Suppr超能文献

室旁核注入低聚原花青素可改善肾血管性高血压。

Paraventricular Nucleus Infusion of Oligomeric Proantho Cyanidins Improves Renovascular Hypertension.

作者信息

Yu Xiao-Jing, Xin Guo-Rui, Liu Kai-Li, Liu Xiao-Jing, Fu Li-Yan, Qi Jie, Kang Kai B, Meng Ting-Ting, Yi Qiu-Yue, Li Ying, Sun Yao-Jun, Kang Yu-Ming

机构信息

Department of Physiology and Pathophysiology, Xi'an Jiaotong University School of Basic Medical Sciences, Shaanxi Engineering and Research Center of Vaccine, Key Laboratory of Environment and Genes Related to Diseases of Education Ministry of China, Xi'an, China.

Department of Cardiology, The Second Clinical Medical College, Shanxi Medical University, Taiyuan, China.

出版信息

Front Neurosci. 2021 Mar 4;15:642015. doi: 10.3389/fnins.2021.642015. eCollection 2021.

Abstract

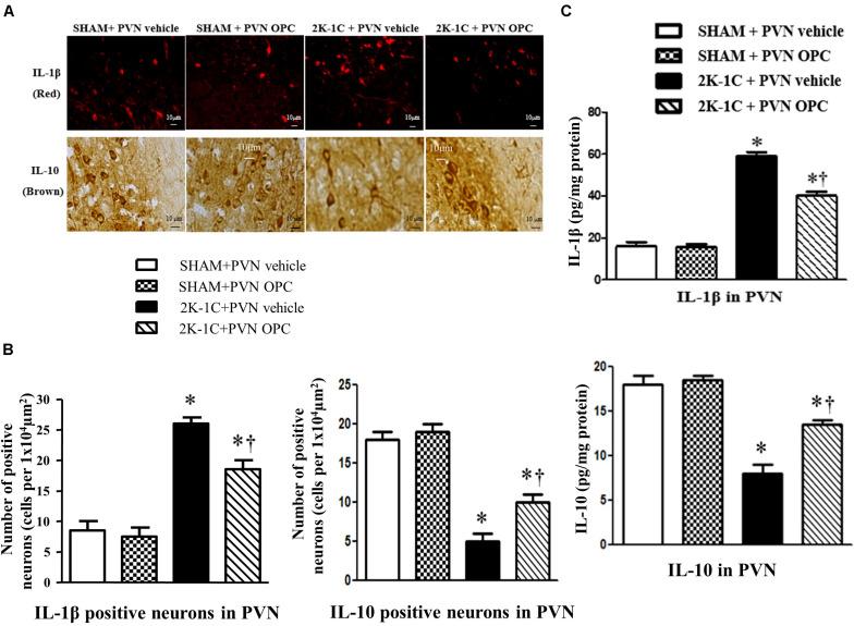
Oxidative stress plays an important role in the pathogenesis of hypertension. Oligomeric proantho cyanidins (OPC) is the main polyphenol presents in grape seed and is known for its potent antioxidant and anti-inflammatory properties. In the present study, we hypothesize that OPC can attenuate oxidative stress in the paraventricular nucleus of hypothalamus (PVN), ameliorate neurotransmitter imbalance, decrease the blood pressure and sympathetic activity in renovascular hypertensive rats. After induction of renovascular hypertension by the two-kidney one-clip (2K-1C) method, male Sprague-Dawley rats received chronic bilateral PVN infusion of OPC (20 μg/h) or vehicle via osmotic minipump for 4 weeks. We found that hypertension induced by 2K-1C was associated with the production of reactive oxygen species (ROS) in the PVN. Infusion of OPC in the PVN significantly reduced the systolic blood pressure and norepinephrine in plasma of 2K-1C rats. In addition, PVN infusion of OPC decreased the level of ROS and the expression of stress-related nicotinamide adenine dinucleotide phosphate (NADPH) oxidases subunit NOX4, increased the levels of nuclear factor E2-related factor 2 (Nrf2) and antioxidant enzyme, balanced the content of cytokines, increased expression of glutamic acid decarboxylase and decreased the expression of tyrosine hydroxylase in the PVN of 2K-1C rats. Our findings provided strong evidence that PVN infusion of OPC inhibited the progression of renovascular hypertension through its potent anti-oxidative and anti-inflammatory function in the PVN.

摘要

氧化应激在高血压发病机制中起重要作用。低聚原花青素(OPC)是葡萄籽中主要的多酚类物质,以其强大的抗氧化和抗炎特性而闻名。在本研究中,我们假设OPC可以减轻下丘脑室旁核(PVN)的氧化应激,改善神经递质失衡,降低肾血管性高血压大鼠的血压和交感神经活动。通过双肾单夹(2K-1C)法诱导肾血管性高血压后,雄性Sprague-Dawley大鼠通过渗透微型泵接受慢性双侧PVN输注OPC(20μg/h)或载体,持续4周。我们发现2K-1C诱导的高血压与PVN中活性氧(ROS)的产生有关。在PVN中输注OPC可显著降低2K-1C大鼠血浆中的收缩压和去甲肾上腺素。此外,在PVN中输注OPC可降低ROS水平和应激相关烟酰胺腺嘌呤二核苷酸磷酸(NADPH)氧化酶亚基NOX4的表达,增加核因子E2相关因子2(Nrf2)和抗氧化酶的水平,平衡细胞因子含量,增加谷氨酸脱羧酶的表达并降低2K-1C大鼠PVN中酪氨酸羟化酶的表达。我们的研究结果提供了强有力的证据,表明在PVN中输注OPC通过其在PVN中强大的抗氧化和抗炎功能抑制肾血管性高血压的进展。

https://cdn.ncbi.nlm.nih.gov/pmc/blobs/81e9/7969814/59bb4bf40817/fnins-15-642015-g001.jpg

文献检索

告别复杂PubMed语法,用中文像聊天一样搜索,搜遍4000万医学文献。AI智能推荐,让科研检索更轻松。

立即免费搜索

文件翻译

保留排版,准确专业,支持PDF/Word/PPT等文件格式,支持 12+语言互译。

免费翻译文档

深度研究

AI帮你快速写综述,25分钟生成高质量综述,智能提取关键信息,辅助科研写作。

立即免费体验