Suppr超能文献

靶向ACLY通过抑制PI3K-AKT通路和激活AMPK-ROS通路减弱卵巢癌的肿瘤生长和获得性顺铂耐药性。

Targeting ACLY Attenuates Tumor Growth and Acquired Cisplatin Resistance in Ovarian Cancer by Inhibiting the PI3K-AKT Pathway and Activating the AMPK-ROS Pathway.

作者信息

Wei Xuan, Shi Juanjuan, Lin Qianhan, Ma Xiaoxue, Pang Yingxin, Mao Hongluan, Li Rui, Lu Wei, Wang Yu, Liu Peishu

机构信息

Department of Obstetrics and Gynecology, Qilu Hospital of Shandong University, Jinan, China.

Key Laboratory of Gynecology Oncology of Shandong Province, Qilu Hospital of Shandong University, Jinan, China.

出版信息

Front Oncol. 2021 Mar 17;11:642229. doi: 10.3389/fonc.2021.642229. eCollection 2021.

Abstract

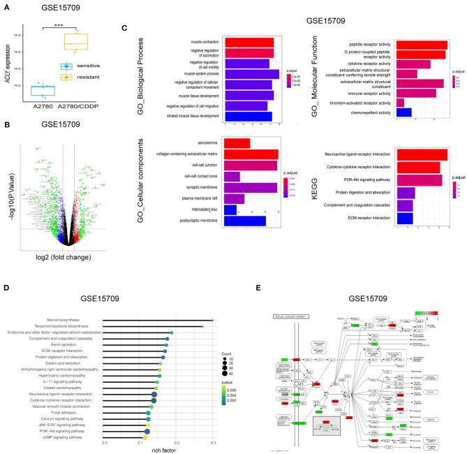
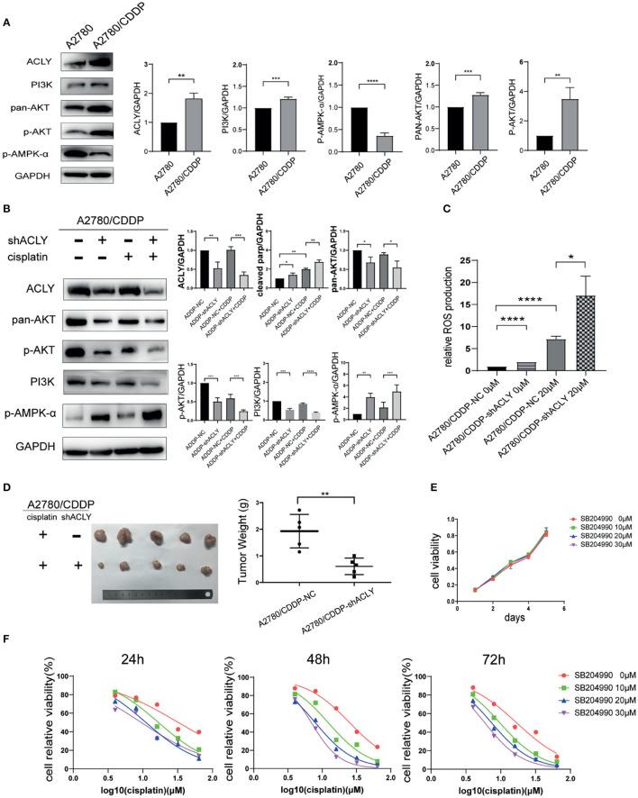
Ovarian cancer is the most lethal female genital malignancy. Although cisplatin is the first-line chemotherapy to treat ovarian cancer patients along with debulking surgeries, its efficacy is limited due to the high incidence of cisplatin resistance. ATP citrate lyase (ACLY) has been shown to be a key metabolic enzyme and is associated with poor prognosis in various cancers, including ovarian cancer. Nevertheless, no studies have probed the mechanistic relationship between ACLY and cisplatin resistance. Survival analysis was mainly carried out online. Bioinformatic analysis was performed in R/R studio. Proliferative activity was measured by MTT and colony formation assays. Cell cycle and apoptosis analysis were performed by flow cytometry. The acquired-cisplatin-resistant cell line A2780/CDDP was generated by exposing A2780 to cisplatin at gradually elevated concentrations. MTT assay was used to calculate IC values of cisplatin. A xenograft tumor assay was used test cell proliferation . Higher expression of ACLY was found in ovarian cancer tissue and related to poor prognosis. Knockdown of ACLY in A2780, SKOV3, and HEY cells inhibited cell proliferation, caused cell-cycle arrest by modulating the P16-CDK4-CCND1 pathway, and induced apoptosis probably by inhibiting p-AKT activity. Bioinformatic analysis of the GSE15709 dataset revealed upregulation of ACLY and activation of PI3K-AKT pathway in cells with acquired cisplatin resistance, in line with observations on A2780/CDDP cells that we generated. Knockdown of ACLY alleviated cisplatin resistance, and works synergistically with cisplatin treatment to induce apoptosis in A2780/CDDP cells by inhibiting the PI3K-AKT pathway and activating AMPK-ROS pathway. The ACLY-specific inhibitor SB-204990 showed the same effect. In A2780/CDDP cells, AKT overexpression could attenuate cisplatin re-sensitization caused by ACLY knockdown. Knockdown of ACLY attenuated cisplatin resistance by inhibiting the PI3K-AKT pathway and activating the AMPK-ROS pathway. These findings suggest that a combination of ACLY inhibition and cisplatin might be an effective strategy for overcoming cisplatin resistance in ovarian cancer.

