Suppr超能文献

人乳头瘤病毒6型基因在喉乳头状瘤中与主要的E4和E5表达的协同表达

Coordinated Expression of HPV-6 Genes with Predominant E4 and E5 Expression in Laryngeal Papilloma.

作者信息

Ikegami Taro, Hirakawa Hitoshi, Tsukahara Narutoshi, Murakami Akikazu, Kise Norimoto, Kiyuna Asanori, Kosugi Takayoshi, Agena Shinya, Kinjyo Hidetoshi, Hasegawa Narumi, Touyama Masatomo, Kondo Shunsuke, Maeda Hiroyuki, Suzuki Mikio, Ganaha Akira

机构信息

Department of Otorhinolaryngology, Head and Neck Surgery, Graduate School of Medicine, University of the Ryukyus, Okinawa 903-0215, Japan.

Department of Parasitology & Immunopathoetiology, Graduate School of Medicine, University of the Ryukyus, Okinawa 903-0215, Japan.

出版信息

Microorganisms. 2021 Mar 3;9(3):520. doi: 10.3390/microorganisms9030520.

Abstract

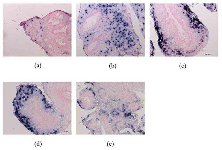
Laryngeal papilloma (LP) associated with human papillomavirus (HPV)-6 or -11 infection shows aggressive growth. However, the detailed molecular mechanism of virus-driven tumorigenesis has not been uncovered fully. HPV-6 viral gene expression and dynamic alterations were investigated with in situ localization of viral DNA and RNA in 13 patients with HPV-6-infected laryngeal papilloma. The average viral load was 4.80 × 10 ± 1.86 × 10 copies/ng DNA. , , and mRNAs accounted for 96% of the expression of 9 mRNAs. The alteration of viral DNA load during recurrence paralleled the mRNA expression levels, and the expression of all mRNAs showed a similar curve. , , and were expressed in the middle to upper part of the epithelium and were co-expressed in the same cells. E4 immunohistochemistry demonstrated an extensively positive reaction in the upper cell layer in accordance with mRNA expression. These results suggest that individual viral genes are coordinately expressed for viral replication, virus release, and immunosurveillance avoidance. The newly developed E4-specific monoclonal antibody can be applied to further functional studies and clinical applications such as targeted molecular therapies.

摘要

与人类乳头瘤病毒(HPV)-6或-11感染相关的喉乳头状瘤(LP)呈侵袭性生长。然而,病毒驱动的肿瘤发生的详细分子机制尚未完全揭示。通过对13例HPV-6感染的喉乳头状瘤患者的病毒DNA和RNA进行原位定位,研究了HPV-6病毒基因表达及动态变化。平均病毒载量为4.80×10±1.86×10拷贝/ng DNA。 、 和mRNA占9种mRNA表达的96%。复发期间病毒DNA载量的变化与mRNA表达水平平行,所有mRNA的表达呈现相似曲线。 、 和在上皮中上部表达,并在同一细胞中共表达。E4免疫组化显示,根据mRNA表达情况,在上层细胞层有广泛的阳性反应。这些结果表明,单个病毒基因协同表达以进行病毒复制、病毒释放和逃避免疫监视。新开发的E4特异性单克隆抗体可应用于进一步的功能研究和靶向分子治疗等临床应用。

https://cdn.ncbi.nlm.nih.gov/pmc/blobs/4f59/7998961/ddc9da8274a7/microorganisms-09-00520-g001.jpg

文献检索

告别复杂PubMed语法,用中文像聊天一样搜索,搜遍4000万医学文献。AI智能推荐,让科研检索更轻松。

立即免费搜索

文件翻译

保留排版,准确专业,支持PDF/Word/PPT等文件格式,支持 12+语言互译。

免费翻译文档

深度研究

AI帮你快速写综述,25分钟生成高质量综述,智能提取关键信息,辅助科研写作。

立即免费体验