• 文献检索
  • 文档翻译
  • 深度研究
  • 学术资讯
  • Suppr Zotero 插件Zotero 插件
  • 邀请有礼
  • 套餐&价格
  • 历史记录
应用&插件
Suppr Zotero 插件Zotero 插件浏览器插件Mac 客户端Windows 客户端微信小程序
定价
高级版会员购买积分包购买API积分包
服务
文献检索文档翻译深度研究API 文档MCP 服务
关于我们
关于 Suppr公司介绍联系我们用户协议隐私条款
关注我们

Suppr 超能文献

核心技术专利:CN118964589B侵权必究
粤ICP备2023148730 号-1Suppr @ 2026

文献检索

告别复杂PubMed语法,用中文像聊天一样搜索,搜遍4000万医学文献。AI智能推荐,让科研检索更轻松。

立即免费搜索

文件翻译

保留排版,准确专业,支持PDF/Word/PPT等文件格式,支持 12+语言互译。

免费翻译文档

深度研究

AI帮你快速写综述,25分钟生成高质量综述,智能提取关键信息,辅助科研写作。

立即免费体验

采用定制植入物对蝶眶转移瘤进行“一步法”切除及颅眶重建:1例病例报告并文献复习

"Single-step" resection and cranio-orbital reconstruction for spheno-orbital metastasis with custom made implant. A case report and review of the literature.

作者信息

Antonelli Vincenzo, Maimone Giuseppe, D'Andrea Marcello, Tomassini Alessia, Bassi Massimo, Tosatto Luigino

机构信息

Department of Neurosurgery, Hospital "M. Bufalini" - AUSL della Romagna, 286 Viale Ghirotti, 47521 Cesena, Italy.

Department of Neurosurgery, Hospital "M. Bufalini" - AUSL della Romagna, 286 Viale Ghirotti, 47521 Cesena, Italy.

出版信息

Int J Surg Case Rep. 2021 Apr;81:105755. doi: 10.1016/j.ijscr.2021.105755. Epub 2021 Mar 11.

DOI:10.1016/j.ijscr.2021.105755
PMID:33752032
原文链接:https://pmc.ncbi.nlm.nih.gov/articles/PMC8010640/
Abstract

INTRODUCTION AND IMPORTANCE

Brain metastasis involving the skull base is a rare complication of malignant tumors. Besides radiotherapy, surgical treatment is a therapeutical option even though it may apply complex technical procedures that may delay complementary therapies. However, in recent days, the innovation of custom-made implants allows treating selected patients with fewer complications and better results.

CASE PRESENTATION

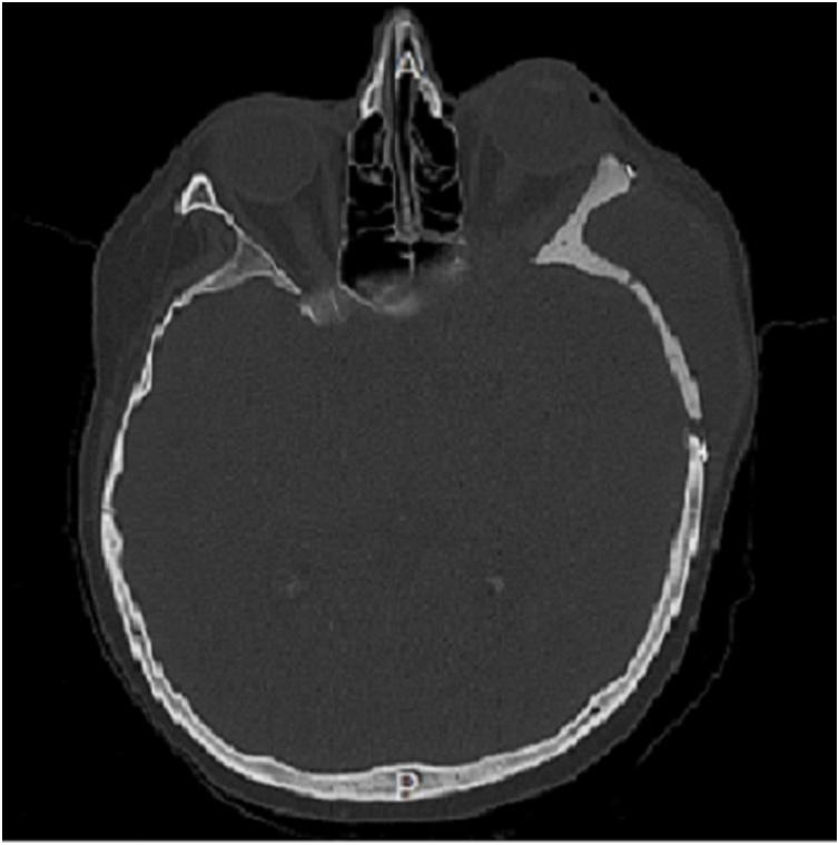
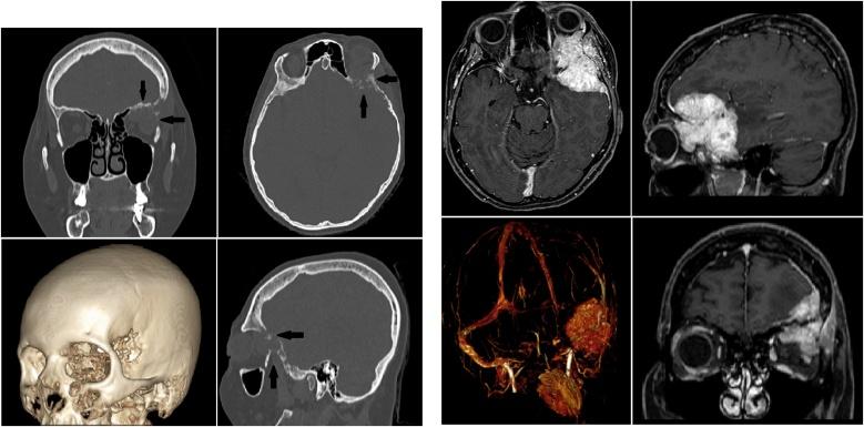
We describe a single case of a complex fronto-orbital skull base metastasis requiring skull bone reconstruction that we treated with a single-step surgery and custom-made implant. Our procedure consists of two steps: in the first one, we perform a "virtual" craniotomy on a 3D phantom model previously built on a high-resolution bone CT scan. In the second step, the actual surgical procedure, the patient undergoes the resection and reconstruction of the cranial defect with an implant of PMMA custom-made cranioplasty. A three-month clinical and radiological follow-up is reported, which documented the extent of resection and good aesthetic results.

