• 文献检索
  • 文档翻译
  • 深度研究
  • 学术资讯
  • Suppr Zotero 插件Zotero 插件
  • 邀请有礼
  • 套餐&价格
  • 历史记录
应用&插件
Suppr Zotero 插件Zotero 插件浏览器插件Mac 客户端Windows 客户端微信小程序
定价
高级版会员购买积分包购买API积分包
服务
文献检索文档翻译深度研究API 文档MCP 服务
关于我们
关于 Suppr公司介绍联系我们用户协议隐私条款
关注我们

Suppr 超能文献

核心技术专利:CN118964589B侵权必究
粤ICP备2023148730 号-1Suppr @ 2026

文献检索

告别复杂PubMed语法,用中文像聊天一样搜索,搜遍4000万医学文献。AI智能推荐,让科研检索更轻松。

立即免费搜索

文件翻译

保留排版,准确专业,支持PDF/Word/PPT等文件格式,支持 12+语言互译。

免费翻译文档

深度研究

AI帮你快速写综述,25分钟生成高质量综述,智能提取关键信息,辅助科研写作。

立即免费体验

幼犬发育异常肾脏中神经元型一氧化氮合酶和肾素的表达

Expression of neuronal nitric oxide synthase and renin in dysplastic kidneys of young dogs.

作者信息

Yabuki Akira, Furusawa Yu, Miyoshi Noriaki, Taniguchi Kazuyuki, Yamato Osamu

机构信息

Laboratory of Veterinary Clinical Pathology, Joint Faculty of Veterinary Medicine, Kagoshima University, Kagoshima 890-0065, Japan.

Kagoshima University Veterinary Teaching Hospital, Joint Faculty of Veterinary Medicine, Kagoshima University, 1-21-24 Korimoto, Kagoshima 890-0065, Japan.

出版信息

J Vet Med Sci. 2021 May 17;83(5):837-840. doi: 10.1292/jvms.21-0074. Epub 2021 Apr 5.

DOI:10.1292/jvms.21-0074
PMID:33814522
原文链接:https://pmc.ncbi.nlm.nih.gov/articles/PMC8182329/
Abstract

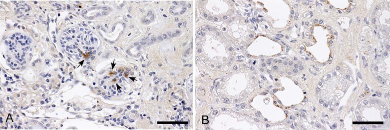
Renin and neuronal nitric oxide synthase in the kidney control the renin-angiotensin and tubuloglomerular feedback systems. The present study investigated the expression of renin and neuronal nitric oxide synthase in the dysplastic kidneys of three young dogs. Renin-immunoreactivity, which occurs in the juxtaglomerular and tubular cells of dysplastic kidneys, did not differ from that in the normal kidneys of young dogs. Macula densa cells in the normal kidneys showed neuronal nitric oxide synthase -immunoreactivity, but those in the dysplastic kidneys showed no apparent signals. This observation may be correlated with the pathological mechanisms of renal failure in young dogs.

摘要

肾脏中的肾素和神经元型一氧化氮合酶控制肾素-血管紧张素系统和肾小管-肾小球反馈系统。本研究调查了三只幼犬发育异常肾脏中肾素和神经元型一氧化氮合酶的表达情况。发育异常肾脏的球旁细胞和肾小管细胞中出现的肾素免疫反应性与幼犬正常肾脏中的情况并无差异。正常肾脏中的致密斑细胞显示出神经元型一氧化氮合酶免疫反应性,但发育异常肾脏中的致密斑细胞未显示出明显信号。这一观察结果可能与幼犬肾衰竭的病理机制相关。

https://cdn.ncbi.nlm.nih.gov/pmc/blobs/96c9/8182329/c8b63a842be4/jvms-83-837-g004.jpg
https://cdn.ncbi.nlm.nih.gov/pmc/blobs/96c9/8182329/e9b51d752fef/jvms-83-837-g001.jpg
https://cdn.ncbi.nlm.nih.gov/pmc/blobs/96c9/8182329/c339ad8d1eb6/jvms-83-837-g002.jpg
https://cdn.ncbi.nlm.nih.gov/pmc/blobs/96c9/8182329/5f1bd4a9fb90/jvms-83-837-g003.jpg
https://cdn.ncbi.nlm.nih.gov/pmc/blobs/96c9/8182329/c8b63a842be4/jvms-83-837-g004.jpg
https://cdn.ncbi.nlm.nih.gov/pmc/blobs/96c9/8182329/e9b51d752fef/jvms-83-837-g001.jpg
https://cdn.ncbi.nlm.nih.gov/pmc/blobs/96c9/8182329/c339ad8d1eb6/jvms-83-837-g002.jpg
https://cdn.ncbi.nlm.nih.gov/pmc/blobs/96c9/8182329/5f1bd4a9fb90/jvms-83-837-g003.jpg
https://cdn.ncbi.nlm.nih.gov/pmc/blobs/96c9/8182329/c8b63a842be4/jvms-83-837-g004.jpg

