Suppr超能文献

分泌蛋白C10orf118是参与肿瘤-基质相互作用的透明质酸合成新调节因子。

The Secreted Protein C10orf118 Is a New Regulator of Hyaluronan Synthesis Involved in Tumour-Stroma Cross-Talk.

作者信息

Caon Ilaria, D'Angelo Maria Luisa, Bartolini Barbara, Caravà Elena, Parnigoni Arianna, Contino Flavia, Cancemi Patrizia, Moretto Paola, Karamanos Nikos K, Passi Alberto, Vigetti Davide, Karousou Evgenia, Viola Manuela

机构信息

Department of Medicine and Surgery, University of Insubria, Via J.H. Dunant 5, 21100 Varese, Italy.

Department of Biological Chemical and Pharmaceutical Sciences and Technologies (STEBICEF), University of Palermo, 90128 Palermo, Italy.

出版信息

Cancers (Basel). 2021 Mar 5;13(5):1105. doi: 10.3390/cancers13051105.

Abstract

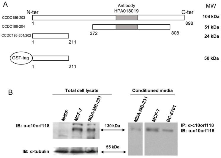
Interaction between cancer cells and their microenvironment is central in defining the fate of cancer development. Tumour cells secrete signals (cytokines, chemokines, growth factors) that modify the surrounding area, while the niche supplies structures and activities necessary for tumour maintenance and growth. Hyaluronan (HA) is a glycosaminoglycan that constitute cancer cell niche and is known to influence tumour functions such as proliferation, migration and neoangiogenesis. The knowledge of the factors regulating HA synthesis and size is crucial in understanding the mechanisms sustaining tumour development. Here we show that a yet uncharacterized protein secreted by breast tumour cell lines, named c10orf118 (accession number NM_018017 in NCBI/BLAST, and Q7z3E2 according to the Uniprot identifier), with a predicted length of 898 amino acids, can induce the secretion of HA by stromal fibroblasts through the up-regulation of the hyaluronan synthase 2 gene (HAS2). Intracellularly, this protein is localized in the Golgi apparatus with a possible role in vesicle maturation and transport. The expression of c10orf118 was verified in breast cancer patient specimens and was found to be associated with the presence of estrogen receptor that characterizes a good patient survival. We suggest c10orf118 as a new player that influences the HA amount in breast cancer microenvironment and is associated with low aggressiveness of cancer.

摘要

癌细胞与其微环境之间的相互作用在决定癌症发展的命运中起着核心作用。肿瘤细胞分泌信号(细胞因子、趋化因子、生长因子)来改变周围区域,而生态位则提供肿瘤维持和生长所需的结构和活性。透明质酸(HA)是一种构成癌细胞生态位的糖胺聚糖,已知会影响肿瘤的增殖、迁移和新血管生成等功能。了解调节HA合成和大小的因素对于理解维持肿瘤发展的机制至关重要。在这里,我们表明,一种由乳腺肿瘤细胞系分泌的尚未表征的蛋白质,名为c10orf118(在NCBI/BLAST中的登录号为NM_018017,根据Uniprot标识符为Q7z3E2),预测长度为898个氨基酸,它可以通过上调透明质酸合酶2基因(HAS2)来诱导基质成纤维细胞分泌HA。在细胞内,这种蛋白质定位于高尔基体,可能在囊泡成熟和运输中起作用。c10orf118的表达在乳腺癌患者标本中得到验证,并且发现与雌激素受体的存在相关,雌激素受体是患者生存良好的特征。我们认为c10orf118是一个影响乳腺癌微环境中HA含量且与癌症低侵袭性相关的新因子。

https://cdn.ncbi.nlm.nih.gov/pmc/blobs/9b3a/7961460/a2482e2bfbea/cancers-13-01105-g001.jpg

文献检索

告别复杂PubMed语法,用中文像聊天一样搜索,搜遍4000万医学文献。AI智能推荐,让科研检索更轻松。

立即免费搜索

文件翻译

保留排版,准确专业,支持PDF/Word/PPT等文件格式,支持 12+语言互译。

免费翻译文档

深度研究

AI帮你快速写综述,25分钟生成高质量综述,智能提取关键信息,辅助科研写作。

立即免费体验