Suppr超能文献

伊布替尼初治时慢性淋巴细胞白血病患者未化疗即早期转化为经典型霍奇金淋巴瘤。

Early Transformation to Classic Hodgkin Lymphoma in a Chemotherapy-naïve Chronic Lymphocytic Leukemia Patient upon Initial Treatment with Ibrutinib.

机构信息

Department of Hematology/Oncology, University of Yamanashi, Japan.

Department of Pathology, University of Yamanashi, Japan.

出版信息

Intern Med. 2021 Oct 15;60(20):3305-3308. doi: 10.2169/internalmedicine.6979-20. Epub 2021 Apr 26.

Abstract

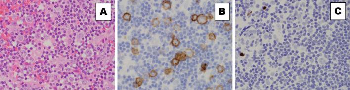
A 71-year-old woman with a four-year history of chronic lymphocytic leukemia (CLL) received ibrutinib as initial treatment due to progressive anemia and thrombocytopenia. Eleven months after the start of the treatments, although her cytopenia had ameliorated, she developed classic Hodgkin lymphoma, a rare form of Richter's transformation. She was successfully treated with two courses of adriamycin, vinblastin, bleomycin and dacarbazine followed by radiotherapy. In general, several clinical, genetic and molecular factors are associated with Richter's transformation. In addition, our present case suggested that ibrutinib could be a potential risk factor for Richter's transformation in CLL patients.

摘要

一位 71 岁女性,患有慢性淋巴细胞白血病(CLL)四年,因进行性贫血和血小板减少症接受伊布替尼作为初始治疗。治疗开始 11 个月后,尽管她的血细胞减少症已得到改善,但她却发展出了经典霍奇金淋巴瘤,这是一种罕见的里希特转化形式。她成功地接受了两个疗程的阿霉素、长春碱、博来霉素和达卡巴嗪治疗,随后进行了放疗。一般来说,几种临床、遗传和分子因素与里希特转化相关。此外,我们的病例提示伊布替尼可能是 CLL 患者发生里希特转化的一个潜在危险因素。

https://cdn.ncbi.nlm.nih.gov/pmc/blobs/327a/8580765/e2bad27438af/1349-7235-60-3305-g001.jpg

文献检索

告别复杂PubMed语法,用中文像聊天一样搜索,搜遍4000万医学文献。AI智能推荐,让科研检索更轻松。

立即免费搜索

文件翻译

保留排版,准确专业,支持PDF/Word/PPT等文件格式,支持 12+语言互译。

免费翻译文档

深度研究

AI帮你快速写综述,25分钟生成高质量综述,智能提取关键信息,辅助科研写作。

立即免费体验