Suppr超能文献

盐水乳房植入失败情况下的乳腺癌

Breast Cancer in the Presence of Failed Saline Breast Implants.

作者信息

Monib Sherif, Thomson Simon

机构信息

Breast Surgery, West Hertfordshire Hospitals NHS Trust, St. Albans, GBR.

出版信息

Cureus. 2021 Mar 31;13(3):e14204. doi: 10.7759/cureus.14204.

Abstract

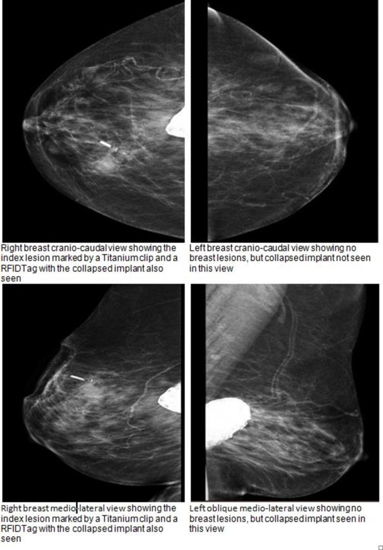
Breast augmentation has been gaining popularity over the last two decades to correct congenital breast asymmetry or increase breast size and projection. Augmentation options started with saline implants, then silicone implants, and, recently, autologous fat transfer. Unfortunately, breast implants are not without complications, some of which are common, like capsular contracture, implant failure and infection. Others are quite rare, such as Breast Implant-Associated Anaplastic Large Cell Lymphoma (BIA-ALCL). Most of these complications will eventually require explantation in most cases, as the patients' and implants' age and risk of complications increase. We present a 79-year-old patient who presented to our breast unit with a left breast lump with 50-year-old saline implants. A triple assessment revealed incidental right breast cancer treated with radiofrequency identification (RFID) tag-guided wide local excision, sentinel lymph node biopsy and bilateral explantation.

摘要

在过去二十年中,隆胸手术越来越受欢迎,用于矫正先天性乳房不对称或增加乳房大小和凸度。隆胸的选择最初是盐水植入物,然后是硅胶植入物,最近则是自体脂肪移植。不幸的是,乳房植入物并非没有并发症,其中一些很常见,如包膜挛缩、植入物失效和感染。其他则相当罕见,如乳房植入物相关间变性大细胞淋巴瘤(BIA-ALCL)。在大多数情况下,随着患者和植入物的年龄以及并发症风险增加,这些并发症中的大多数最终都需要取出植入物。我们介绍了一位79岁的患者,她因左乳房肿块来到我们的乳腺科,其乳房中植入了已有50年历史的盐水植入物。三重评估发现了偶然的右乳癌,通过射频识别(RFID)标签引导的广泛局部切除、前哨淋巴结活检和双侧植入物取出进行了治疗。

https://cdn.ncbi.nlm.nih.gov/pmc/blobs/a130/8086050/31538759cb4c/cureus-0013-00000014204-i01.jpg

文献AI研究员

20分钟写一篇综述,助力文献阅读效率提升50倍。

立即体验

用中文搜PubMed

大模型驱动的PubMed中文搜索引擎

马上搜索

文档翻译

学术文献翻译模型,支持多种主流文档格式。

立即体验