• 文献检索
  • 文档翻译
  • 深度研究
  • 学术资讯
  • Suppr Zotero 插件Zotero 插件
  • 邀请有礼
  • 套餐&价格
  • 历史记录
应用&插件
Suppr Zotero 插件Zotero 插件浏览器插件Mac 客户端Windows 客户端微信小程序
定价
高级版会员购买积分包购买API积分包
服务
文献检索文档翻译深度研究API 文档MCP 服务
关于我们
关于 Suppr公司介绍联系我们用户协议隐私条款
关注我们

Suppr 超能文献

核心技术专利:CN118964589B侵权必究
粤ICP备2023148730 号-1Suppr @ 2026

文献检索

告别复杂PubMed语法,用中文像聊天一样搜索,搜遍4000万医学文献。AI智能推荐,让科研检索更轻松。

立即免费搜索

文件翻译

保留排版,准确专业,支持PDF/Word/PPT等文件格式,支持 12+语言互译。

免费翻译文档

深度研究

AI帮你快速写综述,25分钟生成高质量综述,智能提取关键信息,辅助科研写作。

立即免费体验

GRP75 通过激活 JNK/c-JUN 信号通路上调 HMGA1 促进 I 期肺腺癌的进展。

GRP75-mediated upregulation of HMGA1 stimulates stage I lung adenocarcinoma progression by activating JNK/c-JUN signaling.

机构信息

Department of Thoracic Surgery, Daping Hospital, Army Medical University, Chongqing, China.

College of Pulmonary and Critical Care Medicine, Chinese PLA General Hospital, Beijing, China.

出版信息

Thorac Cancer. 2021 May;12(10):1558-1569. doi: 10.1111/1759-7714.13944. Epub 2021 Mar 23.

DOI:10.1111/1759-7714.13944
PMID:33755320
原文链接:https://pmc.ncbi.nlm.nih.gov/articles/PMC8107037/
Abstract

BACKGROUND

Recurrence is a major challenge in early-stage lung adenocarcinoma (LUAD) treatment. Here, we investigated the role and mechanism of high-mobility group AT-hook 1 (HMGA1) and glucose-regulated protein 75-kDa (GRP75) in stage I LUAD and evaluated their potential as biomarkers for predicting the recurrence and prognosis of stage I LUAD.

METHODS

The TCGA dataset was used to investigate the clinical significance of HMGA1 and GRP75 in early-stage LUAD. The biological functions of HMGA1 and GRP75 in LUAD were investigated both in vitro and in vivo through overexpression and knockdown experiments. The interaction and regulation between HMGA1 and GRP75 were evaluated with coimmunoprecipitation and ubiquitination assays. The downstream signaling pathway of the GRP75/HMGA1 axis was investigated by mRNA-sequencing analysis.

RESULTS

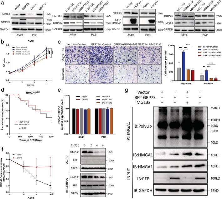
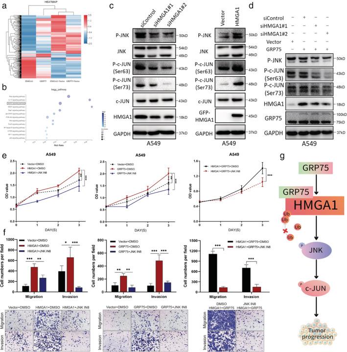
Both HMGA1 expression levels and GRP75 expression levels were associated with recurrence in stage I LUAD patients. In particular, HMGA1 had potential as an independent prognostic factor in stage I LUAD patients. Overexpression of GRP75 or HMGA1 significantly stimulated LUAD cell growth and metastasis, while silencing GRP75 or HMGA1 inhibited LUAD cell growth and metastasis in vitro and in vivo. Importantly, GRP75 inhibited ubiquitination-mediated HMGA1 degradation by directly binding to HMGA1, thereby causes HMGA1 upregulation in LUAD. In addition, the GRP75/HMGA1 axis played its role by activating JNK/c-JUN signaling in LUAD.

CONCLUSIONS

The activation of GRP75/HMGA1/JNK/c-JUN signaling is an important mechanism that promotes the progression of stage I LUAD, and a high level of HMGA1 is a novel biomarker for predicting recurrence and a poor prognosis in stage I LUAD patients.

