Suppr超能文献

开发一种针对黑色素瘤中优先表达抗原(PRAME)的新型高选择性单克隆抗体,并通过生物层干涉技术鉴定其靶抗原表位。

Development of a New Highly Selective Monoclonal Antibody against Preferentially Expressed Antigen in Melanoma (PRAME) and Identification of the Target Epitope by Bio-Layer Interferometry.

机构信息

Istituto di Biostrutture e Bioimmagini, CNR, 80134 Napoli, Italy.

Dipartimento di Medicina Molecolare e Biotecnologie Mediche, Università degli Studi di Napoli Federico II, 80142 Napoli, Italy.

出版信息

Int J Mol Sci. 2021 Mar 20;22(6):3166. doi: 10.3390/ijms22063166.

Abstract

BACKGROUND

Monoclonal antibodies (mAbs) against cancer biomarkers are key reagents in diagnosis and therapy. One such relevant biomarker is a preferentially expressed antigen in melanoma (PRAME) that is selectively expressed in many tumors. Knowing mAb's epitope is of utmost importance for understanding the potential activity and therapeutic prospective of the reagents.

METHODS

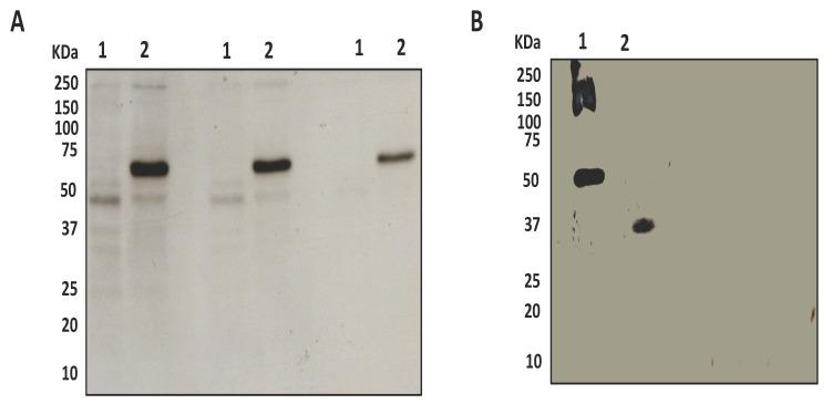
We generated a mAb against PRAME immunizing mice with PRAME fragment 161-415; the affinity of the antibody for the protein was evaluated by ELISA and SPR, and its ability to detect the protein in cells was probed by cytofluorimetry and Western blotting experiments. The antibody epitope was identified immobilizing the mAb on bio-layer interferometry (BLI) sensor chip, capturing protein fragments obtained following trypsin digestion and performing mass spectrometry analyses.

RESULTS

A mAb against PRAME with an affinity of 35 pM was obtained and characterized. Its epitope on PRAME was localized on residues 202-212, taking advantage of the low volumes and lack of fluidics underlying the BLI settings.

CONCLUSIONS

The new anti-PRAME mAb recognizes the folded protein on the surface of cell membranes suggesting that the antibody's epitope is well exposed. BLI sensor chips can be used to identify antibody epitopes.

摘要

背景

针对癌症生物标志物的单克隆抗体(mAbs)是诊断和治疗的关键试剂。其中一个相关的生物标志物是黑色素瘤中优先表达的抗原(PRAME),它在许多肿瘤中选择性表达。了解 mAb 的表位对于理解试剂的潜在活性和治疗前景至关重要。

方法

我们用 PRAME 片段 161-415 免疫小鼠生成了针对 PRAME 的 mAb;通过 ELISA 和 SPR 评估了抗体对蛋白质的亲和力,并通过细胞荧光法和 Western blot 实验探测了其在细胞中检测蛋白质的能力。通过将 mAb 固定在生物层干涉(BLI)传感器芯片上,捕获经胰蛋白酶消化后获得的蛋白质片段,并进行质谱分析,确定了抗体的表位。

结果

获得并表征了一种针对 PRAME 的亲和力为 35 pM 的 mAb。其在 PRAME 上的表位定位于残基 202-212,利用了 BLI 设置下的小体积和无流动的优势。

结论

新的抗 PRAME mAb 识别细胞膜表面的折叠蛋白,表明抗体的表位暴露良好。BLI 传感器芯片可用于鉴定抗体表位。

https://cdn.ncbi.nlm.nih.gov/pmc/blobs/2689/8003813/ad1b4cb89d8e/ijms-22-03166-g001.jpg

文献检索

告别复杂PubMed语法,用中文像聊天一样搜索,搜遍4000万医学文献。AI智能推荐,让科研检索更轻松。

立即免费搜索

文件翻译

保留排版,准确专业,支持PDF/Word/PPT等文件格式,支持 12+语言互译。

免费翻译文档

深度研究

AI帮你快速写综述,25分钟生成高质量综述,智能提取关键信息,辅助科研写作。

立即免费体验