摘要

卵巢癌是最致命的女性生殖系统恶性肿瘤。尽管顺铂是治疗卵巢癌患者的一线化疗药物,且常与肿瘤减灭术联合使用,但其疗效因顺铂耐药的高发生率而受限。ATP柠檬酸裂解酶(ACLY)已被证明是一种关键的代谢酶,并且在包括卵巢癌在内的多种癌症中与预后不良相关。然而,尚无研究探究ACLY与顺铂耐药之间的机制关系。生存分析主要在网上进行。生物信息学分析在R/R studio中进行。通过MTT和集落形成试验测量增殖活性。通过流式细胞术进行细胞周期和凋亡分析。通过将A2780细胞暴露于浓度逐渐升高的顺铂中,建立了获得性顺铂耐药细胞系A2780/CDDP。MTT试验用于计算顺铂的IC值。采用异种移植瘤试验检测细胞增殖情况。研究发现,ACLY在卵巢癌组织中表达较高,且与预后不良相关。在A2780、SKOV3和HEY细胞中敲低ACLY可抑制细胞增殖,通过调节P16-CDK4-CCND1途径导致细胞周期停滞,并可能通过抑制p-AKT活性诱导凋亡。对GSE15709数据集的生物信息学分析显示,在获得性顺铂耐药的细胞中,ACLY上调且PI3K-AKT途径激活,这与我们所建立的A2780/CDDP细胞的观察结果一致。敲低ACLY可减轻顺铂耐药,并与顺铂治疗协同作用,通过抑制PI3K-AKT途径和激活AMPK-ROS途径诱导A2780/CDDP细胞凋亡。ACLY特异性抑制剂SB-204990显示出相同的效果。在A2780/CDDP细胞中,AKT过表达可减弱由ACLY敲低引起的顺铂再敏化。敲低ACLY通过抑制PI3K-AKT途径和激活AMPK-ROS途径减弱顺铂耐药。这些发现表明,抑制ACLY和顺铂联合使用可能是克服卵巢癌顺铂耐药的有效策略。

https://cdn.ncbi.nlm.nih.gov/pmc/blobs/5c0d/8011496/14c432400bc6/fonc-11-642229-g0001.jpg

文献AI研究员

20分钟写一篇综述,助力文献阅读效率提升50倍。

立即体验

用中文搜PubMed

大模型驱动的PubMed中文搜索引擎

马上搜索

文档翻译

学术文献翻译模型,支持多种主流文档格式。

立即体验