• 文献检索
  • 文档翻译
  • 深度研究
  • 学术资讯
  • Suppr Zotero 插件Zotero 插件
  • 邀请有礼
  • 套餐&价格
  • 历史记录
应用&插件
Suppr Zotero 插件Zotero 插件浏览器插件Mac 客户端Windows 客户端微信小程序
定价
高级版会员购买积分包购买API积分包
服务
文献检索文档翻译深度研究API 文档MCP 服务
关于我们
关于 Suppr公司介绍联系我们用户协议隐私条款
关注我们

Suppr 超能文献

核心技术专利:CN118964589B侵权必究
粤ICP备2023148730 号-1Suppr @ 2026

文献检索

告别复杂PubMed语法,用中文像聊天一样搜索,搜遍4000万医学文献。AI智能推荐,让科研检索更轻松。

立即免费搜索

文件翻译

保留排版,准确专业,支持PDF/Word/PPT等文件格式,支持 12+语言互译。

免费翻译文档

深度研究

AI帮你快速写综述,25分钟生成高质量综述,智能提取关键信息,辅助科研写作。

立即免费体验

GFAP 过度棕榈酰化加剧了 PPT1 缺陷型小鼠的星形胶质细胞增生和神经退行性病变。

GFAP hyperpalmitoylation exacerbates astrogliosis and neurodegenerative pathology in PPT1-deficient mice.

机构信息

Institute of Psychiatry and Neuroscience, Xinxiang Medical University, 453000 Xinxiang, China.

Henan Key Laboratory of Biological Psychiatry, International Joint Research Laboratory for Psychiatry and Neuroscience of Henan, The Second Affiliated Hospital of Xinxiang Medical University, 453000 Xinxiang, China.

出版信息

Proc Natl Acad Sci U S A. 2021 Mar 30;118(13). doi: 10.1073/pnas.2022261118.

DOI:10.1073/pnas.2022261118
PMID:33753498
原文链接:https://pmc.ncbi.nlm.nih.gov/articles/PMC8020761/
Abstract

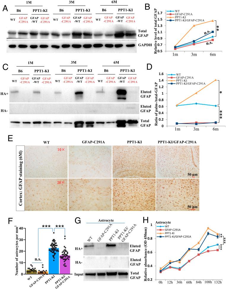
The homeostasis of protein palmitoylation and depalmitoylation is essential for proper physiological functions in various tissues, in particular the central nervous system (CNS). The dysfunction of PPT1 (PPT1-KI, infantile neuronal ceroid lipofuscinosis [INCL] mouse model), which catalyze the depalmitoylation process, results in serious neurodegeneration accompanied by severe astrogliosis in the brain. Endeavoring to determine critical factors that might account for the pathogenesis in CNS by palm-proteomics, glial fibrillary acidic protein (GFAP) was spotted, indicating that GFAP is probably palmitoylated. Questions concerning if GFAP is indeed palmitoylated in vivo and how palmitoylation of GFAP might participate in neural pathology remain unexplored and are waiting to be investigated. Here we show that GFAP is readily palmitoylated in vitro and in vivo; specifically, cysteine-291 is the unique palmitoylated residue in GFAP. Interestingly, it was found that palmitoylated GFAP promotes astrocyte proliferation in vitro. Furthermore, we showed that PPT1 depalmitoylates GFAP, and the level of palmitoylated GFAP is overwhelmingly up-regulated in PPT1-knockin mice, which lead us to speculate that the elevated level of palmitoylated GFAP might accelerate astrocyte proliferation in vivo and ultimately led to astrogliosis in INCL. Indeed, blocking palmitoylation by mutating cysteine-291 into alanine in GFAP attenuate astrogliosis, and remarkably, the concurrent neurodegenerative pathology in PPT1-knockin mice. Together, these findings demonstrate that hyperpalmitoylated GFAP plays critical roles in regulating the pathogenesis of astrogliosis and neurodegeneration in the CNS, and most importantly, pinpointing that cysteine-291 in GFAP might be a valuable pharmaceutical target for treating INCL and other potential neurodegenerative diseases.

