Suppr超能文献

鳃裂囊肿中人乳头瘤病毒的检测

Detection of human papillomavirus in branchial cleft cysts.

作者信息

Ikegami Taro, Uehara Takayuki, Deng Zeyi, Kondo Shunsuke, Maeda Hiroyuki, Kiyuna Asanori, Agena Shinya, Hirakawa Hitoshi, Yamashita Yukashi, Ganaha Akira, Suzuki Mikio

机构信息

Department of Otorhinolaryngology, Head and Neck Surgery, Graduate School of Medicine, University of The Ryukyus, Okinawa 903-0215, Japan.

Department of Otorhinolaryngology, Head and Neck Surgery, Zhujiang Hospital, Southern Medical University, Guangzhou, Guangdong 510280, P.R. China.

出版信息

Oncol Lett. 2018 Aug;16(2):1571-1578. doi: 10.3892/ol.2018.8827. Epub 2018 May 30.

Abstract

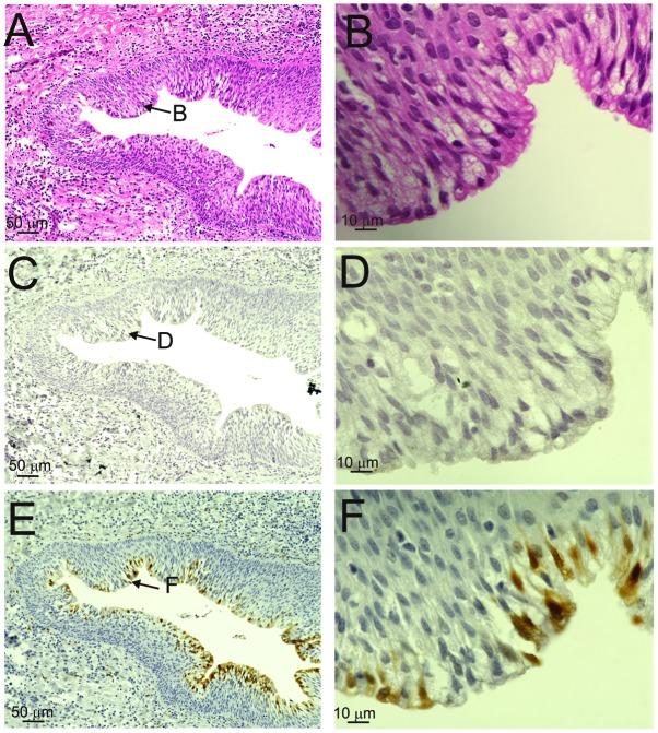
High-risk human papillomavirus (HPV) DNA has been reported to be present in branchial cleft cysts, but further information is required to clarify the role of HPV infection in branchial cleft cysts. The presence of HPV, the viral load and the physical statuses in samples from six patients with branchial cleft cysts were investigated using the polymerase chain reaction (PCR), quantitative PCR, hybridization (ISH) using HPV DNA probes and p16 immunohistochemical analysis. High-risk type HPV-16 DNA was identified in four of the six branchial cleft cysts analyzed. Of the HPV-positive branchial cleft cysts, three exhibited mixed-type integration of HPV. HPV DNA was distributed among the basal-to-granular layers of the cystic wall in ISH analysis, and p16 was weakly expressed in the nuclei and cytoplasm of the same layers in patients with integration. ISH revealed that one patient with episomal-type infection exhibited HPV DNA in the cyst wall and did not express p16. Two patients without evidence of HPV infection exhibited weak p16 expression in the superficial cyst-lining cells of branchial cleft cysts. These results indicate that infection with high-risk HPV types may be common in branchial cleft cysts. In addition, p16 is not a reliable surrogate marker for HPV infection in branchial cleft cysts.

摘要

据报道,高危型人乳头瘤病毒(HPV)DNA存在于鳃裂囊肿中,但需要更多信息来阐明HPV感染在鳃裂囊肿中的作用。使用聚合酶链反应(PCR)、定量PCR、HPV DNA探针杂交(ISH)和p16免疫组化分析,对6例鳃裂囊肿患者样本中的HPV存在情况、病毒载量及物理状态进行了研究。在所分析的6个鳃裂囊肿中,有4个检测到高危型HPV-16 DNA。在HPV阳性的鳃裂囊肿中,有3个表现出HPV的混合型整合。ISH分析显示,HPV DNA分布于囊壁的基底层至颗粒层,整合型患者同一层的细胞核和细胞质中p16呈弱表达。ISH显示,1例游离型感染患者的囊肿壁中有HPV DNA,但未表达p16。2例无HPV感染证据的患者,其鳃裂囊肿表面衬里细胞中p16呈弱表达。这些结果表明,高危型HPV感染在鳃裂囊肿中可能很常见。此外,p16不是鳃裂囊肿中HPV感染的可靠替代标志物。

https://cdn.ncbi.nlm.nih.gov/pmc/blobs/62a5/6036516/adb329a692e6/ol-16-02-1571-g00.jpg

文献检索

告别复杂PubMed语法,用中文像聊天一样搜索,搜遍4000万医学文献。AI智能推荐,让科研检索更轻松。

立即免费搜索

文件翻译

保留排版,准确专业,支持PDF/Word/PPT等文件格式,支持 12+语言互译。

免费翻译文档

深度研究

AI帮你快速写综述,25分钟生成高质量综述,智能提取关键信息,辅助科研写作。

立即免费体验