摘要

背景

复发是早期肺腺癌(LUAD)治疗的主要挑战。在这里,我们研究了高迁移率族 AT 钩蛋白 1(HMGA1)和葡萄糖调节蛋白 75kDa(GRP75)在 I 期 LUAD 中的作用和机制,并评估了它们作为预测 I 期 LUAD 复发和预后的生物标志物的潜力。

方法

使用 TCGA 数据集研究 HMGA1 和 GRP75 在早期 LUAD 中的临床意义。通过过表达和敲低实验,在体外和体内研究了 HMGA1 和 GRP75 在 LUAD 中的生物学功能。通过免疫共沉淀和泛素化测定评估了 HMGA1 和 GRP75 之间的相互作用和调节。通过 mRNA 测序分析研究了 GRP75/HMGA1 轴的下游信号通路。

结果

HMGA1 表达水平和 GRP75 表达水平均与 I 期 LUAD 患者的复发相关。特别是,HMGA1 可能是 I 期 LUAD 患者的独立预后因素。过表达 GRP75 或 HMGA1 显著刺激 LUAD 细胞生长和转移,而沉默 GRP75 或 HMGA1 则抑制 LUAD 细胞在体外和体内的生长和转移。重要的是,GRP75 通过直接与 HMGA1 结合抑制泛素化介导的 HMGA1 降解,从而导致 LUAD 中 HMGA1 的上调。此外,GRP75/HMGA1 轴通过激活 LUAD 中的 JNK/c-JUN 信号发挥作用。

结论

GRP75/HMGA1/JNK/c-JUN 信号的激活是促进 I 期 LUAD 进展的重要机制,高水平的 HMGA1 是预测 I 期 LUAD 患者复发和预后不良的新生物标志物。

https://cdn.ncbi.nlm.nih.gov/pmc/blobs/1cb9/8107037/a10811492fa5/TCA-12-1558-g001.jpg
https://cdn.ncbi.nlm.nih.gov/pmc/blobs/1cb9/8107037/ce650bebdfa3/TCA-12-1558-g005.jpg
https://cdn.ncbi.nlm.nih.gov/pmc/blobs/1cb9/8107037/1d0d4d1969bd/TCA-12-1558-g002.jpg
https://cdn.ncbi.nlm.nih.gov/pmc/blobs/1cb9/8107037/99a18168a325/TCA-12-1558-g007.jpg
https://cdn.ncbi.nlm.nih.gov/pmc/blobs/1cb9/8107037/739577301a99/TCA-12-1558-g006.jpg
https://cdn.ncbi.nlm.nih.gov/pmc/blobs/1cb9/8107037/83804a923ba4/TCA-12-1558-g003.jpg
https://cdn.ncbi.nlm.nih.gov/pmc/blobs/1cb9/8107037/a10811492fa5/TCA-12-1558-g001.jpg
https://cdn.ncbi.nlm.nih.gov/pmc/blobs/1cb9/8107037/ce650bebdfa3/TCA-12-1558-g005.jpg
https://cdn.ncbi.nlm.nih.gov/pmc/blobs/1cb9/8107037/1d0d4d1969bd/TCA-12-1558-g002.jpg
https://cdn.ncbi.nlm.nih.gov/pmc/blobs/1cb9/8107037/99a18168a325/TCA-12-1558-g007.jpg
https://cdn.ncbi.nlm.nih.gov/pmc/blobs/1cb9/8107037/739577301a99/TCA-12-1558-g006.jpg
https://cdn.ncbi.nlm.nih.gov/pmc/blobs/1cb9/8107037/83804a923ba4/TCA-12-1558-g003.jpg
https://cdn.ncbi.nlm.nih.gov/pmc/blobs/1cb9/8107037/a10811492fa5/TCA-12-1558-g001.jpg

