Suppr超能文献

机器人辅助下对一名指甲-髌骨综合征患者进行外侧单髁膝关节置换术

Robotic-Assisted Lateral Unicompartmental Knee Arthroplasty in a Patient With Nail-Patella Syndrome.

作者信息

Vakharia Rushabh M, Meneses Zaimary A, Ardeljan Andrew D, Roche Martin W

机构信息

Department of Orthopaedic Surgery, Maimonides Medical Center, Brooklyn, NY.

Florida Atlantic University, College of Medicine, Boca Raton, FL.

出版信息

Arthroplast Today. 2021 Apr 2;8:171-175. doi: 10.1016/j.artd.2021.02.018. eCollection 2021 Apr.

Abstract

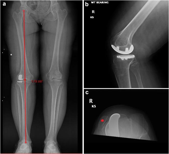
A 59-year-old woman with nail patella syndrome (NPS) presented with progressive and severe right knee pain for the past 3 years. Imaging demonstrated laterally dislocated patella, with asymmetric femoral trochlea, and advanced lateral compartment arthritis. The patient underwent robotic-assisted lateral unicompartmental knee arthroplasty (RAUKA). The patient saw marked improvements in patient-reported outcome measurements from her initial visit to the last follow-up visit. While treatment of knee osteoarthritis in patients with NPS can be difficult, especially with attempts of patellar realignment, we present a case of a patient who underwent RAUKA, with sustained improvements in patient outcomes and range of motion, at the 2-year follow-up visit. This study is the first of its kind to demonstrate the use of a novel technology in a rare condition.

摘要

一名59岁的指甲髌骨综合征(NPS)女性患者,在过去3年中出现进行性严重右膝疼痛。影像学检查显示髌骨外侧脱位,股骨滑车不对称,外侧间室关节炎进展。该患者接受了机器人辅助外侧单髁膝关节置换术(RAUKA)。从初次就诊到最后一次随访,患者报告的结局指标有显著改善。虽然NPS患者的膝骨关节炎治疗可能很困难,尤其是在尝试髌骨重新定位时,但我们介绍了一例接受RAUKA治疗的患者,在2年随访时患者结局和活动范围持续改善。本研究首次证明了在罕见疾病中使用新技术的情况。

https://cdn.ncbi.nlm.nih.gov/pmc/blobs/e6bb/8049876/c7d7d3d68344/gr1.jpg

文献AI研究员

20分钟写一篇综述,助力文献阅读效率提升50倍。

立即体验

用中文搜PubMed

大模型驱动的PubMed中文搜索引擎

马上搜索

文档翻译

学术文献翻译模型,支持多种主流文档格式。

立即体验