CLINICAL DISCUSSION

In our case, we performed a skull reconstruction of cranio-orbital region with macroscopic gross-total resection of the tumor. Complementary radiotherapy was obtained after one month. Three-month follow-up showed good esthetic results and progression-free disease. A recent review of the literature is provided to discuss different reconstruction techniques.

CONCLUSION

"Single-Step" resection and custom-made reconstruction is a relatively new technique that could be helpful not only for benign tumors, which remains its main application but also in selected cases of malignant tumors when immediate reconstruction and faster complementary treatments are needed.

摘要

引言与重要性

累及颅底的脑转移瘤是恶性肿瘤的一种罕见并发症。除放射治疗外,手术治疗也是一种治疗选择,尽管其可能需要应用复杂的技术程序,这可能会延迟辅助治疗。然而,近年来,定制植入物的创新使得能够治疗特定患者,并发症更少且效果更好。

病例介绍

我们描述了一例复杂的额眶颅底转移瘤病例,该病例需要进行颅骨重建,我们采用单步手术和定制植入物进行治疗。我们的手术包括两个步骤:第一步,我们在先前基于高分辨率骨CT扫描构建的3D虚拟模型上进行“虚拟”开颅手术。第二步,即实际手术过程,患者接受使用定制聚甲基丙烯酸甲酯颅骨成形术植入物进行颅骨缺损的切除和重建。报告了为期三个月的临床和影像学随访情况,记录了切除范围和良好的美学效果。

临床讨论

在我们的病例中,我们对颅眶区域进行了颅骨重建,并对肿瘤进行了大体全切。术后一个月进行了辅助放疗。三个月的随访显示美学效果良好且无疾病进展。提供了近期的文献综述以讨论不同的重建技术。

结论

“单步”切除和定制重建是一种相对较新的技术,不仅对良性肿瘤(其仍是主要应用对象)有帮助,而且在需要立即重建和更快辅助治疗的特定恶性肿瘤病例中也有帮助。

https://cdn.ncbi.nlm.nih.gov/pmc/blobs/ec43/8010640/c99e684c8f98/gr4.jpg
https://cdn.ncbi.nlm.nih.gov/pmc/blobs/ec43/8010640/01c5d261488c/gr1v2.jpg
https://cdn.ncbi.nlm.nih.gov/pmc/blobs/ec43/8010640/d5fc4f504f4d/gr2.jpg
https://cdn.ncbi.nlm.nih.gov/pmc/blobs/ec43/8010640/ad482ed8394a/gr3.jpg
https://cdn.ncbi.nlm.nih.gov/pmc/blobs/ec43/8010640/c99e684c8f98/gr4.jpg
https://cdn.ncbi.nlm.nih.gov/pmc/blobs/ec43/8010640/01c5d261488c/gr1v2.jpg
https://cdn.ncbi.nlm.nih.gov/pmc/blobs/ec43/8010640/d5fc4f504f4d/gr2.jpg
https://cdn.ncbi.nlm.nih.gov/pmc/blobs/ec43/8010640/ad482ed8394a/gr3.jpg
https://cdn.ncbi.nlm.nih.gov/pmc/blobs/ec43/8010640/c99e684c8f98/gr4.jpg

