Suppr超能文献

CD34+基质细胞/间充质干细胞作为乳腺浸润性小叶癌中癌相关成纤维细胞(CAFs)的来源

CD34+ Stromal Cells/Telocytes as a Source of Cancer-Associated Fibroblasts (CAFs) in Invasive Lobular Carcinoma of the Breast.

作者信息

Díaz-Flores Lucio, Gutiérrez Ricardo, González-Gómez Miriam, García Maria Pino, Díaz-Flores Lucio, Carrasco José Luís, Martín-Vasallo Pablo

机构信息

Department of Basic Medical Sciences, Faculty of Medicine, University of La Laguna, 38071 Tenerife, Spain.

Department of Pathology, Eurofins Megalab-Hospiten Hospitals, 38100 Tenerife, Spain.

出版信息

Int J Mol Sci. 2021 Apr 1;22(7):3686. doi: 10.3390/ijms22073686.

Abstract

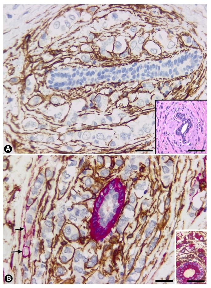
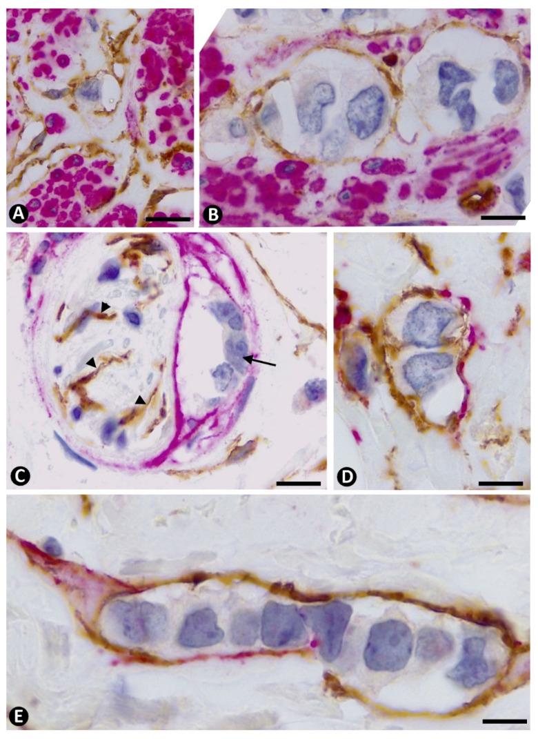
Several origins have been proposed for cancer-associated fibroblasts (CAFs), including resident CD34+ stromal cells/telocytes (CD34+SCs/TCs). The characteristics and arrangement of mammary CD34+SCs/TCs are well known and invasive lobular carcinoma of the breast (ILC) is one of the few malignant epithelial tumours with stromal cells that can express CD34 or αSMA, which could facilitate tracking these cells. Our objective is to assess whether tissue-resident CD34+SCs/TCs participate in the origin of CAFs in ILCs. For this purpose, using conventional and immunohistochemical procedures, we studied stromal cells in ILCs (n:42) and in normal breasts (n:6, also using electron microscopy). The results showed (a) the presence of anti-CD34+ or anti-αSMA+ stromal cells in varying proportion (from very rare in one of the markers to balanced) around nests/strands of neoplastic cells, (b) a similar arrangement and location of stromal cells in ILC to CD34+SCs/TCs in the normal breast, (c) both types of stromal cells coinciding around the same nest of neoplastic cells and (d) the coexpression of CD34 and αSMA in stromal cells in ILC. In conclusion, our findings support the hypothesis that resident CD34+SCs/TCs participate as an important source of CAFs in ILC. Further studies are required in this regard in other tumours.

摘要

关于癌症相关成纤维细胞(CAF)的起源有多种说法,其中包括驻留的CD34 +基质细胞/端细胞(CD34 + SCs/TCs)。乳腺CD34 + SCs/TCs的特征和排列是众所周知的,而乳腺浸润性小叶癌(ILC)是少数几种基质细胞可表达CD34或αSMA的恶性上皮肿瘤之一,这有助于追踪这些细胞。我们的目的是评估组织驻留的CD34 + SCs/TCs是否参与ILC中CAF的起源。为此,我们使用传统方法和免疫组织化学方法,研究了ILC(n = 42)和正常乳腺(n = 6,也使用电子显微镜)中的基质细胞。结果显示:(a)在肿瘤细胞巢/条索周围存在比例不同(从一种标志物中非常罕见到两者平衡)的抗CD34 +或抗αSMA +基质细胞;(b)ILC中基质细胞的排列和位置与正常乳腺中的CD34 + SCs/TCs相似;(c)两种类型的基质细胞在同一肿瘤细胞巢周围重合;(d)ILC中基质细胞存在CD34和αSMA的共表达。总之,我们的研究结果支持以下假设,即驻留的CD34 + SCs/TCs作为ILC中CAF的重要来源发挥作用。在这方面,其他肿瘤还需要进一步研究。

https://cdn.ncbi.nlm.nih.gov/pmc/blobs/e2f1/8037555/218bced286c3/ijms-22-03686-g001.jpg

文献检索

告别复杂PubMed语法,用中文像聊天一样搜索,搜遍4000万医学文献。AI智能推荐,让科研检索更轻松。

立即免费搜索

文件翻译

保留排版,准确专业,支持PDF/Word/PPT等文件格式,支持 12+语言互译。

免费翻译文档

深度研究

AI帮你快速写综述,25分钟生成高质量综述,智能提取关键信息,辅助科研写作。

立即免费体验