Suppr超能文献

脑内给予配体-ASO 缀合物可选择性降低双突变人 A30P*A53T*α-突触核蛋白转基因小鼠单胺能神经元中 α-突触核蛋白的积累。

Intracerebral Administration of a Ligand-ASO Conjugate Selectively Reduces α-Synuclein Accumulation in Monoamine Neurons of Double Mutant Human A30P*A53T*α-Synuclein Transgenic Mice.

机构信息

Institut d'Investigacions Biomèdiques de Barcelona (IIBB), Spanish National Research Council (CSIC), 08036 Barcelona, Spain.

Institut d'Investigacions Biomèdiques August Pi i Sunyer (IDIBAPS), 08036 Barcelona, Spain.

出版信息

Int J Mol Sci. 2021 Mar 13;22(6):2939. doi: 10.3390/ijms22062939.

Abstract

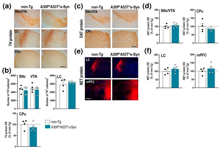
α-Synuclein (α-Syn) protein is involved in the pathogenesis of Parkinson's disease (PD). Point mutations and multiplications of the α-Syn, which encodes the gene, are correlated with early-onset PD, therefore the reduction in a-Syn synthesis could be a potential therapy for PD if delivered to the key affected neurons. Several experimental strategies for PD have been developed in recent years using oligonucleotide therapeutics. However, some of them have failed or even caused neuronal toxicity. One limiting step in the success of oligonucleotide-based therapeutics is their delivery to the brain compartment, and once there, to selected neuronal populations. Previously, we developed an indatraline-conjugated antisense oligonucleotide (IND-1233-ASO), that selectively reduces α-Syn synthesis in midbrain monoamine neurons of mice, and nonhuman primates. Here, we extended these observations using a transgenic male mouse strain carrying both A30P and A53T mutant human α-Syn (A30PA53Tα-Syn). We found that A30PA53Tα-Syn mice at 4-5 months of age showed 3.5-fold increases in human α-Syn expression in dopamine (DA) and norepinephrine (NE) neurons of the substantia nigra pars compacta (SNc) and locus coeruleus (LC), respectively, compared with mouse α-Syn levels. In parallel, transgenic mice exhibited altered nigrostriatal DA neurotransmission, motor alterations, and an anxiety-like phenotype. Intracerebroventricular IND-1233-ASO administration (100 µg/day, 28 days) prevented the α-Syn synthesis and accumulation in the SNc and LC, and recovered DA neurotransmission, although it did not reverse the behavioral phenotype. Therefore, the present therapeutic strategy based on a conjugated ASO could be used for the selective inhibition of α-Syn expression in PD-vulnerable monoamine neurons, showing the benefit of the optimization of ASO molecules as a disease modifying therapy for PD and related α-synucleinopathies.

摘要

α-突触核蛋白(α-Syn)参与帕金森病(PD)的发病机制。α-Syn 基因的点突变和扩增与早发性 PD 相关,因此,如果将 α-Syn 的合成减少递送到关键受影响的神经元,可能成为 PD 的潜在治疗方法。近年来,已经开发了几种使用寡核苷酸治疗的 PD 实验策略。然而,其中一些已经失败,甚至导致神经元毒性。寡核苷酸为基础的治疗成功的一个限制步骤是它们递送到大脑隔室,一旦到达那里,就递送到选定的神经元群体。此前,我们开发了一种依托吲哚烷-conjugated 反义寡核苷酸(IND-1233-ASO),该寡核苷酸可选择性地减少小鼠和非人灵长类动物中中脑单胺神经元中的 α-Syn 合成。在这里,我们使用携带 A30P 和 A53T 突变人类 α-Syn(A30PA53Tα-Syn)的转基因雄性小鼠品系扩展了这些观察结果。我们发现,与小鼠 α-Syn 水平相比,4-5 月龄的 A30PA53Tα-Syn 小鼠在黑质致密部(SNc)和蓝斑核(LC)中的多巴胺(DA)和去甲肾上腺素(NE)神经元中的人 α-Syn 表达增加了 3.5 倍。同时,转基因小鼠表现出黑质纹状体 DA 神经传递改变、运动改变和焦虑样表型。脑室内给予 IND-1233-ASO(100µg/天,28 天)可预防 SNc 和 LC 中 α-Syn 的合成和积累,并恢复 DA 神经传递,尽管它没有逆转行为表型。因此,基于缀合 ASO 的这种治疗策略可用于 PD 易损性单胺神经元中 α-Syn 表达的选择性抑制,表明优化 ASO 分子作为 PD 和相关 α-突触核蛋白病的疾病修饰治疗的益处。

https://cdn.ncbi.nlm.nih.gov/pmc/blobs/5208/8001805/254703503bca/ijms-22-02939-g001.jpg

文献检索

告别复杂PubMed语法,用中文像聊天一样搜索,搜遍4000万医学文献。AI智能推荐,让科研检索更轻松。

立即免费搜索

文件翻译

保留排版,准确专业,支持PDF/Word/PPT等文件格式,支持 12+语言互译。

免费翻译文档

深度研究

AI帮你快速写综述,25分钟生成高质量综述,智能提取关键信息,辅助科研写作。

立即免费体验