Suppr超能文献

由……引起的出血性肺炎和上叶肺空洞性病变。 (原句不完整,翻译只能到这里,推测原句可能是想表达由某种病因导致的这些病症)

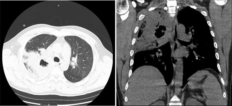
Hemorrhagic pneumonia and upper lobe pulmonary cavitary lesion caused by .

作者信息

Nair Gayatri B, Gopalakrishna Harish, Conti Ricardo

机构信息

Department of Medicine, Saint Agnes Healthcare, Baltimore, UNITED STATES.

出版信息

J Community Hosp Intern Med Perspect. 2021 Mar 23;11(2):235-237. doi: 10.1080/20009666.2021.1877394.

Abstract

A 33-year-old previously healthy man from Mexico who presented with massive hemoptysis, fevers, chills and found to have cavitary lesions in the right upper lobe of lung was highly suspicious for tuberculosis. The patient was treated with vancomycin, ceftriaxone, azithromycin and placed on isolation for suspected tuberculosis. Sputum AFB stains were negative and blood cultures grew Group A Streptococcus [GAS]. Antibiotics were narrowed down to ampicillin-sulbactam and the patient was discharged with significant clinical improvement. Strep A pyogenes is a rare cause of cavitary hemorrhagic pneumonia but is associated with high mortality. Clinical suspicion and early diagnosis are crucial in saving the patient.

摘要

一名来自墨西哥的33岁既往健康男性,出现大量咯血、发热、寒战,胸部X线检查发现右上肺有空洞性病变,高度怀疑患有肺结核。患者接受了万古霉素、头孢曲松、阿奇霉素治疗,并因疑似肺结核被隔离。痰抗酸杆菌染色阴性,血培养结果为A组链球菌(GAS)。抗生素调整为氨苄西林 - 舒巴坦,患者出院时临床症状明显改善。化脓性A组链球菌是空洞性出血性肺炎的罕见病因,但死亡率很高。临床怀疑和早期诊断对挽救患者至关重要。

https://cdn.ncbi.nlm.nih.gov/pmc/blobs/e8fa/8043538/3adcbd71186d/ZJCH_A_1877394_F0001_B.jpg

文献AI研究员

20分钟写一篇综述,助力文献阅读效率提升50倍。

立即体验

用中文搜PubMed

大模型驱动的PubMed中文搜索引擎

马上搜索

文档翻译

学术文献翻译模型,支持多种主流文档格式。

立即体验