Suppr超能文献

单孔腹腔镜手术治疗累及阑尾及淋巴结的回肠子宫内膜异位症所致小肠梗阻:1例报告并文献复习

Small Bowel Obstruction Caused by Ileal Endometriosis with Appendiceal and Lymph Node Involvement Treated with Single-Incision Laparoscopic Surgery: A Case Report and Review of the Literature.

作者信息

Koyama Ryota, Aiyama Takeshi, Yokoyama Ryoji, Nakano Shiro

机构信息

Department of Surgery, Abashiri-Kosei General Hospital, Abashiri, Hokkaido, Japan.

出版信息

Am J Case Rep. 2021 Mar 23;22:e930141. doi: 10.12659/AJCR.930141.

Abstract

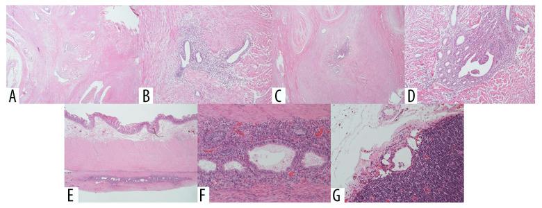
BACKGROUND Endometriosis is an ectopic proliferation of endometrial glands and interstitium outside the uterus. It usually affects the organs surrounding the uterus, and less often, involvement of extrapelvic organs, such as the intestines and urinary tract, is observed. CASE REPORT A 40-year-old woman had been experiencing intermittent right lower abdominal pain for years, which worsened months earlier. The patient was admitted for the worst pain ever accompanying nausea and vomiting. Contrast-enhanced computed tomography revealed a heterogeneously enhanced lesion that measured approximately 50×25×35 mm, and a caliber change of the ileum at the same site with dilated small bowel proximal to the caliber change were observed. Colonoscopy revealed that the ileocecal valve and the lumen of the terminal ileum protruded inward, suggesting an extramural compression by the lesion. Since the patient showed no improvement following conservative therapy, bowel resection through a single-incision laparoscopic surgery was successfully performed. Histopathological exploration showed patchy infiltration of endometrium-like tissues in the muscularis propria and subserosa layers of the ileum and appendix. Moreover, nearby lymph nodes resected for their firmness showed similar findings. CONCLUSIONS We report a case of recurrent intestinal obstruction due to ileal and appendiceal endometriosis with lymph node involvement, which was successfully treated by single-incision laparoscopic surgery. Careful follow-up is important because the prognosis for the intestinal endometriosis with lymph node involvement is still unclear.

摘要

背景

子宫内膜异位症是子宫内膜腺体和间质在子宫外的异位增生。它通常影响子宫周围的器官,较少见的是观察到盆腔外器官受累,如肠道和泌尿道。

病例报告

一名40岁女性多年来一直经历间歇性右下腹疼痛,数月前疼痛加重。患者因有史以来最严重的疼痛伴恶心和呕吐入院。增强计算机断层扫描显示一个大小约为50×25×35 mm的不均匀强化病变,并观察到同一部位回肠的管径变化以及管径变化近端小肠扩张。结肠镜检查显示回盲瓣和回肠末端管腔向内突出,提示病变引起肠壁外压迫。由于患者在保守治疗后无改善,通过单孔腹腔镜手术成功进行了肠切除术。组织病理学检查显示回肠和阑尾固有肌层和浆膜下层有散在的子宫内膜样组织浸润。此外,因质地坚硬而切除的附近淋巴结也有类似发现。

结论

我们报告一例因回肠和阑尾子宫内膜异位症伴淋巴结受累导致复发性肠梗阻的病例,该病例通过单孔腹腔镜手术成功治疗。由于伴有淋巴结受累的肠道子宫内膜异位症的预后仍不清楚,仔细的随访很重要。

https://cdn.ncbi.nlm.nih.gov/pmc/blobs/3630/8006474/7767fd98f2b3/amjcaserep-22-e930141-g002.jpg

文献AI研究员

20分钟写一篇综述,助力文献阅读效率提升50倍。

立即体验

用中文搜PubMed

大模型驱动的PubMed中文搜索引擎

马上搜索

文档翻译

学术文献翻译模型,支持多种主流文档格式。

立即体验