• 文献检索
  • 文档翻译
  • 深度研究
  • 学术资讯
  • Suppr Zotero 插件Zotero 插件
  • 邀请有礼
  • 套餐&价格
  • 历史记录
应用&插件
Suppr Zotero 插件Zotero 插件浏览器插件Mac 客户端Windows 客户端微信小程序
定价
高级版会员购买积分包购买API积分包
服务
文献检索文档翻译深度研究API 文档MCP 服务
关于我们
关于 Suppr公司介绍联系我们用户协议隐私条款
关注我们

Suppr 超能文献

核心技术专利:CN118964589B侵权必究
粤ICP备2023148730 号-1Suppr @ 2026

文献检索

告别复杂PubMed语法,用中文像聊天一样搜索,搜遍4000万医学文献。AI智能推荐,让科研检索更轻松。

立即免费搜索

文件翻译

保留排版,准确专业,支持PDF/Word/PPT等文件格式,支持 12+语言互译。

免费翻译文档

深度研究

AI帮你快速写综述,25分钟生成高质量综述,智能提取关键信息,辅助科研写作。

立即免费体验

应激性心肌病导致的心源性休克中的动态左心室流出道梗阻。

Dynamic left ventricular outflow tract obstruction in Takotsubo cardiomyopathy resulting in cardiogenic shock.

作者信息

Conradi Paulina M, van Loon Ramon B, Handoko M Louis

机构信息

Cardiology, Amsterdam UMC, Amsterdam, Noord-Holland, The Netherlands.

Cardiology, Amsterdam UMC, Amsterdam, Noord-Holland, The Netherlands

出版信息

BMJ Case Rep. 2021 Mar 24;14(3):e240010. doi: 10.1136/bcr-2020-240010.

DOI:10.1136/bcr-2020-240010
PMID:33762278
原文链接:https://pmc.ncbi.nlm.nih.gov/articles/PMC7993169/
Abstract

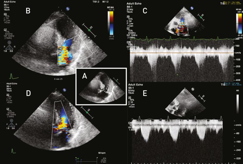
We report a case of a 73-year-old female patient, who was admitted to the coronary care unit due to chest pain, malaise and near syncope. During physical examination, the patient was hypotensive and there were signs of left-sided heart failure and a loud systolic murmur. Echocardiogram showed apical ballooning with dynamic left ventricular outflow tract obstruction, based on systolic anterior motion of the mitral valve with important mitral valve regurgitation. In the acute setting, the cardiogenic shock was treated cautiously with fluid resuscitation and intravenous metoprolol, resulting in direct stabilisation of her haemodynamic condition. As a codiagnosis, there was a significant stenosis of left anterior descending artery, which was treated successfully by percutaneous coronary intervention with drug eluting stents. During follow-up, left ventricular function normalised, and the left ventricular outflow tract obstruction, systolic anterior motion of mitral valve and related mitral regurgitation all resolved.

摘要

我们报告一例73岁女性患者,因胸痛、不适和接近晕厥入住冠心病监护病房。体格检查时,患者血压低,有左侧心力衰竭体征及响亮的收缩期杂音。超声心动图显示心尖部气球样变并伴有动态左心室流出道梗阻,这是基于二尖瓣收缩期前向运动伴严重二尖瓣反流。在急性期,谨慎地通过液体复苏和静脉注射美托洛尔治疗心源性休克,使她的血流动力学状况直接稳定。作为合并诊断,左前降支存在严重狭窄,通过药物洗脱支架经皮冠状动脉介入治疗成功。随访期间,左心室功能恢复正常,左心室流出道梗阻、二尖瓣收缩期前向运动及相关二尖瓣反流均消失。