摘要

蛋白质棕榈酰化和去棕榈酰化的动态平衡对于各种组织(尤其是中枢神经系统 [CNS])的正常生理功能至关重要。催化去棕榈酰化过程的 PPT1(PPT1-KI,婴儿神经元蜡样脂褐质沉积症 [INCL] 小鼠模型)功能障碍会导致严重的神经退行性变,并伴有大脑中的严重星形胶质细胞增生。通过棕榈酰蛋白质组学努力确定可能导致 CNS 发病机制的关键因素,发现了胶质纤维酸性蛋白(GFAP),表明 GFAP 可能被棕榈酰化。GFAP 是否确实在体内被棕榈酰化以及 GFAP 的棕榈酰化如何参与神经病理学等问题仍未得到探索,有待进一步研究。在这里,我们表明 GFAP 很容易在体外和体内被棕榈酰化;具体来说,半胱氨酸-291 是 GFAP 中唯一的棕榈酰化残基。有趣的是,研究发现棕榈酰化的 GFAP 可促进体外星形胶质细胞增殖。此外,我们还表明 PPT1 去棕榈酰化 GFAP,并且 PPT1 敲入小鼠中棕榈酰化 GFAP 的水平大大上调,这使我们推测升高的棕榈酰化 GFAP 水平可能加速体内星形胶质细胞增殖,并最终导致 INCL 中的星形胶质细胞增生。事实上,通过将 GFAP 中的半胱氨酸-291 突变为丙氨酸来阻断棕榈酰化可减轻星形胶质细胞增生,并且在 PPT1 敲入小鼠中明显减轻神经退行性病理。总之,这些发现表明,高度棕榈酰化的 GFAP 在调节 CNS 中星形胶质细胞增生和神经退行性变的发病机制中发挥关键作用,最重要的是,指出 GFAP 中的半胱氨酸-291 可能是治疗 INCL 和其他潜在神经退行性疾病的有价值的药物靶点。

https://cdn.ncbi.nlm.nih.gov/pmc/blobs/7c0d/8020761/2ede59d436cb/pnas.2022261118fig06.jpg
https://cdn.ncbi.nlm.nih.gov/pmc/blobs/7c0d/8020761/f3c23ff044a5/pnas.2022261118fig01.jpg
https://cdn.ncbi.nlm.nih.gov/pmc/blobs/7c0d/8020761/9378846d5599/pnas.2022261118fig02.jpg
https://cdn.ncbi.nlm.nih.gov/pmc/blobs/7c0d/8020761/53e76342085e/pnas.2022261118fig03.jpg
https://cdn.ncbi.nlm.nih.gov/pmc/blobs/7c0d/8020761/a703ed437ebb/pnas.2022261118fig04.jpg
https://cdn.ncbi.nlm.nih.gov/pmc/blobs/7c0d/8020761/280f1c02b927/pnas.2022261118fig05.jpg
https://cdn.ncbi.nlm.nih.gov/pmc/blobs/7c0d/8020761/2ede59d436cb/pnas.2022261118fig06.jpg
https://cdn.ncbi.nlm.nih.gov/pmc/blobs/7c0d/8020761/f3c23ff044a5/pnas.2022261118fig01.jpg
https://cdn.ncbi.nlm.nih.gov/pmc/blobs/7c0d/8020761/9378846d5599/pnas.2022261118fig02.jpg
https://cdn.ncbi.nlm.nih.gov/pmc/blobs/7c0d/8020761/53e76342085e/pnas.2022261118fig03.jpg
https://cdn.ncbi.nlm.nih.gov/pmc/blobs/7c0d/8020761/a703ed437ebb/pnas.2022261118fig04.jpg
https://cdn.ncbi.nlm.nih.gov/pmc/blobs/7c0d/8020761/280f1c02b927/pnas.2022261118fig05.jpg
https://cdn.ncbi.nlm.nih.gov/pmc/blobs/7c0d/8020761/2ede59d436cb/pnas.2022261118fig06.jpg