相似文献

1
"Single-step" resection and cranio-orbital reconstruction for spheno-orbital metastasis with custom made implant. A case report and review of the literature.采用定制植入物对蝶眶转移瘤进行“一步法”切除及颅眶重建:1例病例报告并文献复习
Int J Surg Case Rep. 2021 Apr;81:105755. doi: 10.1016/j.ijscr.2021.105755. Epub 2021 Mar 11.
2
Synchronized "One-Step" Resection and Cranio-Orbital Reconstruction for Spheno-Orbital Lesions With Custom Made Implant.定制植入物同步“一步法”切除及颅眶重建治疗累及蝶眶区病变
J Craniofac Surg. 2021;32(5):1870-1873. doi: 10.1097/SCS.0000000000007385.
3
3D Printing for Customized Bone Reconstruction in Spheno-Orbital Meningiomas: A Systematic Literature Review and Institutional Experience.3D打印在蝶骨嵴脑膜瘤定制化骨重建中的应用:系统文献综述与机构经验
J Clin Med. 2024 Jul 6;13(13):3968. doi: 10.3390/jcm13133968.
4
Case Report: Simultaneous Resection of Bone Tumor and CAD/CAM Titanium Cranioplasty in Fronto-Orbital Region.病例报告:额眶区域骨肿瘤与计算机辅助设计/制造钛颅骨成形术同期切除
Front Surg. 2021 Oct 27;8:718725. doi: 10.3389/fsurg.2021.718725. eCollection 2021.
5
Image-guided cranial osteoma resection and bioceramic porous hydroxyapatite custom-made reconstruction in a one-step surgical procedure. Technical notes and illustrative case.在一步手术中进行图像引导的颅骨骨瘤切除术和生物陶瓷多孔羟基磷灰石定制重建。技术说明和案例说明。
Acta Neurochir (Wien). 2010 Jan;152(1):155-9. doi: 10.1007/s00701-009-0374-6. Epub 2009 May 9.
6
Porous polyethylene implant reconstruction of the orbit after resection of spheno-orbital meningiomas: a novel technique.切除蝶眶脑膜瘤后多孔聚乙烯植入物眼眶重建:一种新方法。
J Craniomaxillofac Surg. 2012 Jan;40(1):e28-32. doi: 10.1016/j.jcms.2011.01.016. Epub 2011 Mar 12.
7
Single-Step Resection of Sphenoorbital Meningiomas and Orbital Reconstruction Using Customized CAD/CAM Implants.使用定制CAD/CAM植入物对蝶眶脑膜瘤进行单步切除及眼眶重建
J Neurol Surg B Skull Base. 2020 Apr;81(2):142-148. doi: 10.1055/s-0039-1681044. Epub 2019 Mar 1.
8
Spheno-orbital meningioma resection and reconstruction: the role of piezosurgery and premolded titanium mesh.蝶眶脑膜瘤切除术与重建:压电手术及预成型钛网的作用
Craniomaxillofac Trauma Reconstr. 2011 Dec;4(4):193-200. doi: 10.1055/s-0031-1286113.
9
A method for the resection of cranial tumours and skull reconstruction.
Br J Neurosurg. 2000 Dec;14(6):555-9. doi: 10.1080/02688690020005581.
10
Simultaneous Image-Guided Skull Bone Tumor Resection and Reconstruction With a Preconstructed Prosthesis Based on an OsiriX Virtual Resection.基于OsiriX虚拟切除术的预构建假体同步图像引导下颅骨肿瘤切除与重建
Oper Neurosurg. 2015 Dec 1;11(4):484-490. doi: 10.1227/NEU.0000000000000971.

引用本文的文献

1
Single-step 3D printing aided cranio-orbital reconstruction with patient specific polyetheretherketone implants after resection of benign spheno-orbital tumors.良性蝶眶肿瘤切除术后使用定制聚醚醚酮植入物的单步3D打印辅助颅眶重建
Acta Neurochir (Wien). 2024 Dec 12;166(1):499. doi: 10.1007/s00701-024-06393-4.
2
3D Printing for Customized Bone Reconstruction in Spheno-Orbital Meningiomas: A Systematic Literature Review and Institutional Experience.3D打印在蝶骨嵴脑膜瘤定制化骨重建中的应用:系统文献综述与机构经验
J Clin Med. 2024 Jul 6;13(13):3968. doi: 10.3390/jcm13133968.
3
Surgical Management of Complex Skull Base Tumor Using Preoperative Multimodal Image Fusion Technology.
运用术前多模态影像融合技术的复杂颅底肿瘤手术治疗
J Craniofac Surg. 2024 Mar 27;35(3):853-9. doi: 10.1097/SCS.0000000000010073.
4
Augmented reality-assisted craniofacial reconstruction in skull base lesions - an innovative technique for single-step resection and cranioplasty in neurosurgery.增强现实辅助颅面重建在颅底病变中的应用-神经外科中一种用于单步切除和颅骨成形术的创新技术。
Neurosurg Rev. 2022 Aug;45(4):2745-2755. doi: 10.1007/s10143-022-01784-6. Epub 2022 Apr 20.
5
State-of-Art of Standard and Innovative Materials Used in Cranioplasty.颅骨成形术中使用的标准和创新材料的现状。
Polymers (Basel). 2021 Apr 30;13(9):1452. doi: 10.3390/polym13091452.