https://cdn.ncbi.nlm.nih.gov/pmc/blobs/9b25/7993169/c8daa5e33eb7/bcr-2020-240010f04.jpg
https://cdn.ncbi.nlm.nih.gov/pmc/blobs/9b25/7993169/d9eb32544d5e/bcr-2020-240010f01.jpg
https://cdn.ncbi.nlm.nih.gov/pmc/blobs/9b25/7993169/2c4414368f2f/bcr-2020-240010f02.jpg
https://cdn.ncbi.nlm.nih.gov/pmc/blobs/9b25/7993169/372803e8e084/bcr-2020-240010f03.jpg
https://cdn.ncbi.nlm.nih.gov/pmc/blobs/9b25/7993169/c8daa5e33eb7/bcr-2020-240010f04.jpg
https://cdn.ncbi.nlm.nih.gov/pmc/blobs/9b25/7993169/d9eb32544d5e/bcr-2020-240010f01.jpg
https://cdn.ncbi.nlm.nih.gov/pmc/blobs/9b25/7993169/2c4414368f2f/bcr-2020-240010f02.jpg
https://cdn.ncbi.nlm.nih.gov/pmc/blobs/9b25/7993169/372803e8e084/bcr-2020-240010f03.jpg
https://cdn.ncbi.nlm.nih.gov/pmc/blobs/9b25/7993169/c8daa5e33eb7/bcr-2020-240010f04.jpg

相似文献

1
Dynamic left ventricular outflow tract obstruction in Takotsubo cardiomyopathy resulting in cardiogenic shock.应激性心肌病导致的心源性休克中的动态左心室流出道梗阻。
BMJ Case Rep. 2021 Mar 24;14(3):e240010. doi: 10.1136/bcr-2020-240010.
2
Apical ballooning syndrome complicated by acute severe mitral regurgitation with left ventricular outflow obstruction--case report.心尖部气球样变综合征合并急性重度二尖瓣反流伴左心室流出道梗阻——病例报告
J Cardiothorac Surg. 2007 Feb 21;2:14. doi: 10.1186/1749-8090-2-14.
3
Takotsubo Cardiomyopathy Complicated by Cardiogenic Shock Secondary to Left Ventricular Outflow Tract Obstruction and Severe Mitral Regurgitation.应激性心肌病合并心源性休克,继发于左心室流出道梗阻和严重二尖瓣反流。
Cardiovasc Revasc Med. 2021 Jul;28S:236-238. doi: 10.1016/j.carrev.2021.03.009. Epub 2021 Mar 20.
4
Haemodynamic effects of acute intravenous landiolol in Takotsubo cardiomyopathy with dynamic left ventricular outflow tract obstruction.急性静脉注射兰地洛尔对伴有动态左心室流出道梗阻的应激性心肌病的血流动力学影响。
BMJ Case Rep. 2023 Oct 16;16(10):e255987. doi: 10.1136/bcr-2023-255987.
5
Haemodynamic effects of acute intravenous metoprolol in apical ballooning syndrome with dynamic left ventricular outflow tract obstruction.急性静脉注射美托洛尔对伴有动态左心室流出道梗阻的心尖球囊综合征的血液动力学影响。
Eur J Heart Fail. 2010 Mar;12(3):305-8. doi: 10.1093/eurjhf/hfp205. Epub 2010 Jan 22.
6
Opposing forces of cardiogenic shock: left ventricular outflow obstruction, severe mitral regurgitation, and left ventricular dysfunction in Takotsubo cardiomyopathy.导致心原性休克的对立因素:Takotsubo 心肌病中的左心室流出道梗阻、严重二尖瓣反流和左心室功能障碍。
ESC Heart Fail. 2022 Aug;9(4):2719-2723. doi: 10.1002/ehf2.13936. Epub 2022 May 6.
7
An unusual manifestation of Takotsubo cardiomyopathy.应激性心肌病的一种不寻常表现。
Clin Cardiol. 2008 May;31(5):194-200. doi: 10.1002/clc.20212.
8
Impella in Takotsubo syndrome complicated by left ventricular outflow tract obstruction and severe mitral regurgitation.Impella 在因左心室流出道梗阻和严重二尖瓣反流而并发的 Takotsubo 综合征中的应用。
ESC Heart Fail. 2020 Feb;7(1):306-310. doi: 10.1002/ehf2.12546. Epub 2020 Jan 3.
9
Syndrome of Reversible Cardiogenic Shock and Left Ventricular Ballooning in Obstructive Hypertrophic Cardiomyopathy.梗阻性肥厚型心肌病中的可逆性心原性休克和左心室球囊样综合征。
J Am Heart Assoc. 2021 Oct 19;10(20):e021141. doi: 10.1161/JAHA.121.021141. Epub 2021 Oct 12.
10
Transient left ventricular outflow tract obstruction with systolic anterior motion of the mitral valve: A stunning cause.伴有二尖瓣收缩期前向运动的短暂性左心室流出道梗阻:一个惊人的病因。
Echocardiography. 2017 Jul;34(7):1089-1091. doi: 10.1111/echo.13553. Epub 2017 May 12.

