Suppr超能文献

一名患有多个环形强化病灶的HIV患者原发性中枢神经系统淋巴瘤的诊断

Diagnosis of primary CNS lymphoma in a HIV patient with multiple ring-enhancing lesions.

作者信息

Patel Nishant, Charate Rishi

机构信息

Department of Internal Medicine, University of Louisville, Louisville, KY, USA.

出版信息

IDCases. 2021 Mar 10;24:e01065. doi: 10.1016/j.idcr.2021.e01065. eCollection 2021.

Abstract

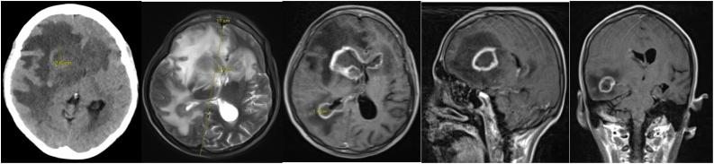
Multiple ring-enhancing lesions on brain MRI in an immunocompromised patient are frequently associated with opportunistic infections such as toxoplasmosis. In this report, we describe the case of a patient with HIV/AIDS who was found to having multiple ring-enhancing lesions and was diagnosed with a primary central nervous system lymphoma.

摘要

免疫功能低下患者脑部磁共振成像(MRI)上出现的多发环形强化病灶常与机会性感染相关,如弓形虫病。在本报告中,我们描述了一例人类免疫缺陷病毒(HIV)/获得性免疫缺陷综合征(AIDS)患者,该患者被发现有多发环形强化病灶,并被诊断为原发性中枢神经系统淋巴瘤。

https://cdn.ncbi.nlm.nih.gov/pmc/blobs/0335/8022152/59c3334fde90/gr1.jpg

相似文献

1
Diagnosis of primary CNS lymphoma in a HIV patient with multiple ring-enhancing lesions.
IDCases. 2021 Mar 10;24:e01065. doi: 10.1016/j.idcr.2021.e01065. eCollection 2021.
6
Cerebellar toxoplasmosis in HIV/AIDS: a case report.
West Afr J Med. 2010 Mar-Apr;29(2):123-6. doi: 10.4314/wajm.v29i2.68208.
7
Opportunistic infections of the CNS in patients with AIDS: diagnosis and management.
CNS Drugs. 2003;17(12):869-87. doi: 10.2165/00023210-200317120-00002.
9
Atypical imaging appearance of toxoplasmosis in an HIV patient as a butterfly lesion.
J Magn Reson Imaging. 2009 Oct;30(4):873-5. doi: 10.1002/jmri.21924.

引用本文的文献

本文引用的文献

2
Management of HIV-associated focal brain lesions in developing countries.
QJM. 2004 Jul;97(7):413-21. doi: 10.1093/qjmed/hch080.
3
Changes in AIDS-related lymphoma since the era of highly active antiretroviral therapy.
Blood. 2001 Oct 15;98(8):2339-44. doi: 10.1182/blood.v98.8.2339.
5
Primary intracranial neoplasms in patients with HIV.
Neurology. 1999 May 12;52(8):1648-51. doi: 10.1212/wnl.52.8.1648.
7
Non-Hodgkin's lymphoma among people with AIDS: incidence, presentation and public health burden. AIDS/Cancer Study Group.
Int J Cancer. 1997 Nov 27;73(5):645-50. doi: 10.1002/(sici)1097-0215(19971127)73:5<645::aid-ijc6>3.0.co;2-x.
8
CNS involvement in AIDS: spectrum of CT and MR findings.
Eur Radiol. 1997;7(7):1091-7. doi: 10.1007/s003300050260.

文献AI研究员

20分钟写一篇综述,助力文献阅读效率提升50倍。

立即体验

用中文搜PubMed

大模型驱动的PubMed中文搜索引擎

马上搜索

文档翻译

学术文献翻译模型,支持多种主流文档格式。

立即体验