相似文献

1
GFAP hyperpalmitoylation exacerbates astrogliosis and neurodegenerative pathology in PPT1-deficient mice.GFAP 过度棕榈酰化加剧了 PPT1 缺陷型小鼠的星形胶质细胞增生和神经退行性病变。
Proc Natl Acad Sci U S A. 2021 Mar 30;118(13). doi: 10.1073/pnas.2022261118.
2
The role of attenuated astrocyte activation in infantile neuronal ceroid lipofuscinosis.星形细胞激活减弱在婴儿神经元蜡样脂褐质沉积症中的作用。
J Neurosci. 2011 Oct 26;31(43):15575-85. doi: 10.1523/JNEUROSCI.3579-11.2011.
3
In a mouse model of INCL reduced S-palmitoylation of cytosolic thioesterase APT1 contributes to microglia proliferation and neuroinflammation.在 INCL 的小鼠模型中,细胞质硫酯酶 APT1 的 S-棕榈酰化减少导致小胶质细胞增殖和神经炎症。
J Inherit Metab Dis. 2021 Jul;44(4):1051-1069. doi: 10.1002/jimd.12379. Epub 2021 Mar 29.
4
Compromised astrocyte function and survival negatively impact neurons in infantile neuronal ceroid lipofuscinosis.星形胶质细胞功能受损和存活不良会对婴儿神经细胞蜡样脂褐质沉积症的神经元产生负面影响。
Acta Neuropathol Commun. 2018 Aug 8;6(1):74. doi: 10.1186/s40478-018-0575-4.
5
Proteomics insights into infantile neuronal ceroid lipofuscinosis (CLN1) point to the involvement of cilia pathology in the disease.蛋白质组学对婴儿神经元蜡样脂褐质沉积症(CLN1)的见解表明纤毛病理参与了该疾病。
Hum Mol Genet. 2017 May 1;26(9):1678. doi: 10.1093/hmg/ddx074.
6
Loss of Depalmitoylation Disrupts Homeostatic Plasticity of AMPARs in a Mouse Model of Infantile Neuronal Ceroid Lipofuscinosis.失棕榈酰化作用破坏婴儿神经鞘脂褐质沉积病小鼠模型中 AMPAR 的内稳态可塑性。
J Neurosci. 2023 Dec 6;43(49):8317-8335. doi: 10.1523/JNEUROSCI.1113-23.2023.
7
Cln3-mutations underlying juvenile neuronal ceroid lipofuscinosis cause significantly reduced levels of Palmitoyl-protein thioesterases-1 (Ppt1)-protein and Ppt1-enzyme activity in the lysosome.Cln3 基因突变导致少年神经元蜡样脂褐质沉积症中 Palmitoyl-protein thioesterases-1 (Ppt1)-蛋白及其酶活性在溶酶体中的水平显著降低。
J Inherit Metab Dis. 2019 Sep;42(5):944-954. doi: 10.1002/jimd.12106. Epub 2019 May 14.
8
Cln1-mutations suppress Rab7-RILP interaction and impair autophagy contributing to neuropathology in a mouse model of infantile neuronal ceroid lipofuscinosis.Cln1 突变抑制 Rab7-RILP 相互作用并损害自噬,导致婴儿神经元蜡样脂褐质沉积症小鼠模型的神经病理学改变。
J Inherit Metab Dis. 2020 Sep;43(5):1082-1101. doi: 10.1002/jimd.12242. Epub 2020 Apr 27.
9
Astrocytosis in infantile neuronal ceroid lipofuscinosis: friend or foe?婴儿神经元蜡样脂褐质沉积症中的星形细胞增生:敌还是友?
Biochem Soc Trans. 2014 Oct;42(5):1282-5. doi: 10.1042/BST20140188.
10
Ppt1-deficiency dysregulates lysosomal Ca homeostasis contributing to pathogenesis in a mouse model of CLN1 disease.PPT1 缺乏导致溶酶体钙稳态失调,导致 CLN1 疾病小鼠模型发病。
J Inherit Metab Dis. 2022 May;45(3):635-656. doi: 10.1002/jimd.12485. Epub 2022 Mar 17.

引用本文的文献

1
Recent advances in S-palmitoylation and its emerging roles in human diseases.S-棕榈酰化的最新进展及其在人类疾病中的新作用。
J Hematol Oncol. 2025 Sep 1;18(1):83. doi: 10.1186/s13045-025-01738-7.
2
Targeting glial fibrillary acidic protein in glaucoma: a monoclonal antibody approach to modulate glial reactivity and neuroinflammation for neuroprotection.靶向青光眼患者的胶质纤维酸性蛋白:一种通过单克隆抗体调节胶质细胞反应性和神经炎症以实现神经保护的方法。
J Neuroinflammation. 2025 Jun 17;22(1):159. doi: 10.1186/s12974-025-03482-8.
3
Palmitoylation in cardiovascular diseases: Molecular mechanism and therapeutic potential.