引用本文的文献

1
Peripartum takotsubo cardiomyopathy after an emergency Caesarean delivery-diagnosis and specialist management.急诊剖宫产术后围产期应激性心肌病——诊断与专科管理
BJA Open. 2025 Jul 25;15:100478. doi: 10.1016/j.bjao.2025.100478. eCollection 2025 Sep.
2
Silent Threats of the Heart: A Case Series and Narrative Review on Suicide Left Ventricle Post-Aortic Valve Replacement in Patients with Dynamic LVOT Obstruction and Aortic Stenosis.心脏的隐匿威胁:动态左心室流出道梗阻和主动脉瓣狭窄患者主动脉瓣置换术后自杀性左心室的病例系列及叙述性综述
J Clin Med. 2024 Sep 19;13(18):5555. doi: 10.3390/jcm13185555.
3
Incidence of Takotsubo cardiomyopathy in patients with acute coronary syndrome: a single center retrospective analysis.

本文引用的文献

1
Impella Use in Cardiogenic Shock Due to Takotsubo Cardiomyopathy With Left Ventricular Outflow Tract Obstruction.因Takotsubo心肌病伴左心室流出道梗阻导致的心源性休克中使用Impella
JACC Case Rep. 2019 Aug 21;1(2):161-165. doi: 10.1016/j.jaccas.2019.06.022. eCollection 2019 Aug.
2
Cardiogenic Shock in Takotsubo Cardiomyopathy Versus Acute Myocardial Infarction: An 8-Year National Perspective on Clinical Characteristics, Management, and Outcomes.心尖球形综合征与急性心肌梗死所致心原性休克的临床特征、处理和预后的 8 年全国性观察研究
JACC Heart Fail. 2019 Jun;7(6):469-476. doi: 10.1016/j.jchf.2018.12.007. Epub 2019 May 8.
3
急性冠状动脉综合征患者中Takotsubo心肌病的发病率:一项单中心回顾性分析
Egypt Heart J. 2024 Aug 26;76(1):112. doi: 10.1186/s43044-024-00542-x.
4
Norepinephrine and Dobutamine-Induced Dynamic Left Ventricular Outflow Tract Obstruction Caused by Systolic Anterior Motion.去甲肾上腺素和多巴酚丁胺诱发的收缩期前向运动导致的动态左心室流出道梗阻
J Med Cases. 2024 May;15(4-5):67-71. doi: 10.14740/jmc4204. Epub 2024 May 2.
5
Overcoming the Obstacle of Suicide Left Ventricle After Transcatheter Aortic Valve Replacement Phenomenon.经导管主动脉瓣置换术后克服自杀性左心室现象的障碍
JACC Case Rep. 2023 Oct 12;26:102065. doi: 10.1016/j.jaccas.2023.102065. eCollection 2023 Nov 15.
6
Transcatheter interventions for left-sided valvular heart disease complicated by cardiogenic shock: a consensus statement from the European Association of Percutaneous Cardiovascular Interventions (EAPCI) in collaboration with the Association for Acute Cardiovascular Care (ACVC) and the ESC Working Group on Cardiovascular Surgery.经导管介入治疗左心瓣膜性心脏病合并心源性休克:欧洲经皮心血管介入学会(EAPCI)与急性心血管护理协会(ACVC)和 ESC 心血管外科学工作组合作的共识声明。
EuroIntervention. 2023 Oct 23;19(8):634-651. doi: 10.4244/EIJ-D-23-00473.
7
