Suppr超能文献

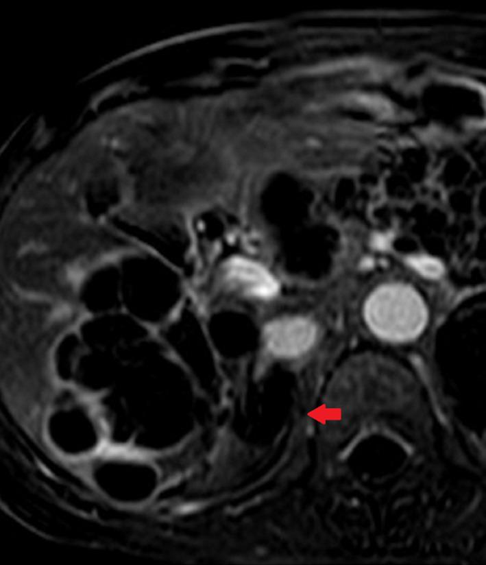
肾上腺动脉栓塞联合射频消融治疗肾上腺嗜铬细胞瘤。

Adrenal pheochromocytoma treated by combination of adrenal arterial embolization and radiofrequency ablation.

作者信息

Kako Yasukazu, Ueki Ryusuke, Yamamoto Shingo, Takaki Haruyuki, Aoki Yoshitaka, Yokoyama Osamu, Yamakado Koichiro

机构信息

Department of Radiology Hyogo College of Medicine Nishinomiya Japan.

Department of Anesthesiology and Pain Medicine Hyogo College of Medicine Nishinomiya Japan.

出版信息

Clin Case Rep. 2021 Jan 5;9(3):1261-1265. doi: 10.1002/ccr3.3745. eCollection 2021 Mar.

Abstract

Combined therapy with adrenal arterial embolization and RF ablation may represent a useful therapeutic option with curative properties in select patients with pheochromocytoma.

摘要

肾上腺动脉栓塞术与射频消融术联合治疗可能是某些嗜铬细胞瘤患者一种具有治愈性的有效治疗选择。

https://cdn.ncbi.nlm.nih.gov/pmc/blobs/ae98/7981655/cd5de79fa71b/CCR3-9-1261-g004.jpg

文献检索

告别复杂PubMed语法,用中文像聊天一样搜索,搜遍4000万医学文献。AI智能推荐,让科研检索更轻松。

立即免费搜索

文件翻译

保留排版,准确专业,支持PDF/Word/PPT等文件格式,支持 12+语言互译。

免费翻译文档

深度研究

AI帮你快速写综述,25分钟生成高质量综述,智能提取关键信息,辅助科研写作。

立即免费体验