Suppr超能文献

肺静脉狭窄:一种全球范围内的罕见疾病。

Pulmonary Vein Stenosis: A Rare Disease with a Global Reach.

作者信息

Schramm Jennifer, Sivalingam Sivakumar, Moreno Guillermo E, Thanh Dinh Quang Le, Gauvreau Kimberlee, Doherty-Schmeck Kaitlin, Jenkins Kathy J

机构信息

Department of Cardiology, Children's National Hospital, Washington, DC 20010, USA.

Department of Cardiothoracic Surgery, National Heart Institute, 50400 Kuala Lumpur, Malaysia.

出版信息

Children (Basel). 2021 Mar 6;8(3):198. doi: 10.3390/children8030198.

Abstract

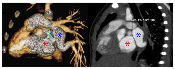
Pulmonary vein stenosis (PVS) is a rare, but high mortality and resource intensive disease caused by mechanical obstruction or intraluminal myofibroproliferation, which can be post-surgical or idiopathic. There are increasing options for management including medications, cardiac catheterization procedures, and surgery. We queried the International Quality Improvement Collaborative for Congenital Heart Disease (IQIC) database for cases of PVS and described the cohort including additional congenital lesions and surgeries as well as infectious and mortality outcomes. IQIC is a quality improvement project in low-middle-income countries with the goal of reducing mortality after congenital heart surgery. Three cases were described in detail with relevant images. We identified 57 cases of PVS surgery, with similar mortality to higher income countries. PVS should be recognized as a global disease. More research and collaboration are needed to understand the disease, treatments, and outcomes, and to devise treatment approaches for low resource environments.

摘要

肺静脉狭窄(PVS)是一种罕见但死亡率高且资源消耗大的疾病,由机械性梗阻或腔内肌纤维增生引起,可继发于手术或为特发性。治疗选择越来越多,包括药物治疗、心导管介入手术和外科手术。我们查询了国际先天性心脏病质量改进协作组织(IQIC)数据库中的PVS病例,并描述了该队列,包括其他先天性病变和手术以及感染和死亡结局。IQIC是一个中低收入国家的质量改进项目,目标是降低先天性心脏病手术后的死亡率。详细描述了3例病例并配有相关图像。我们确定了57例PVS手术病例,其死亡率与高收入国家相似。PVS应被视为一种全球性疾病。需要更多的研究和合作来了解该疾病、治疗方法和结局,并为资源匮乏地区设计治疗方案。

https://cdn.ncbi.nlm.nih.gov/pmc/blobs/b64b/8000109/15e18d59ea6f/children-08-00198-g001.jpg

文献检索

告别复杂PubMed语法,用中文像聊天一样搜索,搜遍4000万医学文献。AI智能推荐,让科研检索更轻松。

立即免费搜索

文件翻译

保留排版,准确专业,支持PDF/Word/PPT等文件格式,支持 12+语言互译。

免费翻译文档

深度研究

AI帮你快速写综述,25分钟生成高质量综述,智能提取关键信息,辅助科研写作。

立即免费体验