相似文献

1
GRP75-mediated upregulation of HMGA1 stimulates stage I lung adenocarcinoma progression by activating JNK/c-JUN signaling.GRP75 通过激活 JNK/c-JUN 信号通路上调 HMGA1 促进 I 期肺腺癌的进展。
Thorac Cancer. 2021 May;12(10):1558-1569. doi: 10.1111/1759-7714.13944. Epub 2021 Mar 23.
2
RHOV promotes lung adenocarcinoma cell growth and metastasis through JNK/c-Jun pathway.RHOV 通过 JNK/c-Jun 通路促进肺腺癌细胞的生长和转移。
Int J Biol Sci. 2021 Jun 22;17(10):2622-2632. doi: 10.7150/ijbs.59939. eCollection 2021.
3
TFAP2A activates HMGA1 to promote glycolysis and lung adenocarcinoma progression.TFAP2A 通过激活 HMGA1 促进糖酵解和肺腺癌的进展。
Pathol Res Pract. 2023 Sep;249:154759. doi: 10.1016/j.prp.2023.154759. Epub 2023 Aug 9.
4
TMEM9 promotes lung adenocarcinoma progression via activating the MEK/ERK/STAT3 pathway to induce VEGF expression.跨膜蛋白9(TMEM9)通过激活MEK/ERK/STAT3信号通路诱导血管内皮生长因子(VEGF)表达,从而促进肺腺癌进展。
Cell Death Dis. 2024 Apr 25;15(4):295. doi: 10.1038/s41419-024-06669-8.
5
HIF-1ɑ-regulated miR-1275 maintains stem cell-like phenotypes and promotes the progression of LUAD by simultaneously activating Wnt/β-catenin and Notch signaling.HIF-1α 调控的 miR-1275 通过同时激活 Wnt/β-catenin 和 Notch 信号通路来维持肺癌干细胞样表型并促进 LUAD 的进展。
Theranostics. 2020 Jan 22;10(6):2553-2570. doi: 10.7150/thno.41120. eCollection 2020.
6
Knockdown of miR-1293 attenuates lung adenocarcinoma angiogenesis via Spry4 upregulation-mediated ERK1/2 signaling inhibition.敲低 miR-1293 通过上调 Spry4 抑制 ERK1/2 信号通路减轻肺腺癌血管生成。
Biochem Pharmacol. 2024 Aug;226:116414. doi: 10.1016/j.bcp.2024.116414. Epub 2024 Jul 6.
7
LPCAT1 promotes brain metastasis of lung adenocarcinoma by up-regulating PI3K/AKT/MYC pathway.LPCAT1 通过上调 PI3K/AKT/MYC 通路促进肺腺癌脑转移。
J Exp Clin Cancer Res. 2019 Feb 21;38(1):95. doi: 10.1186/s13046-019-1092-4.
8
PRMT6 serves an oncogenic role in lung adenocarcinoma via regulating p18.PRMT6 在肺腺癌中通过调节 p18 发挥致癌作用。
Mol Med Rep. 2020 Oct;22(4):3161-3172. doi: 10.3892/mmr.2020.11402. Epub 2020 Aug 3.
9
UBE2T promotes stage I lung adenocarcinoma progression through PBX1 ubiquitination and PBX1/RORA regulation.UBE2T 通过泛素化 PBX1 和 PBX1/RORA 调控促进 I 期肺腺癌进展。
BMC Cancer. 2024 Sep 18;24(1):1158. doi: 10.1186/s12885-024-12887-2.
10
Synaptotagmin 12 (SYT12) Gene Expression Promotes Cell Proliferation and Progression of Lung Adenocarcinoma and Involves the Phosphoinositide 3-Kinase (PI3K)/AKT/Mammalian Target of Rapamycin (mTOR) Pathway.突触结合蛋白 12(SYT12)基因表达促进肺腺癌的细胞增殖和进展,并涉及磷酸肌醇 3-激酶(PI3K)/蛋白激酶 B(AKT)/雷帕霉素靶蛋白(mTOR)通路。
Med Sci Monit. 2020 Feb 28;26:e920351. doi: 10.12659/MSM.920351.

引用本文的文献

1
A bird's eye view of mitochondrial unfolded protein response in cancer: mechanisms, progression and further applications.鸟瞰肿瘤中线粒体未折叠蛋白反应:机制、进展与进一步应用。
Cell Death Dis. 2024 Sep 11;15(9):667. doi: 10.1038/s41419-024-07049-y.
2
The GJB3 correlates with the prognosis, immune cell infiltration, and therapeutic responses in lung adenocarcinoma.GJB3与肺腺癌的预后、免疫细胞浸润及治疗反应相关。
Open Med (Wars). 2024 Aug 10;19(1):20240974. doi: 10.1515/med-2024-0974. eCollection 2024.
3
Downregulated CDK10 promotes cancer progression and radioresistance in lung cancer through activating the JNK/c-Jun signaling pathway.

