Suppr超能文献

急性病毒性疾病与缺血性卒中:COVID-19大流行时代的病理生理学思考

Acute Viral Illnesses and Ischemic Stroke: Pathophysiological Considerations in the Era of the COVID-19 Pandemic.

作者信息

Bahouth Mona N, Venkatesan Arun

机构信息

Department of Neurology, Johns Hopkins School of Medicine, Baltimore, MD.

出版信息

Stroke. 2021 May;52(5):1885-1894. doi: 10.1161/STROKEAHA.120.030630. Epub 2021 Apr 2.

Abstract

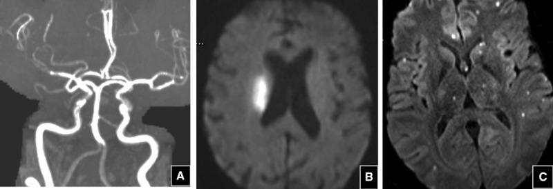
The severe acute respiratory syndrome coronavirus 2 or coronavirus disease 2019 (COVID-19) pandemic has raised concerns about the correlation with this viral illness and increased risk of stroke. Although it is too early in the pandemic to know the strength of the association between COVID-19 and stroke, it is an opportune time to review the relationship between acute viral illnesses and stroke. Here, we summarize pathophysiological principles and available literature to guide understanding of how viruses may contribute to ischemic stroke. After a review of inflammatory mechanisms, we summarize relevant pathophysiological principles of vasculopathy, hypercoagulability, and hemodynamic instability. We will end by discussing mechanisms by which several well-known viruses may cause stroke in an effort to inform our understanding of the relationship between COVID-19 and stroke.

摘要

严重急性呼吸综合征冠状病毒2型或冠状病毒病2019(COVID-19)大流行引发了人们对这种病毒性疾病与中风风险增加之间相关性的担忧。尽管在大流行初期了解COVID-19与中风之间关联的强度还为时过早,但现在是回顾急性病毒性疾病与中风之间关系的恰当时机。在此,我们总结病理生理原理和现有文献,以指导理解病毒可能如何导致缺血性中风。在回顾炎症机制后,我们总结血管病变、高凝状态和血流动力学不稳定的相关病理生理原理。我们将通过讨论几种知名病毒可能导致中风的机制来结束本文,以便增进我们对COVID-19与中风之间关系的理解。

https://cdn.ncbi.nlm.nih.gov/pmc/blobs/b456/8078120/c28949592dbe/str-52-1885-g001.jpg

文献检索

告别复杂PubMed语法,用中文像聊天一样搜索,搜遍4000万医学文献。AI智能推荐,让科研检索更轻松。

立即免费搜索

文件翻译

保留排版,准确专业,支持PDF/Word/PPT等文件格式,支持 12+语言互译。

免费翻译文档

深度研究

AI帮你快速写综述,25分钟生成高质量综述,智能提取关键信息,辅助科研写作。

立即免费体验