Suppr超能文献

首例山羊科氏杆菌引起的尿路感染报告。

First report of urinary tract infection caused by Comamonas kerstersii in a goat.

机构信息

Istituto Zooprofilattico Sperimentale dell'Umbria e delle Marche 'Togo Rosati', Via G. Salvemini, 1, 06126, Perugia, Italy.

出版信息

BMC Vet Res. 2021 Mar 25;17(1):133. doi: 10.1186/s12917-021-02840-x.

Abstract

BACKGROUND

Comamonas kerstersii is rarely associated with infections in humans and has never been reported in animals until now.

CASE PRESENTATION

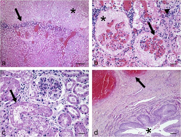
Herein, we describe a case of urinary tract infection caused by C. kerstersii in a young goat. A seven-month-old male goat showed lethargy, generalised weakness and anorexia and in the last hours before its death, severe depression, slight abdominal distention, ruminal stasis, and sternal recumbency. Grossly, multifocal haemorrhages in different organs and tissues, subcutaneous oedema and hydrocele, serous fluid with scattered fibrin deposition on the serosa of the abdominal organs and severe pyelonephritis with multifocal renal infarction were detected. Histopathological examination confirmed severe chronic active pyelonephritis with renal infarcts, multi-organ vasculitis and thrombosis suggestive of an infectious diseases of bacterial origin. The bacterium was identified using routine methods, matrix assisted laser desorption/ionisation time-of-flight mass spectrometry (MALDI-TOF-MS), and sequencing of the gyrB gene.

CONCLUSIONS

To the best of our knowledge, this is the first report of C. kerstersii infection in animals (goat). Our findings support the possibility of C. kerstersii isolation from extraintestinal sites and suggest this organism as a possible cause of urinary tract infection.

摘要

背景

Comamonas kerstersii 很少与人类感染有关,直到现在在动物中也从未有过报道。

病例介绍

本文描述了一例由 C. kerstersii 引起的年轻山羊尿路感染病例。一只七个月大的雄性山羊表现出嗜睡、全身无力和食欲不振,在死亡前的最后几个小时,出现严重抑郁、轻微腹胀、瘤胃停滞和胸骨卧地。大体检查发现,不同器官和组织有多处出血、皮下水肿和鞘膜积液、浆膜上有散在纤维蛋白沉积的浆液性液体以及严重的肾盂肾炎和多处肾梗死。组织病理学检查证实为严重的慢性活动性肾盂肾炎伴肾梗死、多器官脉管炎和血栓形成,提示为细菌性传染病。使用常规方法、基质辅助激光解吸/电离飞行时间质谱(MALDI-TOF-MS)和 gyrB 基因测序鉴定了细菌。

结论

据我们所知,这是首次在动物(山羊)中报告 C. kerstersii 感染。我们的发现支持从肠道外部位分离 C. kerstersii 的可能性,并提示该菌可能是尿路感染的原因之一。

https://cdn.ncbi.nlm.nih.gov/pmc/blobs/9c7b/7992354/4ad567f0d248/12917_2021_2840_Fig1_HTML.jpg

文献检索

告别复杂PubMed语法,用中文像聊天一样搜索,搜遍4000万医学文献。AI智能推荐,让科研检索更轻松。

立即免费搜索

文件翻译

保留排版,准确专业,支持PDF/Word/PPT等文件格式,支持 12+语言互译。

免费翻译文档

深度研究

AI帮你快速写综述,25分钟生成高质量综述,智能提取关键信息,辅助科研写作。

立即免费体验