• 文献检索
  • 文档翻译
  • 深度研究
  • 学术资讯
  • Suppr Zotero 插件Zotero 插件
  • 邀请有礼
  • 套餐&价格
  • 历史记录
应用&插件
Suppr Zotero 插件Zotero 插件浏览器插件Mac 客户端Windows 客户端微信小程序
定价
高级版会员购买积分包购买API积分包
服务
文献检索文档翻译深度研究API 文档MCP 服务
关于我们
关于 Suppr公司介绍联系我们用户协议隐私条款
关注我们

Suppr 超能文献

核心技术专利:CN118964589B侵权必究
粤ICP备2023148730 号-1Suppr @ 2026

文献检索

告别复杂PubMed语法,用中文像聊天一样搜索,搜遍4000万医学文献。AI智能推荐,让科研检索更轻松。

立即免费搜索

文件翻译

保留排版,准确专业,支持PDF/Word/PPT等文件格式,支持 12+语言互译。

免费翻译文档

深度研究

AI帮你快速写综述,25分钟生成高质量综述,智能提取关键信息,辅助科研写作。

立即免费体验

一种成功的血管内技术用于慢性腹主动脉夹层中完全假腔血栓形成。

A Successful Endovascular Technique for Complete False Lumen Thrombosis in Chronic Abdominal Aortic Dissection.

作者信息

Hiruma Hiromitsu, Ogawa Yukihisa, Chiba Kiyoshi, Maruhashi Takaaki, Kotoku Akiyuki, Mimura Hidefumi, Miyairi Takeshi, Nishimaki Hiroshi

机构信息

Department of Radiology, St. Marianna University School of Medicine, Kawasaki, Kanagawa, Japan.

Department of Cardiovascular Surgery, St. Marianna University School of Medicine, Kawasaki, Kanagawa, Japan.

出版信息

Ann Vasc Dis. 2021 Mar 25;14(1):75-78. doi: 10.3400/avd.cr.20-00163.

DOI:10.3400/avd.cr.20-00163
PMID:33786106
原文链接:https://pmc.ncbi.nlm.nih.gov/articles/PMC7991708/
Abstract

