Alemayehu Tinsae, Assefa Selamawit, Deribessa Solomie Jebessa, Ambachew Semienew
American Medical Center, Addis Ababa, Ethiopia.
Division of Pediatric Infectious Diseases, Department of Pediatrics and Child Health, St. Paul's Hospital Millennium Medical College, Addis Ababa, Ethiopia.
Case Rep Infect Dis. 2021 Apr 15;2021:9934391. doi: 10.1155/2021/9934391. eCollection 2021.
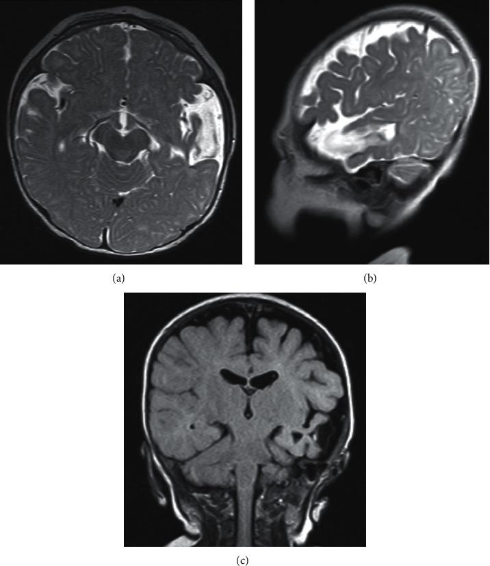
. Congenital toxoplasmosis is a major sequela of untreated primary maternal infection. With or without symptoms, untreated infections eventually lead to multiple neurologic complications. Despite the high seroprevalence in the Ethiopian population, there are no reports of newborns diagnosed and treated for congenital toxoplasmosis. . The clinical presentation, evaluation, and management of three infants with congenital toxoplasmosis are described. Two were symptomatic at birth. All three had confirmed diagnoses using serologic tests. Two completed their treatment with one infant developing complications of strabismus and seizure disorder. . There is little experience in managing congenital toxoplasmosis in Ethiopia due to constraints in diagnostics and therapy. The description of this first such report underscores the need for risk assessment and evaluation during antenatal care to obtain favorable fetal outcomes.
先天性弓形虫病是未治疗的原发性母体感染的主要后遗症。无论有无症状,未治疗的感染最终都会导致多种神经系统并发症。尽管埃塞俄比亚人群中血清阳性率很高,但尚无关于先天性弓形虫病新生儿诊断和治疗的报告。本文描述了3例先天性弓形虫病婴儿的临床表现、评估和管理。2例出生时出现症状。所有3例均通过血清学检测确诊。2例完成了治疗,其中1例出现斜视和癫痫障碍并发症。由于诊断和治疗方面的限制,埃塞俄比亚在管理先天性弓形虫病方面经验很少。这第一份此类报告的描述强调了在产前护理期间进行风险评估和评估以获得良好胎儿结局的必要性。