Reynolds W F, Azer K
Department of Molecular Biology, Research Institute of Scripps Clinic, La Jolla, CA 92037.
Nucleic Acids Res. 1988 Apr 25;16(8):3391-403. doi: 10.1093/nar/16.8.3391.
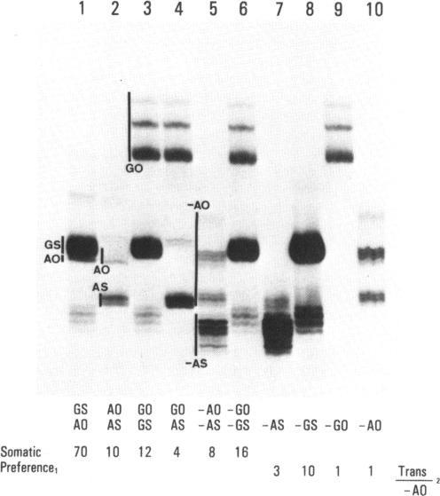
The Xenopus somatic and oocyte 5S RNA genes are differentially expressed in extracts of whole oocytes. In such extracts, sequence differences preceding the internal promoters significantly alter the relative activities of these genes. Following exchange of the sequences preceding the promoter, the activity of the somatic 5S gene decreased and that of the oocyte 5S gene increased. As a result, a 100 fold somatic transcriptional advantage was reduced to 5 fold. Analysis of deletion mutants showed that the relevant sequence differences are located between -34 and +37 relative to the initiation site. The observed transcriptional modulation is due both to sequence differences 5' to the initiation site and at positions 30 and 37 within the coding region.
非洲爪蟾的体细胞和卵母细胞5S RNA基因在整个卵母细胞提取物中差异表达。在这类提取物中,内部启动子之前的序列差异显著改变了这些基因的相对活性。交换启动子之前的序列后,体细胞5S基因的活性降低,而卵母细胞5S基因的活性增加。结果,体细胞转录优势从100倍降至5倍。缺失突变体分析表明,相关序列差异位于相对于起始位点的-34至+37之间。观察到的转录调控既归因于起始位点5'端的序列差异,也归因于编码区内第30和37位的序列差异。