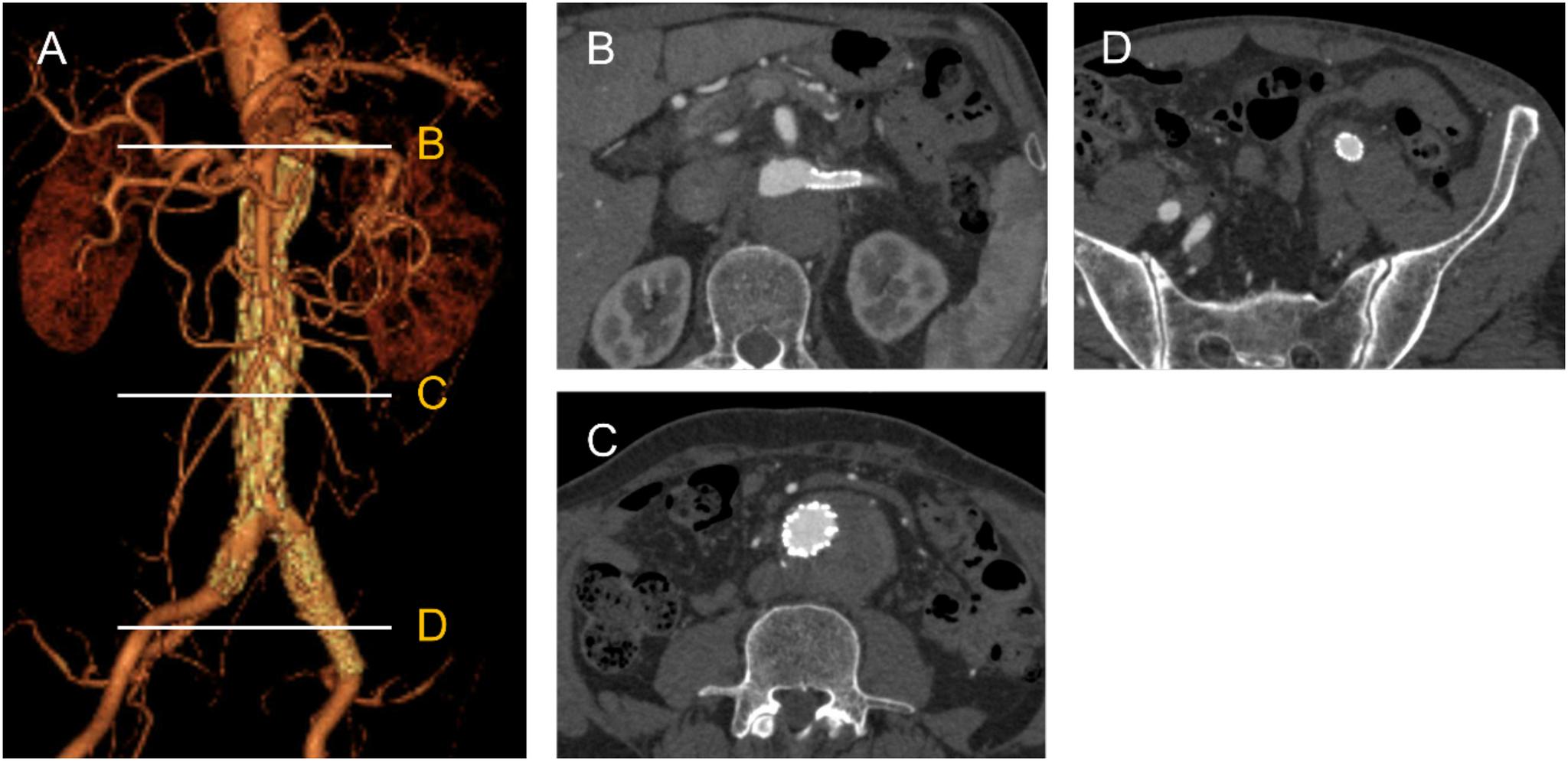
A 66-year-old man presented with an enlarging abdominal aorta false lumen, after type A aortic dissection repair. Residual entries were located at the left renal artery, abdominal aorta, and left external iliac artery. The patient underwent endovascular aortic repair with left renal artery stenting to close the entries. Completion aortography showed no false lumen flow without an endoleak, and contrast-enhanced computed tomography 1 month after the procedure demonstrated complete false lumen thrombosis. A total endovascular approach is possible for abdominal aneurysmal dilation in chronic aortic dissection when all entries can be closed using a one-stage procedure with stent grafts and/or branch stenting.

摘要

一名66岁男性在A型主动脉夹层修复术后出现腹主动脉假腔扩大。残余破口位于左肾动脉、腹主动脉和左髂外动脉。患者接受了血管腔内主动脉修复术并置入左肾动脉支架以封闭破口。术后主动脉造影显示无内漏且假腔内无血流,术后1个月的增强计算机断层扫描显示假腔完全血栓形成。当使用覆膜支架和/或分支支架通过一期手术能够封闭所有破口时,对于慢性主动脉夹层的腹主动脉瘤样扩张采用全血管腔内治疗方法是可行的。

https://cdn.ncbi.nlm.nih.gov/pmc/blobs/b03f/7991708/3414b03d7571/avd-14-1-cr.20-00163-figure04.jpg
https://cdn.ncbi.nlm.nih.gov/pmc/blobs/b03f/7991708/a7c8cff4311d/avd-14-1-cr.20-00163-figure01.jpg
https://cdn.ncbi.nlm.nih.gov/pmc/blobs/b03f/7991708/d52b9452a27c/avd-14-1-cr.20-00163-figure02.jpg
https://cdn.ncbi.nlm.nih.gov/pmc/blobs/b03f/7991708/466f6caa4a31/avd-14-1-cr.20-00163-figure03.jpg
https://cdn.ncbi.nlm.nih.gov/pmc/blobs/b03f/7991708/3414b03d7571/avd-14-1-cr.20-00163-figure04.jpg
https://cdn.ncbi.nlm.nih.gov/pmc/blobs/b03f/7991708/a7c8cff4311d/avd-14-1-cr.20-00163-figure01.jpg
https://cdn.ncbi.nlm.nih.gov/pmc/blobs/b03f/7991708/d52b9452a27c/avd-14-1-cr.20-00163-figure02.jpg
https://cdn.ncbi.nlm.nih.gov/pmc/blobs/b03f/7991708/466f6caa4a31/avd-14-1-cr.20-00163-figure03.jpg
https://cdn.ncbi.nlm.nih.gov/pmc/blobs/b03f/7991708/3414b03d7571/avd-14-1-cr.20-00163-figure04.jpg

