Suppr超能文献

我们如何通过经腹超声来处理胆囊病变?

How Can We Manage Gallbladder Lesions by Transabdominal Ultrasound?

作者信息

Okaniwa Shinji

机构信息

Department of Gastroenterology, Iida Municipal Hospital 1, Iida, Nagano 395-8502, Japan.

出版信息

Diagnostics (Basel). 2021 Apr 26;11(5):784. doi: 10.3390/diagnostics11050784.

Abstract

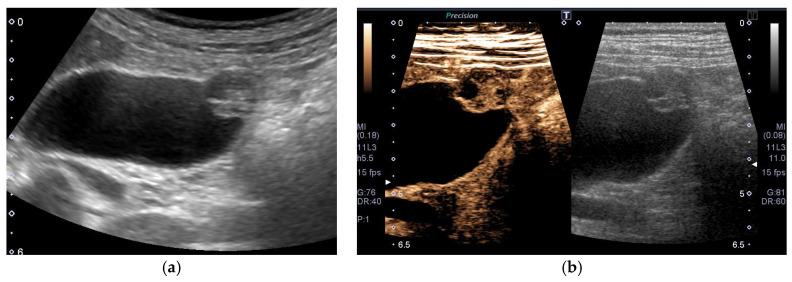
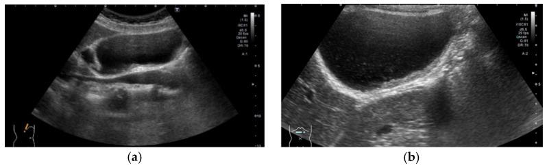
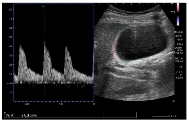
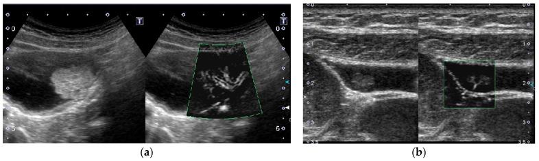
The most important role of ultrasound (US) in the management of gallbladder (GB) lesions is to detect lesions earlier and differentiate them from GB carcinoma (GBC). To avoid overlooking lesions, postural changes and high-frequency transducers with magnified images should be employed. GB lesions are divided into polypoid lesions (GPLs) and wall thickening (GWT). For GPLs, classification into pedunculated and sessile types should be done first. This classification is useful not only for the differential diagnosis but also for the depth diagnosis, as pedunculated carcinomas are confined to the mucosa. Both rapid GB wall blood flow (GWBF) and the irregularity of color signal patterns on Doppler imaging, and heterogeneous enhancement in the venous phase on contrast-enhanced ultrasound (CEUS) suggest GBC. Since GWT occurs in various conditions, subdividing into diffuse and focal forms is important. Unlike diffuse GWT, focal GWT is specific for GB and has a higher incidence of GBC. The discontinuity and irregularity of the innermost hyperechoic layer and irregular or disrupted GB wall layer structure suggest GBC. Rapid GWBF is also useful for the diagnosis of wall-thickened type GBC and pancreaticobiliary maljunction. Detailed B-mode evaluation using high-frequency transducers, combined with Doppler imaging and CEUS, enables a more accurate diagnosis.

摘要

超声(US)在胆囊(GB)病变管理中的最重要作用是更早地检测病变并将其与胆囊癌(GBC)区分开来。为避免漏诊病变,应采用体位改变以及具有放大图像的高频探头。GB病变分为息肉样病变(GPLs)和胆囊壁增厚(GWT)。对于GPLs,应首先分为有蒂型和无蒂型。这种分类不仅有助于鉴别诊断,也有助于深度诊断,因为有蒂癌局限于黏膜层。胆囊壁血流(GWBF)快速、多普勒成像时彩色信号模式不规则以及对比增强超声(CEUS)静脉期不均匀强化均提示GBC。由于GWT可在多种情况下出现,将其细分为弥漫性和局灶性形式很重要。与弥漫性GWT不同,局灶性GWT是GB特有的,且GBC发生率更高。最内层高回声层的连续性中断和不规则以及GB壁层结构不规则或破坏提示GBC。快速GWBF对壁增厚型GBC和胰胆管汇合异常的诊断也有帮助。使用高频探头进行详细的B超评估,结合多普勒成像和CEUS,可实现更准确的诊断。

https://cdn.ncbi.nlm.nih.gov/pmc/blobs/d1dd/8145033/3d3cb3d09c88/diagnostics-11-00784-g001.jpg

文献检索

告别复杂PubMed语法,用中文像聊天一样搜索,搜遍4000万医学文献。AI智能推荐,让科研检索更轻松。

立即免费搜索

文件翻译

保留排版,准确专业,支持PDF/Word/PPT等文件格式,支持 12+语言互译。

免费翻译文档

深度研究

AI帮你快速写综述,25分钟生成高质量综述,智能提取关键信息,辅助科研写作。

立即免费体验