相似文献

1
Expression of neuronal nitric oxide synthase and renin in dysplastic kidneys of young dogs.幼犬发育异常肾脏中神经元型一氧化氮合酶和肾素的表达
J Vet Med Sci. 2021 May 17;83(5):837-840. doi: 10.1292/jvms.21-0074. Epub 2021 Apr 5.
2
Expression of neuronal type nitric oxide synthase and renin in the juxtaglomerular apparatus of angiotensin type-1a receptor gene-knockout mice.1a型血管紧张素受体基因敲除小鼠肾小球旁器中神经元型一氧化氮合酶和肾素的表达
Kidney Int. 1998 Jun;53(6):1585-93. doi: 10.1046/j.1523-1755.1998.00904.x.
3
Permissive role of nitric oxide in macula densa control of renin secretion.一氧化氮在致密斑对肾素分泌的调控中的允许作用。
Am J Physiol Renal Physiol. 2004 May;286(5):F848-57. doi: 10.1152/ajprenal.00272.2003. Epub 2004 Jan 13.
4
What is brain nitric oxide synthase doing in the kidney?
Curr Opin Nephrol Hypertens. 2002 Jan;11(1):109-15. doi: 10.1097/00041552-200201000-00016.
5
Renin, cyclooxygenase-2 and neuronal nitric oxide synthase in the kidneys of transgenic Tsukuba hypertensive mouse.筑波高血压转基因小鼠肾脏中的肾素、环氧化酶-2和神经元型一氧化氮合酶
Exp Anim. 2004 Jul;53(4):387-90. doi: 10.1538/expanim.53.387.
6
Nitric oxide synthase in macula densa regulates glomerular capillary pressure.致密斑中的一氧化氮合酶调节肾小球毛细血管压力。
Proc Natl Acad Sci U S A. 1992 Dec 15;89(24):11993-7. doi: 10.1073/pnas.89.24.11993.
7
Macula densa neuronal nitric oxide synthase.致密斑神经元型一氧化氮合酶
Cardiovasc Res. 2002 Nov;56(2):189-96. doi: 10.1016/s0008-6363(02)00536-9.
8
Nitric oxide generated by nNOS in the macula densa regulates the afferent arteriolar diameter in rat kidney.致密斑中神经元型一氧化氮合酶产生的一氧化氮调节大鼠肾脏入球小动脉直径。
Med Electron Microsc. 2004 Dec;37(4):236-41. doi: 10.1007/s00795-004-0263-2.
9
Role of neuronal nitric oxide synthase in the macula densa.神经元型一氧化氮合酶在致密斑中的作用。
Kidney Int. 2001 Nov;60(5):1676-83. doi: 10.1046/j.1523-1755.2001.00987.x.
10
Inhibition of intrarenal NO stimulates renin secretion through a macula densa-mediated mechanism.肾内一氧化氮的抑制通过致密斑介导的机制刺激肾素分泌。
Am J Physiol. 1997 Mar;272(3 Pt 2):R879-86. doi: 10.1152/ajpregu.1997.272.3.R879.

本文引用的文献

1
Low expression of cyclooxygenase-2 in chronic kidney disease in young dogs.年轻犬慢性肾病中环氧化酶-2的低表达
Res Vet Sci. 2016 Dec;109:71-73. doi: 10.1016/j.rvsc.2016.09.006. Epub 2016 Sep 13.
2
Activation of the renin-angiotensin system by a low-salt diet does not augment intratubular angiotensinogen and angiotensin II in rats.低钠饮食激活肾素-血管紧张素系统不会增加大鼠肾小管内血管紧张素原和血管紧张素 II。
Am J Physiol Renal Physiol. 2013 Mar 1;304(5):F505-14. doi: 10.1152/ajprenal.00587.2012. Epub 2013 Jan 9.
3
Renal and cardiovascular characterization of COX-2 knockdown mice.
COX-2基因敲除小鼠的肾脏和心血管特征
Am J Physiol Regul Integr Comp Physiol. 2009 Jun;296(6):R1751-60. doi: 10.1152/ajpregu.90985.2008. Epub 2009 Apr 8.
4
Cyclooxygenase 2 inhibition suppresses tubuloglomerular feedback: roles of thromboxane receptors and nitric oxide.环氧化酶2抑制作用可抑制肾小管-肾小球反馈:血栓素受体和一氧化氮的作用。
Am J Physiol Renal Physiol. 2009 Apr;296(4):F790-4. doi: 10.1152/ajprenal.90446.2008. Epub 2009 Jan 14.
5
Physiological regulation of prostaglandins in the kidney.肾脏中前列腺素的生理调节
Annu Rev Physiol. 2008;70:357-77. doi: 10.1146/annurev.physiol.70.113006.100614.
6
COX-2 activity determines the level of renin expression but is dispensable for acute upregulation of renin expression in rat kidneys.环氧化酶-2(COX-2)的活性决定肾素表达水平,但对于大鼠肾脏中肾素表达的急性上调并非必需。
Am J Physiol Renal Physiol. 2007 Jun;292(6):F1782-90. doi: 10.1152/ajprenal.00513.2006. Epub 2007 Mar 20.
7
Low plasma renin and reduced renin secretory responses to acute stimuli in conscious COX-2-deficient mice.清醒的COX-2基因缺陷小鼠血浆肾素水平较低,且对急性刺激的肾素分泌反应减弱。
Am J Physiol Renal Physiol. 2007 Jan;292(1):F415-22. doi: 10.1152/ajprenal.00317.2006. Epub 2006 Sep 5.
8
Neuronal nitric oxide synthase and cyclooxygenase-2 in diabetic nephropathy of type 2 diabetic OLETF rats.2型糖尿病OLETF大鼠糖尿病肾病中神经元型一氧化氮合酶和环氧化酶-2
Exp Anim. 2006 Jan;55(1):17-25. doi: 10.1538/expanim.55.17.
9
Nitric oxide stimulates cyclooxygenase-2 in cultured cTAL cells through a p38-dependent pathway.一氧化氮通过p38依赖途径刺激培养的皮质集合管细胞中的环氧化酶-2。
Am J Physiol Renal Physiol. 2006 Jun;290(6):F1391-7. doi: 10.1152/ajprenal.00315.2005. Epub 2005 Dec 27.
10
Temporal adaptation of tubuloglomerular feedback: effects of COX-2.球管反馈的时间适应性:COX-2的作用
Kidney Int. 2004 Dec;66(6):2348-53. doi: 10.1111/j.1523-1755.2004.66033.x.