• 文献检索
  • 文档翻译
  • 深度研究
  • 学术资讯
  • Suppr Zotero 插件Zotero 插件
  • 邀请有礼
  • 套餐&价格
  • 历史记录
应用&插件
Suppr Zotero 插件Zotero 插件浏览器插件Mac 客户端Windows 客户端微信小程序
定价
高级版会员购买积分包购买API积分包
服务
文献检索文档翻译深度研究API 文档MCP 服务
关于我们
关于 Suppr公司介绍联系我们用户协议隐私条款
关注我们

Suppr 超能文献

核心技术专利:CN118964589B侵权必究
粤ICP备2023148730 号-1Suppr @ 2026

文献检索

告别复杂PubMed语法,用中文像聊天一样搜索,搜遍4000万医学文献。AI智能推荐,让科研检索更轻松。

立即免费搜索

文件翻译

保留排版,准确专业,支持PDF/Word/PPT等文件格式,支持 12+语言互译。

免费翻译文档

深度研究

AI帮你快速写综述,25分钟生成高质量综述,智能提取关键信息,辅助科研写作。

立即免费体验

死后计算机断层扫描中纵隔-胸腔比的评估。

Evaluation of the mediastinal-thoracic volume ratio on postmortem computed tomography.

机构信息

Department of Forensic Medicine and Imaging, Institute of Forensic Medicine, University of Zurich, Zurich, Switzerland.

Department of Radiology, Kantonsspital Baden, Baden, Switzerland.

出版信息

Int J Legal Med. 2021 Sep;135(5):1903-1912. doi: 10.1007/s00414-021-02593-0. Epub 2021 Apr 28.

DOI:10.1007/s00414-021-02593-0
PMID:33909145
原文链接:https://pmc.ncbi.nlm.nih.gov/articles/PMC8354949/
Abstract

OBJECTIVES

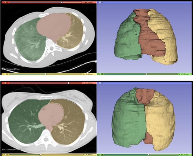
The aim of this study was to measure the mediastinal-thoracic volume ratio (CTR_VOL) on PMCT as a more accurate version of traditional CTR, in order to assess the terminal positional relationship between the heart and lungs in the different causes of death with regard to age, gender, BMI, cardiomegaly, and lung expansion.

MATERIALS

Two hundred fifty consecutive postmortem cases with pre-autopsy PMCT and full forensic autopsy were retrospectively evaluated. The lungs and the mediastinum were manually segmented on the PMCT data and the correspondent volumes were estimated in situ. CTR_VOL was calculated as the ratio of the mediastinal to the thoracic volume. The volume measurements were repeated by the same rater for the evaluation of the intrarater reliability. Age, gender, body weight and height, heart weight at autopsy, and cause of death were retrieved from the autopsy reports. Presence of lung expansion was radiologically evaluated in situ.

RESULTS

CTR_VOL was positively associated with age and BMI but not with gender and was higher for cardiomegaly compared to normal hearts, lower for asphyxiation-related deaths compared to cardiac deaths and intoxications, and lower for cases with lung expansion. The intrarater reliability was excellent for the calculated volumes of both lungs and mediastinum.

CONCLUSION

The results of the present study support CTR_VOL as a tool to assess the relationship between the heart and lungs in situ, which differs significantly between the studied cause of death categories.

摘要

目的

本研究旨在测量 PMCT 上的纵隔-胸腔体积比(CTR_VOL),作为传统 CTR 的更准确版本,以评估不同死因与年龄、性别、BMI、心脏增大和肺扩张有关的心肺终端位置关系。

材料

回顾性评估了 250 例连续行 PMCT 检查的尸检前病例和完整法医尸检。手动在 PMCT 数据上对肺和纵隔进行分段,并在原位估计相应的体积。CTR_VOL 计算为纵隔与胸腔体积的比值。通过同一评估者重复体积测量,以评估内部评估者的可靠性。从尸检报告中检索年龄、性别、体重和身高、尸检时的心脏重量和死因。在原位通过放射学评估肺扩张的存在。

结果

CTR_VOL 与年龄和 BMI 呈正相关,但与性别无关,与正常心脏相比,心脏增大的 CTR_VOL 更高,与心脏死亡和中毒相比,窒息相关死亡的 CTR_VOL 更低,与肺扩张的病例相比, CTR_VOL 更低。计算出的双肺和纵隔体积的内部评估者可靠性均为优秀。