Opposing forces of cardiogenic shock: left ventricular outflow obstruction, severe mitral regurgitation, and left ventricular dysfunction in Takotsubo cardiomyopathy.导致心原性休克的对立因素:Takotsubo 心肌病中的左心室流出道梗阻、严重二尖瓣反流和左心室功能障碍。
ESC Heart Fail. 2022 Aug;9(4):2719-2723. doi: 10.1002/ehf2.13936. Epub 2022 May 6.
8
Takotsubo Syndrome: Translational Implications and Pathomechanisms.心尖球形综合征:转化意义与病理机制。
Int J Mol Sci. 2022 Feb 10;23(4):1951. doi: 10.3390/ijms23041951.
9
The Value of Fetuin-A as a Predictor to Identify Takotsubo Patients at Risk of Cardiovascular Events.胎球蛋白-A作为预测指标在识别Takotsubo综合征患者心血管事件风险中的价值
J Cardiovasc Dev Dis. 2021 Oct 5;8(10):127. doi: 10.3390/jcdd8100127.
Long-Term Prognosis and Outcome Predictors in Takotsubo Syndrome: A Systematic Review and Meta-Regression Study.
Takotsubo 综合征的长期预后和结局预测因素:系统评价和荟萃回归研究。
JACC Heart Fail. 2019 Feb;7(2):143-154. doi: 10.1016/j.jchf.2018.10.009. Epub 2019 Jan 2.
4
Stress Cardiomyopathy Diagnosis and Treatment: JACC State-of-the-Art Review.应激性心肌病的诊断与治疗:美国心脏病学会心血管造影及介入治疗学会最新临床观点。
J Am Coll Cardiol. 2018 Oct 16;72(16):1955-1971. doi: 10.1016/j.jacc.2018.07.072.
5
International Expert Consensus Document on Takotsubo Syndrome (Part I): Clinical Characteristics, Diagnostic Criteria, and Pathophysiology.国际 Takotsubo 综合征专家共识文件(第一部分):临床特征、诊断标准和病理生理学。
Eur Heart J. 2018 Jun 7;39(22):2032-2046. doi: 10.1093/eurheartj/ehy076.
6
International Expert Consensus Document on Takotsubo Syndrome (Part II): Diagnostic Workup, Outcome, and Management.国际 Takotsubo 综合征专家共识文件(第二部分):诊断检查、预后和管理。
Eur Heart J. 2018 Jun 7;39(22):2047-2062. doi: 10.1093/eurheartj/ehy077.
7
Syncope and cardiogenic shock in an 80-year-old woman.一名80岁女性的晕厥与心源性休克
BMJ Case Rep. 2018 Feb 16;2018:bcr-2017-223924. doi: 10.1136/bcr-2017-223924.
8
Pathophysiology of Takotsubo Syndrome.Takotsubo 综合征的病理生理学。
Circulation. 2017 Jun 13;135(24):2426-2441. doi: 10.1161/CIRCULATIONAHA.116.027121.
9
Hemodynamic Effects, Safety, and Feasibility of Intravenous Esmolol Infusion During Takotsubo Cardiomyopathy With Left Ventricular Outflow Tract Obstruction: Results From A Multicenter Registry.伴有左心室流出道梗阻的应激性心肌病患者静脉输注艾司洛尔的血流动力学效应、安全性及可行性:一项多中心注册研究结果
Cardiovasc Ther. 2016 Jun;34(3):161-6. doi: 10.1111/1755-5922.12182.
10
Clinical Features and Outcomes of Takotsubo (Stress) Cardiomyopathy.Takotsubo(应激性)心肌病的临床特征和转归。
N Engl J Med. 2015 Sep 3;373(10):929-38. doi: 10.1056/NEJMoa1406761.