本文引用的文献

1
Mediates the RASSF1A/JNK Pathway, Thereby Promoting Postoperative Recurrence in Nude Mice with Liver Cancer.介导RASSF1A/JNK信号通路,从而促进肝癌裸鼠术后复发。
Onco Targets Ther. 2020 Jul 10;13:6767-6776. doi: 10.2147/OTT.S243651. eCollection 2020.
2
The protein kinase MAP3K19 phosphorylates MAP2Ks and thereby activates ERK and JNK kinases and increases viability of KRAS-mutant lung cancer cells.蛋白激酶 MAP3K19 磷酸化 MAP2Ks,从而激活 ERK 和 JNK 激酶,并增加 KRAS 突变型肺癌细胞的活力。
J Biol Chem. 2020 Jun 19;295(25):8470-8479. doi: 10.1074/jbc.RA119.012365. Epub 2020 Apr 30.
3
Targeting MAPK Signaling in Cancer: Mechanisms of Drug Resistance and Sensitivity.
下调的 CDK10 通过激活 JNK/c-Jun 信号通路促进肺癌的癌症进展和放射抵抗。
BMB Rep. 2024 Jul;57(7):336-341. doi: 10.5483/BMBRep.2024-0036.
4
The roles of protein ubiquitination in tumorigenesis and targeted drug discovery in lung cancer.蛋白质泛素化在肿瘤发生中的作用及其在肺癌靶向药物发现中的应用。
Front Endocrinol (Lausanne). 2023 Sep 19;14:1220108. doi: 10.3389/fendo.2023.1220108. eCollection 2023.
5
GRP75 Modulates Endoplasmic Reticulum-Mitochondria Coupling and Accelerates Ca-Dependent Endothelial Cell Apoptosis in Diabetic Retinopathy.GRP75 调节内质网-线粒体偶联并加速糖尿病视网膜病变中钙依赖性内皮细胞凋亡。
Biomolecules. 2022 Nov 29;12(12):1778. doi: 10.3390/biom12121778.
6
Integrated single-cell and transcriptome sequencing analyses determines a chromatin regulator-based signature for evaluating prognosis in lung adenocarcinoma.整合单细胞和转录组测序分析确定了一种基于染色质调节因子的特征用于评估肺腺癌的预后。
Front Oncol. 2022 Oct 17;12:1031728. doi: 10.3389/fonc.2022.1031728. eCollection 2022.
7
Identification of Master Regulators Driving Disease Progression, Relapse, and Drug Resistance in Lung Adenocarcinoma.驱动肺腺癌疾病进展、复发和耐药的主调控因子的鉴定
Front Bioinform. 2022 Jan 28;2:813960. doi: 10.3389/fbinf.2022.813960. eCollection 2022.
8
The pivotal regulatory factor circBRWD1 inhibits arsenic exposure-induced lung cancer occurrence by binding mRNA and regulating its stability.关键调控因子circBRWD1通过结合mRNA并调节其稳定性来抑制砷暴露诱导的肺癌发生。
Mol Ther Oncolytics. 2022 Aug 23;26:399-412. doi: 10.1016/j.omto.2022.08.006. eCollection 2022 Sep 15.
9
High Mobility Group A1 (HMGA1): Structure, Biological Function, and Therapeutic Potential.高迁移率族蛋白 A1(HMGA1):结构、生物学功能和治疗潜力。
Int J Biol Sci. 2022 Jul 4;18(11):4414-4431. doi: 10.7150/ijbs.72952. eCollection 2022.
10
Correlation with Spectral CT Imaging Parameters and Occult Lymph Nodes Metastases in Sufferers with Isolated Lung Adenocarcinoma.孤立性肺腺癌患者的 CT 能谱成像参数与隐匿性淋巴结转移的相关性。
Contrast Media Mol Imaging. 2022 Jun 25;2022:5472446. doi: 10.1155/2022/5472446. eCollection 2022.
靶向癌症中的 MAPK 信号通路:药物耐药性和敏感性的机制。
Int J Mol Sci. 2020 Feb 7;21(3):1102. doi: 10.3390/ijms21031102.
4
Evolving paradigms on the interplay of mitochondrial Hsp70 chaperone system in cell survival and senescence.线粒体 Hsp70 伴侣系统在细胞存活和衰老中的相互作用的不断变化的范式。
Crit Rev Biochem Mol Biol. 2019 Dec;54(6):517-536. doi: 10.1080/10409238.2020.1718062. Epub 2020 Jan 30.
5
The Prominent Role of HMGA Proteins in the Early Management of Gastrointestinal Cancers.HMGA 蛋白在胃肠道癌的早期管理中的突出作用。
Biomed Res Int. 2019 Oct 13;2019:2059516. doi: 10.1155/2019/2059516. eCollection 2019.
6
Mortalin (GRP75/HSPA9) Promotes Survival and Proliferation of Thyroid Carcinoma Cells.线粒体蛋白(GRP75/HSPA9)促进甲状腺癌细胞的存活和增殖。
Int J Mol Sci. 2019 Apr 26;20(9):2069. doi: 10.3390/ijms20092069.
7
Mortalin is a distinct bio-marker and prognostic factor in serous ovarian carcinoma.线粒体蛋白是浆液性卵巢癌的一个独特的生物标志物和预后因素。
Gene. 2019 May 15;696:63-71. doi: 10.1016/j.gene.2019.02.033. Epub 2019 Feb 15.
8
HMGA1 in cancer: Cancer classification by location.HMGA1 在癌症中的作用:基于位置的癌症分类。
J Cell Mol Med. 2019 Apr;23(4):2293-2302. doi: 10.1111/jcmm.14082. Epub 2019 Jan 7.
9
The biology and management of non-small cell lung cancer.非小细胞肺癌的生物学特性与治疗管理。
Nature. 2018 Jan 24;553(7689):446-454. doi: 10.1038/nature25183.
10
TIMER: A Web Server for Comprehensive Analysis of Tumor-Infiltrating Immune Cells.TIMER:用于肿瘤浸润免疫细胞综合分析的网络服务器。
Cancer Res. 2017 Nov 1;77(21):e108-e110. doi: 10.1158/0008-5472.CAN-17-0307.