Suppr超能文献

格列本脲、三磷酸腺苷和二甲双胍增加人胆汁盐输出泵 ABCB11 的表达。

Glibenclamide, ATP and metformin increases the expression of human bile salt export pump ABCB11.

机构信息

Department of Molecular and Cellular Medicine, Institute of Liver and Biliary Sciences, New Delhi, Delhi, 110070, India.

Department of Life Sciences, South Asian University, New Delhi, Delhi, 110021, India.

出版信息

F1000Res. 2020 Dec 22;9:1497. doi: 10.12688/f1000research.26632.1. eCollection 2020.

Abstract

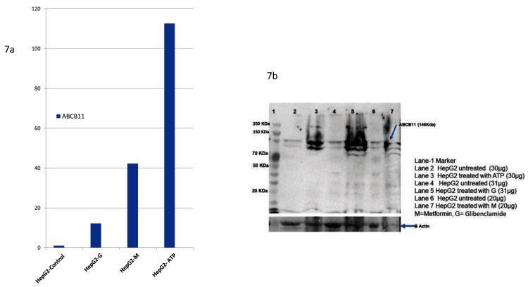
Bile salt export pump (BSEP/ABCB11) is important in the maintenance of the enterohepatic circulation of bile acids and drugs. Drugs such as rifampicin and glibenclamide inhibit BSEP. Progressive familial intrahepatic cholestasis type-2, a lethal pediatric disease, some forms of intrahepatic cholestasis of pregnancy, and drug-induced cholestasis are associated with BSEP dysfunction.  We started with a bioinformatic approach to identify the relationship between ABCB11 and other proteins, microRNAs, and drugs. A microarray data set of the liver samples from ABCB11 knockout mice was analyzed using GEO2R. Differentially expressed gene pathway enrichment analysis was conducted using ClueGo. A protein-protein interaction network was constructed using STRING application in Cytoscape. Networks were analyzed using Cytoscape. CyTargetLinker was used to screen the transcription factors, microRNAs and drugs. Predicted drugs were validated on human liver cell line, HepG2. BSEP expression was quantified by real-time PCR and western blotting. knockout in mice was associated with a predominant upregulation and downregulation of genes associated with cellular component movement and sterol metabolism, respectively. We further identified the hub genes in the network. Genes related to immune activity, cell signaling, and fatty acid metabolism were dysregulated.  We further identified drugs (glibenclamide and ATP) and a total of 14 microRNAs targeting the gene. Western blot and real-time PCR analysis confirmed the upregulation of BSEP on the treatment of HepG2 cells with glibenclamide, ATP, and metformin. The differential expression of cell signaling genes and those related to immune activity in KO animals may be secondary to cell injury. We have found glibenclamide, ATP, and metformin upregulates BSEP. The mechanisms involved and the clinical relevance of these findings need to be investigated.

摘要

胆汁盐输出泵(BSEP/ABCB11)在维持胆汁酸和药物的肠肝循环中起着重要作用。利福平、格列本脲等药物抑制 BSEP。进行性家族性肝内胆汁淤积症 2 型、致命性儿科疾病、某些妊娠肝内胆汁淤积症和药物性胆汁淤积症与 BSEP 功能障碍有关。

我们首先采用生物信息学方法来确定 ABCB11 与其他蛋白质、microRNAs 和药物之间的关系。使用 GEO2R 分析 ABCB11 敲除小鼠肝脏样本的 microarray 数据集。使用 ClueGo 进行差异表达基因通路富集分析。使用 Cytoscape 中的 STRING 应用程序构建蛋白质-蛋白质相互作用网络。使用 Cytoscape 分析网络。使用 CyTargetLinker 筛选转录因子、microRNAs 和药物。预测药物在人肝癌细胞系 HepG2 上进行验证。通过实时 PCR 和 Western blot 定量检测 BSEP 的表达。

小鼠的敲除与与细胞成分运动和固醇代谢相关的基因分别显著上调和下调有关。我们进一步确定了网络中的枢纽基因。与免疫活性、细胞信号和脂肪酸代谢相关的基因失调。我们进一步确定了针对该基因的药物(格列本脲和 ATP)和总共 14 种 microRNAs。Western blot 和实时 PCR 分析证实格列本脲、ATP 和二甲双胍处理 HepG2 细胞可上调 BSEP。KO 动物中细胞信号基因和与免疫活性相关的基因的差异表达可能继发于细胞损伤。我们发现格列本脲、ATP 和二甲双胍可上调 BSEP。需要进一步研究这些发现涉及的机制及其临床相关性。

https://cdn.ncbi.nlm.nih.gov/pmc/blobs/f5f4/7953918/ac2fcb92043f/f1000research-9-29399-g0000.jpg

文献检索

告别复杂PubMed语法,用中文像聊天一样搜索,搜遍4000万医学文献。AI智能推荐,让科研检索更轻松。

立即免费搜索

文件翻译

保留排版,准确专业,支持PDF/Word/PPT等文件格式,支持 12+语言互译。

免费翻译文档

深度研究

AI帮你快速写综述,25分钟生成高质量综述,智能提取关键信息,辅助科研写作。

立即免费体验