aspiration cytology.原发性肺腺样囊性癌:一例经细针穿刺细胞学诊断的病例报告
Diagn Cytopathol. 2004 Jan;30(1):51-6. doi: 10.1002/dc.10422.
6
Primary peripheral adenoid cystic carcinoma of the lung. A case report.原发性肺外周腺样囊性癌。病例报告。
Acta Chir Belg. 2003 Aug;103(4):414-5. doi: 10.1080/00015458.2003.11679456.
7
Peripheral pulmonary adenoid cystic carcinoma with substantial submucosal extension to the proximal bronchus.周围型肺腺样囊性癌,伴有大量黏膜下扩展至近端支气管。
Thorax. 1991 Feb;46(2):147-8. doi: 10.1136/thx.46.2.147.