Suppr超能文献

帕博利珠单抗诱导的原发性不明转移性癌症患者的苔藓样皮炎

Pembrolizumab-Induced Lichenoid Dermatitis in a Patient With Metastatic Cancer of Unknown Primary.

作者信息

Sethi Ashish, Raj Moses

机构信息

Internal Medicine, Allegheny Health Network, Pittsburgh, USA.

Hematology & Oncology, Allegheny Health Network, Pittsburgh, USA.

出版信息

Cureus. 2021 Mar 8;13(3):e13768. doi: 10.7759/cureus.13768.

Abstract

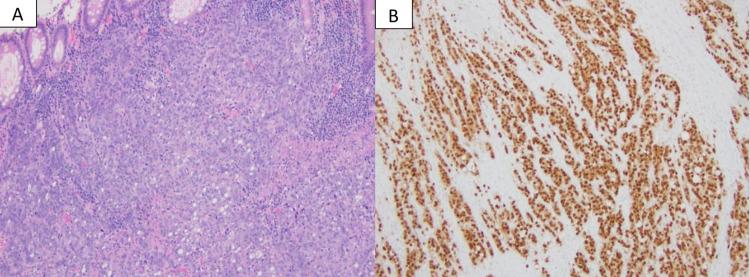
Pembrolizumab is an immune checkpoint inhibitor approved for use in many cancer types such as non-small cell lung cancer (NSCLC), metastatic melanoma, head and neck cancers, hepatocellular carcinoma, and renal cell carcinoma. There are many reported cases of patients on immunotherapy who have discontinued treatment due to the development of immune-related adverse effects (irAE). Recognition of the histopathologic patterns of dermatologic toxicities due to immunotherapy will become increasingly important for ensuring appropriate management and optimal patient care. Here, we present a case of a 72-year-old man with metastatic carcinoma of unknown primary origin treated with pembrolizumab who developed an immune-related cutaneous adverse event (ircAE) in the form of lichenoid dermatitis.

摘要

帕博利珠单抗是一种免疫检查点抑制剂,已被批准用于多种癌症类型,如非小细胞肺癌(NSCLC)、转移性黑色素瘤、头颈癌、肝细胞癌和肾细胞癌。有许多关于接受免疫治疗的患者因出现免疫相关不良反应(irAE)而停药的报道病例。认识免疫治疗引起的皮肤毒性的组织病理学模式对于确保适当的管理和最佳的患者护理将变得越来越重要。在此,我们报告一例72岁男性患者,其原发灶不明的转移性癌接受帕博利珠单抗治疗后出现了苔藓样皮炎形式的免疫相关皮肤不良事件(ircAE)。

https://cdn.ncbi.nlm.nih.gov/pmc/blobs/02a8/8026086/5ccf06dcd202/cureus-0013-00000013768-i01.jpg

文献AI研究员

20分钟写一篇综述,助力文献阅读效率提升50倍。

立即体验

用中文搜PubMed

大模型驱动的PubMed中文搜索引擎

马上搜索

文档翻译

学术文献翻译模型,支持多种主流文档格式。

立即体验