相似文献

1
A Successful Endovascular Technique for Complete False Lumen Thrombosis in Chronic Abdominal Aortic Dissection.一种成功的血管内技术用于慢性腹主动脉夹层中完全假腔血栓形成。
Ann Vasc Dis. 2021 Mar 25;14(1):75-78. doi: 10.3400/avd.cr.20-00163.
2
Multiple Re-entry Closures After TEVAR for Ruptured Chronic Post-dissection Thoraco-abdominal Aortic Aneurysm.经胸主动脉腔内修复术(TEVAR)治疗破裂性慢性夹层后胸腹主动脉瘤后的多次再入路封堵术
EJVES Short Rep. 2018 Feb 13;38:15-18. doi: 10.1016/j.ejvssr.2018.01.002. eCollection 2018.
3
Endovascular Aneurysm Repair With Re-entry Closure in a Patient With Abdominal Aortic Aneurysm Concomitant With Acute Type B Aortic Dissection.腹主动脉瘤合并急性B型主动脉夹层患者采用再入路封闭术的血管内动脉瘤修复术
EJVES Vasc Forum. 2020 Mar 9;47:18-21. doi: 10.1016/j.ejvsvf.2020.02.011. eCollection 2020.
4
Predisposing Factors for Migration of the Iliac Limb and Reintervention after Endovascular Abdominal Aortic Aneurysm Repair.腹主动脉瘤腔内修复术后髂支移位及再次干预的相关因素
Ann Vasc Surg. 2019 Aug;59:91-101. doi: 10.1016/j.avsg.2019.01.007. Epub 2019 Apr 19.
5
Hybrid endovascular aorta repair with simultaneous supra-aortic branch or iliac branch revascularization.杂交腔内主动脉修复术联合同期主动脉弓上分支或髂血管分支血运重建。
Chin Med Sci J. 2009 Sep;24(3):182-5. doi: 10.1016/s1001-9294(09)60086-9.
6
Infrarenal aortic repair with or without false lumen intentional placement of endografts for hybrid management of complex aortic dissection.腹主动脉瘤修复术伴或不伴假腔内置入覆膜支架的杂交手术治疗复杂主动脉夹层。
J Vasc Surg. 2018 Jul;68(1):46-54. doi: 10.1016/j.jvs.2017.10.078. Epub 2018 Feb 3.
7
Intercostal artery embolization to induce false lumen thrombosis in type B aortic dissection.肋间动脉栓塞术诱导B型主动脉夹层假腔血栓形成。
J Vasc Surg Cases Innov Tech. 2020 Jun 25;6(3):433-437. doi: 10.1016/j.jvscit.2020.05.012. eCollection 2020 Sep.
8
The fate of the abdominal aorta after endovascular treatment in chronic Debakey IIIb aneurysm.慢性 Debakey IIIb 型动脉瘤腔内治疗后腹主动脉的转归。
J Thorac Cardiovasc Surg. 2018 Jul;156(1):27-35.e1. doi: 10.1016/j.jtcvs.2018.03.118. Epub 2018 Apr 4.
9
Total endovascular repair of an intraoperative stent-graft deployed in the false lumen of Stanford type A aortic dissection: A case report.对部署在 Stanford A 型主动脉夹层假腔内的术中支架移植物进行全腔内修复:一例报告。
World J Clin Cases. 2020 Mar 6;8(5):954-962. doi: 10.12998/wjcc.v8.i5.954.
10
Reentry device aided endovascular aneurysm repair in patients with abdominal aortic aneurysm and unilateral iliac artery occlusion.使用再入路装置辅助进行腹主动脉瘤合并单侧髂动脉闭塞患者的血管内动脉瘤修复术。
Ann Vasc Surg. 2014 Oct;28(7):1800.e1-7. doi: 10.1016/j.avsg.2014.05.008. Epub 2014 Jun 6.

