Suppr超能文献

错配修复缺陷型结肠癌患者接受辅助化疗时的髓外造血

Extramedullary Hematopoiesis in Mismatch Repair Deficient Colon Cancer Patient on Adjuvant Chemotherapy.

作者信息

De Leo Edward K, Shah Chintan P, Grajo Joseph R, Liu Xiuli, Parekh Hiral

机构信息

Internal Medicine, University of Florida, Gainesville, USA.

Hematology and Oncology, University of Florida, Gainesville, USA.

出版信息

Cureus. 2021 Jan 25;13(1):e12899. doi: 10.7759/cureus.12899.

Abstract

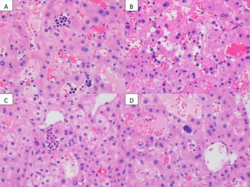
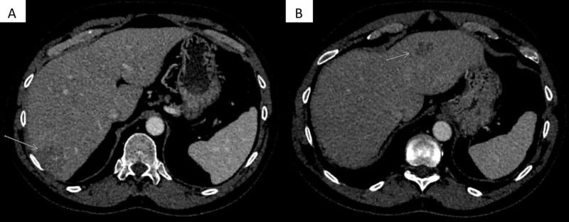
A 59-year-old male presented with a two-month history of abdominal pain and was found to have an obstructing cecal mass. Colonoscopy and biopsy confirmed invasive adenocarcinoma. Immunohistochemical analyses for mismatch repair (MMR) proteins revealed the loss of MLH1 as well as PMS2 in cancerous nuclei, which makes the tumor MMR deficient. Negative germline testing for MMR proteins ruled out the Lynch syndrome. After negative staging computerized tomography scan for distant metastases, he underwent ileocolectomy with ileotransverse colonic anastomosis. Final pathological analysis revealed poorly differentiated adenocarcinoma with signet ring features, negative margins, and 3/22 lymph nodes positive, classified as stage IIIB (T4aN1bM0). Adjuvant chemotherapy with modified FOLFOX (leucovorin calcium/folinic acid, fluorouracil, and oxaliplatin) was started without the use of any growth factor support. After cycle 9 of 12, he developed mild transaminitis, carcinoembryonic antigen elevation, and interval development of two heterogeneously enhancing hepatic lesions. Biopsy of both of these lesions revealed extramedullary hematopoiesis (EMH), with no evidence of metastatic disease. He completed adjuvant chemotherapy without complication, and these liver lesions have decreased in size during the follow-up period of almost two years thus far. EMH is extremely rare in patients with colon cancer. Contributing factors include therapy-specific (growth factor support), bone marrow suppression secondary to chemotherapy and radiation therapy, and tumor-specific factors (cytokine and growth factors released by the tumor). To the best of our knowledge, this is the first case report of EMH in an MMR deficient colon cancer patient on adjuvant FOLFOX. MMR-deficient tumors show signs of a high degree of infiltration with CD8+ cytotoxic T lymphocytes as well as helper T cells, leading to increased production of cytokines, such as interferon-γ. This could be a potential etiology behind EMH in our patient who was MMR deficient. The role of the MMR-deficient state in the development of EMH should be explored further.

摘要

一名59岁男性因腹痛两个月就诊,检查发现盲肠有梗阻性肿物。结肠镜检查及活检确诊为浸润性腺癌。错配修复(MMR)蛋白的免疫组化分析显示癌细胞核中MLH1及PMS2缺失,提示肿瘤MMR缺陷。MMR蛋白种系检测阴性排除了林奇综合征。在分期计算机断层扫描未发现远处转移后,他接受了回盲部切除术及回肠横结肠吻合术。最终病理分析显示为低分化腺癌,伴有印戒细胞特征,切缘阴性,22枚淋巴结中有3枚阳性,分类为IIIB期(T4aN1bM0)。开始采用改良FOLFOX方案(亚叶酸钙/甲酰四氢叶酸、氟尿嘧啶和奥沙利铂)进行辅助化疗,未使用任何生长因子支持。在12周期的第9周期后,他出现轻度转氨酶升高、癌胚抗原升高,并出现两个不均匀强化的肝脏病变。这两个病变的活检显示为髓外造血(EMH),无转移瘤证据。他顺利完成了辅助化疗,在迄今近两年的随访期间,这些肝脏病变大小减小。EMH在结肠癌患者中极为罕见。相关因素包括治疗特异性(生长因子支持)、化疗和放疗继发的骨髓抑制以及肿瘤特异性因素(肿瘤释放的细胞因子和生长因子)。据我们所知,这是首例关于接受辅助FOLFOX治疗的MMR缺陷型结肠癌患者发生EMH的病例报告。MMR缺陷型肿瘤表现出CD8+细胞毒性T淋巴细胞及辅助性T细胞高度浸润的迹象,导致细胞因子如干扰素-γ的产生增加。这可能是我们这位MMR缺陷患者发生EMH的潜在病因。MMR缺陷状态在EMH发生中的作用应进一步探讨。

https://cdn.ncbi.nlm.nih.gov/pmc/blobs/fe89/7904111/0447b119b00d/cureus-0013-00000012899-i01.jpg

