Suppr超能文献

血管紧张素转换酶抑制剂所致头颈部血管性水肿的影像学综述

Imaging Review of Angiotensin-Converting Enzyme Inhibitor-Induced Angioedema of the Head and Neck.

作者信息

Baig Saif, Stein Rachel, Haymes Dalys, Fiester Peter, Rao Dinesh

机构信息

Radiology, Nassau University Medical Center, East Meadow, USA.

Neuroradiology, University of Florida Health, Jacksonville, USA.

出版信息

Cureus. 2021 Mar 21;13(3):e14021. doi: 10.7759/cureus.14021.

Abstract

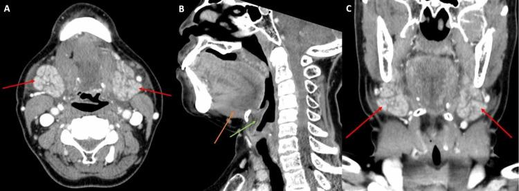
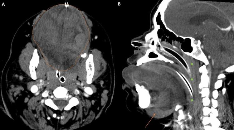
Angiotensin-converting enzyme inhibitors (ACE-i) are commonly used medications to treat hypertension and congestive heart failure. Angioedema is a well-established side effect of ACE-i and most commonly manifests as swelling of the mucosal and extra-mucosal soft tissues in the head and neck. CT with contrast is generally used to evaluate for airway compromise and to exclude other etiologies of edema. Herein we present five cases that illustrate the radiological findings specific to ACE-i-induced angioedema on enhanced CT scans.

摘要

血管紧张素转换酶抑制剂(ACE-i)是治疗高血压和充血性心力衰竭的常用药物。血管性水肿是ACE-i公认的副作用,最常见的表现为头颈部黏膜和黏膜外软组织肿胀。增强CT通常用于评估气道是否受阻,并排除其他水肿病因。在此,我们展示5例病例,以说明增强CT扫描中ACE-i诱导的血管性水肿的特异性影像学表现。

https://cdn.ncbi.nlm.nih.gov/pmc/blobs/3394/8057747/e66622f79b97/cureus-0013-00000014021-i01.jpg

文献AI研究员

20分钟写一篇综述,助力文献阅读效率提升50倍。

立即体验

用中文搜PubMed

大模型驱动的PubMed中文搜索引擎

马上搜索

文档翻译

学术文献翻译模型,支持多种主流文档格式。

立即体验