Suppr超能文献

碳酸钙纳米颗粒——对鸡胚发育、肉鸡性能及骨骼状况的毒性和胚内接种影响

Calcium Carbonate Nanoparticles-Toxicity and Effect of In Ovo Inoculation on Chicken Embryo Development, Broiler Performance and Bone Status.

作者信息

Matuszewski Arkadiusz, Łukasiewicz Monika, Niemiec Jan, Kamaszewski Maciej, Jaworski Sławomir, Domino Małgorzata, Jasiński Tomasz, Chwalibog André, Sawosz Ewa

机构信息

Department of Animal Breeding, Institute of Animal Sciences, Warsaw University of Life Sciences (WULS-SGGW), 02-787 Warsaw, Poland.

Department of Ichthyology and Biotechnology in Aquaculture, Institute of Animal Sciences, Warsaw University of Life Sciences (WULS-SGGW), 02-787 Warsaw, Poland.

出版信息

Animals (Basel). 2021 Mar 25;11(4):932. doi: 10.3390/ani11040932.

Abstract

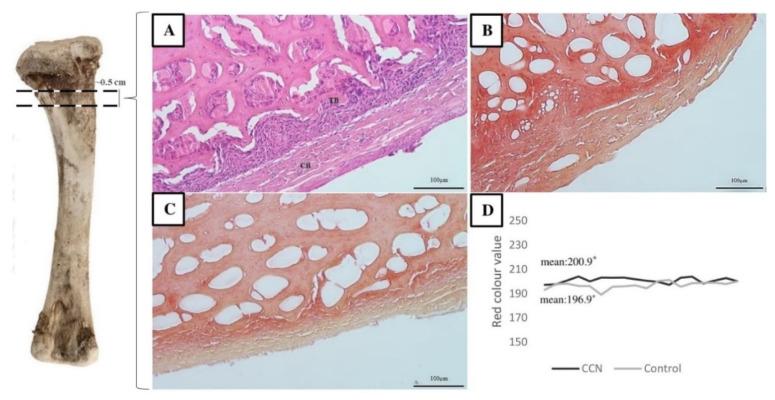
The use of intensive selection procedure in modern broiler chicken lines has led to the development of several skeletal disorders in broiler chickens. Therefore, current research is focused on methods to improve the bone quality in birds. In ovo technology, using nanoparticles with a high specificity to bones, is a potential approach. The present study aimed to evaluate the effect of in ovo inoculation (IOI) of calcium carbonate nanoparticles (CCN) on chicken embryo development, health status, bone characteristics, and on broiler production results and bone quality. After assessing in vitro cell viability, the IOI procedure was performed with an injection of 500 μg/mL CCN. The control group was not inoculated with CCN. Hatchability, weight, and selected bone and serum parameters were measured in embryos. Part of hatchlings were reared under standard conditions until 42 days, and production results, meat quality, and bone quality of broilers were determined. CCN did not show cytotoxicity to cells and chicken embryo and positively influenced bone parameters of the embryos and of broilers later (calcification) without negatively affecting the production results. Thus, the IOI of CCN could modify the molecular responses at the stage of embryogenesis, resulting in better mineralization, and could provide a sustained effect, thereby improving bone quality in adult birds.

摘要

现代肉鸡品系中强化选择程序的使用已导致肉鸡出现多种骨骼疾病。因此,当前的研究集中在改善禽类骨骼质量的方法上。卵内技术,即使用对骨骼具有高特异性的纳米颗粒,是一种潜在的方法。本研究旨在评估碳酸钙纳米颗粒(CCN)的卵内接种(IOI)对鸡胚胎发育、健康状况、骨骼特征以及对肉鸡生产性能和骨骼质量的影响。在评估体外细胞活力后,以500μg/mL CCN的注射量进行IOI程序。对照组未接种CCN。测量胚胎的孵化率、体重以及选定的骨骼和血清参数。部分雏鸡在标准条件下饲养至42日龄,并测定肉鸡的生产性能、肉质和骨骼质量。CCN对细胞和鸡胚胎未显示出细胞毒性,并且对胚胎和后期肉鸡的骨骼参数(钙化)有积极影响,而不会对生产性能产生负面影响。因此,CCN的IOI可以改变胚胎发生阶段的分子反应,从而实现更好的矿化,并能提供持续的效果,进而改善成年禽类的骨骼质量。

https://cdn.ncbi.nlm.nih.gov/pmc/blobs/576a/8064363/941fc85011e5/animals-11-00932-g001.jpg

文献检索

告别复杂PubMed语法,用中文像聊天一样搜索,搜遍4000万医学文献。AI智能推荐,让科研检索更轻松。

立即免费搜索

文件翻译

保留排版,准确专业,支持PDF/Word/PPT等文件格式,支持 12+语言互译。

免费翻译文档

深度研究

AI帮你快速写综述,25分钟生成高质量综述,智能提取关键信息,辅助科研写作。

立即免费体验