相似文献

2
Clinical impact of microsatellite instability in colon cancer following adjuvant FOLFOX therapy.
Cancer Chemother Pharmacol. 2010 Sep;66(4):659-67. doi: 10.1007/s00280-009-1206-3. Epub 2009 Dec 24.
5
Clinicopathologic features of endometrial cancer with mismatch repair deficiency.
Ecancermedicalscience. 2020 Jun 18;14:1061. doi: 10.3332/ecancer.2020.1061. eCollection 2020.
6
[Correlation between mismatch-repair protein expression and clinicopathologic features in 658 colorectal cancers].
Zhonghua Bing Li Xue Za Zhi. 2018 Nov 8;47(11):827-833. doi: 10.3760/cma.j.issn.0529-5807.2018.11.003.
8
Microsatellite instability testing and its role in the management of colorectal cancer.
Curr Treat Options Oncol. 2015 Jul;16(7):30. doi: 10.1007/s11864-015-0348-2.
9
A combined analysis of mismatch repair status and thymidylate synthase expression in stage II and III colon cancer.
Clin Colorectal Cancer. 2013 Jun;12(2):128-35. doi: 10.1016/j.clcc.2012.11.003. Epub 2012 Dec 29.

引用本文的文献

1
2
Importance of Early Next-Generation Sequencing in Microsatellite Unstable Colon Cancer With a High Tumor Mutation Burden.
Cureus. 2022 Mar 6;14(3):e22894. doi: 10.7759/cureus.22894. eCollection 2022 Mar.
3
Extramedullary Hematopoiesis of the Liver and Spleen.
J Clin Med. 2021 Dec 13;10(24):5831. doi: 10.3390/jcm10245831.
4
Myelopoiesis during Solid Cancers and Strategies for Immunotherapy.
Cells. 2021 Apr 21;10(5):968. doi: 10.3390/cells10050968.

本文引用的文献

1
Extramedullary hematopoiesis secondary to malignant solid tumors: a case report and literature review.
Cancer Manag Res. 2018 Jun 8;10:1461-1470. doi: 10.2147/CMAR.S161746. eCollection 2018.
2
The vigorous immune microenvironment of microsatellite instable colon cancer is balanced by multiple counter-inhibitory checkpoints.
Cancer Discov. 2015 Jan;5(1):43-51. doi: 10.1158/2159-8290.CD-14-0863. Epub 2014 Oct 30.
3
Microsatellite instability and colorectal cancer.
Arch Pathol Lab Med. 2011 Oct;135(10):1269-77. doi: 10.5858/arpa.2011-0035-RA.
4
Pathologic predictors of microsatellite instability in colorectal cancer.
Am J Surg Pathol. 2009 Jan;33(1):126-33. doi: 10.1097/PAS.0b013e31817ec2b1.
5
Exceptional localization of extramedullary hematopoiesis: presacral and periureteral masses.
Acta Radiol. 2007 Mar;48(2):246-8. doi: 10.1080/02841850601128991.
6
Benign extramedullary myeloid proliferations.
Mod Pathol. 2007 Apr;20(4):405-15. doi: 10.1038/modpathol.3800768. Epub 2007 Mar 2.
7
Mass-forming extramedullary hematopoiesis diagnosed by fine-needle aspiration cytology.
Diagn Cytopathol. 2006 Dec;34(12):807-11. doi: 10.1002/dc.20557.
9
BR96-doxorubicin conjugate (BMS-182248) versus doxorubicin: a comparative toxicity assessment in rats.
Toxicol Pathol. 1994 Sep-Oct;22(5):473-88. doi: 10.1177/019262339402200502.

文献AI研究员

20分钟写一篇综述,助力文献阅读效率提升50倍。

立即体验

用中文搜PubMed

大模型驱动的PubMed中文搜索引擎

马上搜索

文档翻译

学术文献翻译模型,支持多种主流文档格式。

立即体验