引用本文的文献

1
Endovascular repair of abdominal aortic aneurysm associated with residual type B aortic dissection utilizing iliac branch endoprosthesis: a case report.使用髂支型血管内支架修复腹主动脉瘤合并B型主动脉夹层残留:一例报告
Gen Thorac Cardiovasc Surg Cases. 2025 Feb 7;4(1):8. doi: 10.1186/s44215-025-00194-6.

本文引用的文献

1
Outcomes of fenestrated and branched endovascular aortic repair for chronic post-dissection thoracoabdominal aortic aneurysms.开窗和分支型血管腔内主动脉修复术治疗慢性夹层后胸腹主动脉瘤的疗效
J Cardiovasc Surg (Torino). 2020 Aug;61(4):427-434. doi: 10.23736/S0021-9509.20.11367-3. Epub 2020 Apr 22.
2
Mid-Term Results of Fenestrated/Branched Stent Grafting to Treat Post-dissection Thoraco-abdominal Aneurysms.腔内隔绝/分支支架治疗夹层胸腹主动脉瘤的中期结果。
Eur J Vasc Endovasc Surg. 2019 Jan;57(1):102-109. doi: 10.1016/j.ejvs.2018.07.032. Epub 2018 Sep 1.
3
Early and midterm outcomes of endovascular treatment for chronic aneurysmal aortic dissection: a retrospective study.
慢性动脉瘤性主动脉夹层腔内治疗的早期和中期结果:一项回顾性研究
Ther Adv Cardiovasc Dis. 2018 Oct;12(10):275-287. doi: 10.1177/1753944718792453. Epub 2018 Aug 2.
4
Systematic Review of Reintervention After Thoracic Endovascular Repair for Chronic Type B Dissection.胸主动脉腔内修复术治疗慢性B型主动脉夹层后再次干预的系统评价
Ann Thorac Surg. 2017 Jun;103(6):1992-2004. doi: 10.1016/j.athoracsur.2016.12.036. Epub 2017 Apr 21.
5
Promoting False-Lumen Thrombosis after Thoracic Endovascular Aneurysm Repair in Type B Aortic Dissection by Selectively Excluding False-Lumen Distal Entry Tears.通过选择性封堵假腔远端入口撕裂促进B型主动脉夹层胸主动脉腔内修复术后假腔血栓形成。
J Vasc Interv Radiol. 2017 Feb;28(2):168-175. doi: 10.1016/j.jvir.2016.07.007. Epub 2016 Sep 16.
6
Endovascular management of chronic post-dissection aneurysms.慢性夹层动脉瘤的血管内治疗。
Ann Cardiothorac Surg. 2014 May;3(3):307-13. doi: 10.3978/j.issn.2225-319X.2014.04.02.
7
Clinical outcome of an extended proximal seal zone with the AFX endovascular aortic aneurysm system.AFX血管内主动脉瘤系统的延长近端密封区的临床结果。
J Vasc Surg. 2014 Oct;60(4):876-83; discussion 883-4. doi: 10.1016/j.jvs.2014.04.017. Epub 2014 May 28.
8
Systematic review and meta-analysis of the early and late outcomes of open and endovascular repair of abdominal aortic aneurysm.系统回顾和荟萃分析开放和血管内修复腹主动脉瘤的早期和晚期结果。
Br J Surg. 2013 Jun;100(7):863-72. doi: 10.1002/bjs.9101. Epub 2013 Mar 8.
9
Long-term outcome of aortic dissection with patent false lumen: predictive role of entry tear size and location.升主动脉夹层假腔持续开放的长期转归:破口大小和位置的预测作用。
Circulation. 2012 Jun 26;125(25):3133-41. doi: 10.1161/CIRCULATIONAHA.111.090266. Epub 2012 May 21.