本文引用的文献

1
Novel long-range inhibitory nNOS-expressing hippocampal cells.新型长程抑制性表达 nNOS 的海马细胞。
Elife. 2019 Oct 14;8:e46816. doi: 10.7554/eLife.46816.
2
Inhibiting PD-L1 palmitoylation enhances T-cell immune responses against tumours.抑制 PD-L1 的棕榈酰化可增强 T 细胞对肿瘤的免疫反应。
Nat Biomed Eng. 2019 Apr;3(4):306-317. doi: 10.1038/s41551-019-0375-6. Epub 2019 Mar 25.
3
A Novel Optical Tissue Clearing Protocol for Mouse Skeletal Muscle to Visualize Endplates in Their Tissue Context.一种用于小鼠骨骼肌的新型光学组织透明化方案,以在组织环境中可视化终板。
心血管疾病中的棕榈酰化:分子机制与治疗潜力
Int J Cardiol Heart Vasc. 2025 Apr 4;58:101675. doi: 10.1016/j.ijcha.2025.101675. eCollection 2025 Jun.
4
Palmitoylation by ZDHHC4 inhibits TRPV1-mediated nociception.ZDHHC4介导的棕榈酰化抑制TRPV1介导的伤害感受。
EMBO Rep. 2025 Jan;26(1):101-121. doi: 10.1038/s44319-024-00317-0. Epub 2024 Nov 11.
5
Enhancing Gpx1 palmitoylation to inhibit angiogenesis by targeting PPT1.通过靶向 PPT1 增强 GPx1 的棕榈酰化以抑制血管生成。
Redox Biol. 2024 Nov;77:103376. doi: 10.1016/j.redox.2024.103376. Epub 2024 Oct 5.
6
Palmitoylation regulates myelination by modulating the ZDHHC3-Cadm4 axis in the central nervous system.棕榈酰化通过调节中枢神经系统中的 ZDHHC3-Cadm4 轴来调节髓鞘形成。
Signal Transduct Target Ther. 2024 Sep 26;9(1):254. doi: 10.1038/s41392-024-01971-5.
7
The GFAP proteoform puzzle: How to advance GFAP as a fluid biomarker in neurological diseases.胶质纤维酸性蛋白(GFAP)蛋白异构体之谜:如何推动GFAP成为神经疾病中的一种动态生物标志物。
J Neurochem. 2025 Jan;169(1):e16226. doi: 10.1111/jnc.16226. Epub 2024 Sep 17.
8
Activation of D2-like dopamine receptors improves the neuronal network and cognitive function of PPT1KI mice.激活 D2 样多巴胺受体可改善 PPT1KI 小鼠的神经网络和认知功能。
Acta Pharmacol Sin. 2025 Feb;46(2):338-352. doi: 10.1038/s41401-024-01377-7. Epub 2024 Sep 16.
9
Inhibiting S-palmitoylation arrests metastasis by relocating Rap2b from plasma membrane in colorectal cancer.抑制 S-棕榈酰化作用通过将 Rap2b 从结直肠癌细胞的质膜重新定位来阻止转移。
Cell Death Dis. 2024 Sep 14;15(9):675. doi: 10.1038/s41419-024-07061-2.
10
Tyrosine phosphorylation and palmitoylation of TRPV2 ion channel tune microglial beta-amyloid peptide phagocytosis.TRPV2 离子通道的酪氨酸磷酸化和棕榈酰化调节小胶质细胞β-淀粉样肽吞噬作用。
J Neuroinflammation. 2024 Sep 3;21(1):218. doi: 10.1186/s12974-024-03204-6.
Front Cell Neurosci. 2019 Feb 27;13:49. doi: 10.3389/fncel.2019.00049. eCollection 2019.
4
Brain regulatory T cells suppress astrogliosis and potentiate neurological recovery.脑调节性 T 细胞抑制星形胶质细胞增生并增强神经功能恢复。
Nature. 2019 Jan;565(7738):246-250. doi: 10.1038/s41586-018-0824-5. Epub 2019 Jan 2.
5
A severe atherosclerosis mouse model on the resistant NOD background.一种在抗性 NOD 背景下的严重动脉粥样硬化小鼠模型。
Dis Model Mech. 2018 Oct 8;11(10):dmm033852. doi: 10.1242/dmm.033852.
6
Wnt5a signaling induced phosphorylation increases APT1 activity and promotes melanoma metastatic behavior.Wnt5a 信号诱导的磷酸化增加 APT1 的活性,并促进黑色素瘤的转移行为。
Elife. 2018 Apr 12;7:e34362. doi: 10.7554/eLife.34362.
7
Type III Intermediate Filaments Desmin, Glial Fibrillary Acidic Protein (GFAP), Vimentin, and Peripherin.III 型中间丝:结蛋白、胶质纤维酸性蛋白(GFAP)、波形蛋白和外周蛋白。
Cold Spring Harb Perspect Biol. 2017 Dec 1;9(12):a021642. doi: 10.1101/cshperspect.a021642.
8
Protein Acyltransferase DHHC3 Regulates Breast Tumor Growth, Oxidative Stress, and Senescence.蛋白质酰基转移酶DHHC3调节乳腺肿瘤生长、氧化应激和衰老。
Cancer Res. 2017 Dec 15;77(24):6880-6890. doi: 10.1158/0008-5472.CAN-17-1536. Epub 2017 Oct 20.
9
Targeting the Ras palmitoylation/depalmitoylation cycle in cancer.靶向癌症中的Ras棕榈酰化/去棕榈酰化循环
Biochem Soc Trans. 2017 Aug 15;45(4):913-921. doi: 10.1042/BST20160303. Epub 2017 Jun 19.
10
Misrouting of v-ATPase subunit V0a1 dysregulates lysosomal acidification in a neurodegenerative lysosomal storage disease model.v-ATPase 亚基 V0a1 错位导致神经退行性溶酶体贮积病模型中的溶酶体酸化失调。
Nat Commun. 2017 Mar 7;8:14612. doi: 10.1038/ncomms14612.