Suppr超能文献

与严重高血糖和脑过度灌注相关的不可逆性同位性偏盲:病例报告及文献复习。

Irreversible Homonymous Hemianopia Associated with Severe Hyperglycemia and Cerebral Hyperperfusion: A Case Report and Literature Review.

机构信息

Department of Stroke Neurology, Kohnan Hospital, Japan.

出版信息

Intern Med. 2021 Oct 1;60(19):3161-3166. doi: 10.2169/internalmedicine.6994-21. Epub 2021 Apr 19.

Abstract

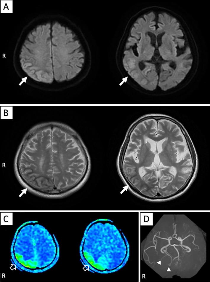
A 68-year-old man was admitted to our department because of left incomplete homonymous hemianopia accompanied by hyperglycemia. Both T2-weighted and diffusion-weighted imaging revealed a low signal intensity along the subcortex and high signal intensity along the cortex on the right parietal and occipital lobes. Furthermore, arterial spin labeling and single-photon emission computed tomography showed hyperperfusion at the right parieto-occipital lobe. However, the electroencephalography result was normal. Hyperperfusion improved after controlling the blood glucose levels; nevertheless, homonymous hemianopia remained. We suspect that the irreversible brain damage was attributable to hyperperfusion associated with long-term hyperglycemia.

摘要

一位 68 岁男性因左不完全面盲伴高血糖症被收入我科。T2 加权像和弥散加权成像显示右侧顶叶和枕叶皮质及皮质下均呈低信号,而呈高信号。此外,动脉自旋标记和单光子发射计算机断层扫描显示右侧顶枕叶高灌注。然而,脑电图结果正常。血糖控制后高灌注改善,但仍存在同向偏盲。我们怀疑与长期高血糖相关的高灌注导致了不可逆转的脑损伤。

https://cdn.ncbi.nlm.nih.gov/pmc/blobs/6fb5/8545641/2641339d2f4c/1349-7235-60-3161-g001.jpg

相似文献

1
Irreversible Homonymous Hemianopia Associated with Severe Hyperglycemia and Cerebral Hyperperfusion: A Case Report and Literature Review.
Intern Med. 2021 Oct 1;60(19):3161-3166. doi: 10.2169/internalmedicine.6994-21. Epub 2021 Apr 19.
3
Neuroimaging analysis of a case with left homonymous hemianopia and left hemispatial neglect.
Jpn J Ophthalmol. 2003 Jan-Feb;47(1):59-63. doi: 10.1016/s0021-5155(02)00619-6.
5
[A case of painful seizure accompanying ictal paresis and homonymous hemianopia due to post-stroke epilepsy].
Rinsho Shinkeigaku. 2018 Aug 31;58(8):492-498. doi: 10.5692/clinicalneurol.cn-001167. Epub 2018 Jul 31.
6
Pursuit-paretic and epileptic nystagmus in MELAS.
J Neuroophthalmol. 2012 Jun;32(2):135-8. doi: 10.1097/WNO.0b013e31824d2a15.
7
Clinical study of the visual field defects caused by occipital lobe lesions.
Cerebrovasc Dis. 2014;37(2):102-8. doi: 10.1159/000356848. Epub 2014 Jan 16.
8
Homonymous visual field defects in patients without corresponding structural lesions on neuroimaging.
J Neuroophthalmol. 2000 Jun;20(2):92-6. doi: 10.1097/00041327-200020020-00005.
9
Hyperglycemia with occipital seizures: images and visual evoked potentials.
Epilepsia. 2005 Jul;46(7):1140-4. doi: 10.1111/j.1528-1167.2005.56404.x.

引用本文的文献

1
Dark White Matter: Evidence of a Peri-Ictal MRI Sign from a Systematic Review.
J Clin Med. 2025 Jun 29;14(13):4607. doi: 10.3390/jcm14134607.
2
Acute Hemianopia Associated With Nonketotic Hyperglycemia: A Case Report With Advanced Neuroimaging Findings.
Cureus. 2025 May 23;17(5):e84708. doi: 10.7759/cureus.84708. eCollection 2025 May.

本文引用的文献

1
Homonymous hemianopia in nonketotic hyperglycemia is an ictal phenomenon.
Neurol Clin Pract. 2013 Oct;3(5):392-397. doi: 10.1212/CPJ.0b013e3182a7bb76.
2
Occipital seizures and persistent homonymous hemianopia with T2 hypointensity on MRI in nonketotic hyperglycemia.
Epilepsy Behav Case Rep. 2016 May 10;6:3-5. doi: 10.1016/j.ebcr.2016.04.008. eCollection 2016.
3
Capability of arterial spin labeling MR imaging in localizing seizure focus in clinical seizure activity.
Eur J Radiol. 2016 Jul;85(7):1295-303. doi: 10.1016/j.ejrad.2016.04.015. Epub 2016 Apr 29.
4
Occipital seizures and subcortical T2 hypointensity in the setting of hyperglycemia.
Epilepsy Behav Case Rep. 2014 Apr 25;2:96-9. doi: 10.1016/j.ebcr.2014.01.001. eCollection 2014.
5
Clinical reasoning: acute-onset homonymous hemianopia with hyperglycemia: seeing is believing.
Neurology. 2014 Apr 15;82(15):e129-33. doi: 10.1212/WNL.0000000000000308.
6
Neuroimaging in seizure patients associated with nonketotic hyperglycemia.
Neuroradiol J. 2011 May 15;24(2):215-20. doi: 10.1177/197140091102400208. Epub 2011 May 11.
7
Blood-brain barrier disruption is involved in seizure and hemianopsia in nonketotic hyperglycemia.
Neurologist. 2011 May;17(3):164-6. doi: 10.1097/NRL.0b013e3182173528.
8
Occipital lobe seizures related to marked elevation of hemoglobin A1C: report of two cases.
Seizure. 2010 Jul;19(6):359-62. doi: 10.1016/j.seizure.2010.05.006. Epub 2010 Jun 16.
9
Magnetic resonance spectroscopy findings in a case of hyperglycaemic hemianopia.
Rev Neurol (Paris). 2010 Aug-Sep;166(8-9):737-40. doi: 10.1016/j.neurol.2009.12.010. Epub 2010 Mar 10.
10
Reversible hyperglycemic homonymous hemianopia.
J Natl Med Assoc. 2009 Apr;101(4):373-6. doi: 10.1016/s0027-9684(15)30888-9.

文献AI研究员

20分钟写一篇综述,助力文献阅读效率提升50倍。

立即体验

用中文搜PubMed

大模型驱动的PubMed中文搜索引擎

马上搜索

文档翻译

学术文献翻译模型,支持多种主流文档格式。

立即体验