结论

本研究结果支持 CTR_VOL 作为一种在原位评估心肺关系的工具,在研究的死因类别之间存在显著差异。

https://cdn.ncbi.nlm.nih.gov/pmc/blobs/a660/8354949/70b3b0128f6e/414_2021_2593_Fig2_HTML.jpg
https://cdn.ncbi.nlm.nih.gov/pmc/blobs/a660/8354949/0e83569913c8/414_2021_2593_Fig1_HTML.jpg
https://cdn.ncbi.nlm.nih.gov/pmc/blobs/a660/8354949/70b3b0128f6e/414_2021_2593_Fig2_HTML.jpg
https://cdn.ncbi.nlm.nih.gov/pmc/blobs/a660/8354949/0e83569913c8/414_2021_2593_Fig1_HTML.jpg
https://cdn.ncbi.nlm.nih.gov/pmc/blobs/a660/8354949/70b3b0128f6e/414_2021_2593_Fig2_HTML.jpg

相似文献

1
Evaluation of the mediastinal-thoracic volume ratio on postmortem computed tomography.死后计算机断层扫描中纵隔-胸腔比的评估。
Int J Legal Med. 2021 Sep;135(5):1903-1912. doi: 10.1007/s00414-021-02593-0. Epub 2021 Apr 28.
2
Cardiothoracic ratio in postmortem computed tomography: reliability and threshold for the diagnosis of cardiomegaly.尸检计算机断层扫描中的心胸比率:心脏扩大诊断的可靠性及阈值
Forensic Sci Med Pathol. 2014 Mar;10(1):44-9. doi: 10.1007/s12024-013-9504-9. Epub 2013 Oct 31.
3
Cardiothoracic ratio in postmortem chest radiography with regard to the cause of death.尸检胸部X线摄影中的心胸比率与死亡原因的关系。
Leg Med (Tokyo). 2010 Mar;12(2):73-8. doi: 10.1016/j.legalmed.2009.11.007. Epub 2010 Jan 29.
4
Postmortem virtual volumetry of the heart and lung in situ using CT data for investigating terminal cardiopulmonary pathophysiology in forensic autopsy.利用CT数据对心脏和肺进行死后原位虚拟容积测量,以研究法医尸检中的终末期心肺病理生理学。
Leg Med (Tokyo). 2014 Jul;16(4):187-92. doi: 10.1016/j.legalmed.2014.03.002. Epub 2014 Mar 18.
5
Forensic postmortem computed tomography: volumetric measurement of the heart and liver.法医死后计算机断层扫描:心脏和肝脏的体积测量
Forensic Sci Med Pathol. 2016 Dec;12(4):510-516. doi: 10.1007/s12024-016-9810-0. Epub 2016 Sep 28.
6
Comparison of the cardiothoracic ratio between postmortem and antemortem computed tomography.尸检后与生前计算机断层扫描心胸比的比较。
Leg Med (Tokyo). 2017 Jan;24:86-91. doi: 10.1016/j.legalmed.2016.12.006. Epub 2016 Dec 21.
7
The cardiothoracic ratio on post-mortem computer tomography.尸检计算机断层扫描中的心胸比率。
Int J Legal Med. 2016 Sep;130(5):1309-13. doi: 10.1007/s00414-016-1328-1. Epub 2016 Feb 17.
8
Cardiac dilatation index as an indicator of terminal central congestion evaluated using postmortem CT and forensic autopsy data.心脏扩张指数作为终末期中心性充血的指标,采用死后CT和法医尸检数据进行评估。
Forensic Sci Int. 2016 Jun;263:152-157. doi: 10.1016/j.forsciint.2016.04.002. Epub 2016 Apr 11.
9
New formula for cardiothoracic ratio for the diagnosis of cardiomegaly on post-mortem CT.死后 CT 诊断心脏增大的心胸比新公式。
Int J Legal Med. 2020 Mar;134(2):663-667. doi: 10.1007/s00414-019-02113-1. Epub 2019 Jul 25.
10
Postmortem volumetric CT data analysis of pulmonary air/gas content with regard to the cause of death for investigating terminal respiratory function in forensic autopsy.法医尸检中关于死亡原因的肺内空气/气体含量的死后容积CT数据分析,用于研究终末呼吸功能。
Forensic Sci Int. 2014 Aug;241:112-7. doi: 10.1016/j.forsciint.2014.05.012. Epub 2014 May 24.

引用本文的文献

1
The current state of forensic imaging - post mortem imaging.法医成像的现状——尸体剖验成像
Int J Legal Med. 2025 May;139(3):1141-1159. doi: 10.1007/s00414-025-03461-x. Epub 2025 Mar 24.
2
The Current Status of Virtual Autopsy Using Combined Imaging Modalities: A Scoping Review.使用联合成像方式的虚拟尸检现状:一项范围综述。
J Clin Med. 2025 Jan 25;14(3):782. doi: 10.3390/jcm14030782.
3
Thoracic mediastinal-occupying ratio predicts recovery and prognosis after lung transplantation.胸腔纵隔占据比可预测肺移植后的恢复和预后。

本文引用的文献

1
New formula for cardiothoracic ratio for the diagnosis of cardiomegaly on post-mortem CT.死后 CT 诊断心脏增大的心胸比新公式。
Int J Legal Med. 2020 Mar;134(2):663-667. doi: 10.1007/s00414-019-02113-1. Epub 2019 Jul 25.
2
Sex differences in respiratory function.呼吸功能的性别差异。
Breathe (Sheff). 2018 Jun;14(2):131-140. doi: 10.1183/20734735.000318.
3
Layering of stomach contents in drowning cases in post-mortem computed tomography compared to forensic autopsy.与法医尸检相比,死后计算机断层扫描中溺水病例胃内容物的分层情况。
Interact Cardiovasc Thorac Surg. 2022 Aug 3;35(3). doi: 10.1093/icvts/ivac106.
Int J Legal Med. 2019 Jan;133(1):181-188. doi: 10.1007/s00414-018-1850-4. Epub 2018 Apr 24.
4
Postmortem computed tomography findings in cases of bath-related death: Applicability and limitation in forensic practice.与沐浴相关死亡病例的尸体计算机断层扫描结果:在法医实践中的适用性和局限性
Forensic Sci Int. 2018 Jan;282:195-203. doi: 10.1016/j.forsciint.2017.11.030. Epub 2017 Dec 2.
5
Epicardial adipose tissue volume estimation by postmortem computed tomography of eviscerated hearts.通过去内脏心脏的死后计算机断层扫描估计心外膜脂肪组织体积
Forensic Sci Med Pathol. 2017 Dec;13(4):468-472. doi: 10.1007/s12024-017-9930-1. Epub 2017 Nov 2.
6
Comparison of the cardiothoracic ratio between postmortem and antemortem computed tomography.尸检后与生前计算机断层扫描心胸比的比较。
Leg Med (Tokyo). 2017 Jan;24:86-91. doi: 10.1016/j.legalmed.2016.12.006. Epub 2016 Dec 21.
7
Forensic postmortem computed tomography: volumetric measurement of the heart and liver.法医死后计算机断层扫描:心脏和肝脏的体积测量
Forensic Sci Med Pathol. 2016 Dec;12(4):510-516. doi: 10.1007/s12024-016-9810-0. Epub 2016 Sep 28.
8
A Guideline of Selecting and Reporting Intraclass Correlation Coefficients for Reliability Research.可靠性研究中组内相关系数选择与报告指南
J Chiropr Med. 2016 Jun;15(2):155-63. doi: 10.1016/j.jcm.2016.02.012. Epub 2016 Mar 31.
9
Methods for determining time of death.确定死亡时间的方法。
Forensic Sci Med Pathol. 2016 Dec;12(4):451-485. doi: 10.1007/s12024-016-9776-y. Epub 2016 Jun 4.
10
Cardiac dilatation index as an indicator of terminal central congestion evaluated using postmortem CT and forensic autopsy data.心脏扩张指数作为终末期中心性充血的指标,采用死后CT和法医尸检数据进行评估。
Forensic Sci Int. 2016 Jun;263:152-157. doi: 10.1016/j.forsciint.2016.04.002. Epub 2016 Apr 11.