• 文献检索
  • 文档翻译
  • 深度研究
  • 学术资讯
  • Suppr Zotero 插件Zotero 插件
  • 邀请有礼
  • 套餐&价格
  • 历史记录
应用&插件
Suppr Zotero 插件Zotero 插件浏览器插件Mac 客户端Windows 客户端微信小程序
定价
高级版会员购买积分包购买API积分包
服务
文献检索文档翻译深度研究API 文档MCP 服务
关于我们
关于 Suppr公司介绍联系我们用户协议隐私条款
关注我们

Suppr 超能文献

核心技术专利:CN118964589B侵权必究
粤ICP备2023148730 号-1Suppr @ 2026

文献检索

告别复杂PubMed语法,用中文像聊天一样搜索,搜遍4000万医学文献。AI智能推荐,让科研检索更轻松。

立即免费搜索

文件翻译

保留排版,准确专业,支持PDF/Word/PPT等文件格式,支持 12+语言互译。

免费翻译文档

深度研究

AI帮你快速写综述,25分钟生成高质量综述,智能提取关键信息,辅助科研写作。

立即免费体验

Tspan5 通过激活 Notch 信号通路促进肝癌的上皮-间充质转化和肿瘤转移。

Tspan5 promotes epithelial-mesenchymal transition and tumour metastasis of hepatocellular carcinoma by activating Notch signalling.

机构信息

Key Laboratory of Antibody Engineering of Guangdong Higher Education Institutes, School of Laboratory Medicine and Biotechnology, Southern Medical University, Guangzhou, China.

Wenzhou Medical University Eye Hospital and School of Biomedical Engineering, China.

出版信息

Mol Oncol. 2021 Nov;15(11):3184-3202. doi: 10.1002/1878-0261.12980. Epub 2021 Jul 27.

DOI:10.1002/1878-0261.12980
PMID:33955149
原文链接:https://pmc.ncbi.nlm.nih.gov/articles/PMC8564648/
Abstract

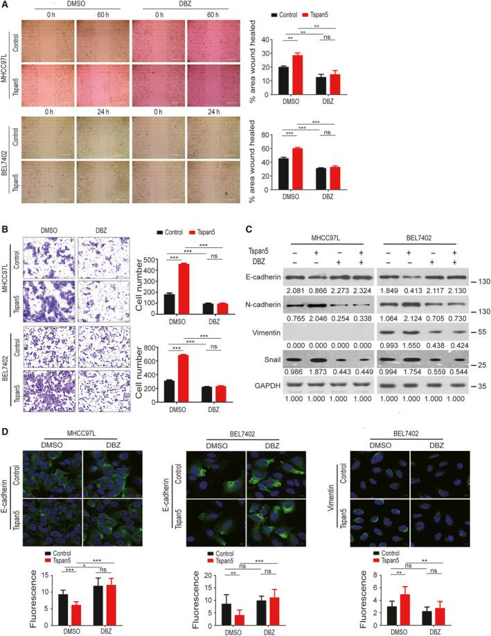
Hepatocellular carcinoma (HCC) is one of the most lethal cancers worldwide due to a high rate of tumour metastasis and disease recurrence. In physiological conditions, tetraspanins interact with specific partner proteins in tetraspanin-enriched microdomains and regulate their subcellular localization and function. However, the function of Tspan5 in pathological processes, particularly in cancer biology and its clinical significance, are still unclear. Here, we describe that a high expression of Tspan5 is significantly associated with some clinicopathological features including invasive length, vascular invasion, clinical stage and poor overall survival of HCC patients. Alterations of Tspan5 expression by lentivirus transductions in HCC cells demonstrated that Tspan5 promotes wound healing and cell migration in vitro and tumour metastasis of HCC cells in vivo. Mechanistic studies revealed that Tspan5 promoted cell migration and tumour metastasis by increasing the enzymatic maturation of ADAM10 and activating Notch signalling via the increase of the cleavage of the Notch1 receptor catalysed by the γ-secretase complex. Activation of Notch signalling by Tspan5 was shown further to enhance the epithelial-mesenchymal transition (EMT) and actin skeleton rearrangement of tumour cells. In clinical HCC samples, Tspan5 expression is strongly correlated with many key molecules acting in Notch signalling and EMT, highlighting the role of Tspan5 in the regulation of Notch signalling, EMT and tumour metastasis of HCC. Our findings provide new insights into the mechanism of tumour metastasis and disease progression of HCC and may facilitate the development of novel clinical intervention strategies against HCC.

摘要

肝细胞癌(HCC)是全球最致命的癌症之一,其肿瘤转移和疾病复发率很高。在生理条件下,四跨膜蛋白与富含四跨膜蛋白的微域中的特定伴侣蛋白相互作用,并调节它们的亚细胞定位和功能。然而,Tspan5 在病理过程中的功能,特别是在癌症生物学及其临床意义方面,仍然不清楚。在这里,我们描述了 Tspan5 的高表达与一些临床病理特征显著相关,包括 HCC 患者的浸润长度、血管侵犯、临床分期和总体生存率较差。通过慢病毒转导改变 HCC 细胞中的 Tspan5 表达,证明 Tspan5 促进了 HCC 细胞的体外伤口愈合和细胞迁移以及体内肿瘤转移。机制研究表明,Tspan5 通过增加 ADAM10 的酶成熟和激活 Notch 信号通路,增加 γ-分泌酶复合物催化的 Notch1 受体裂解,促进细胞迁移和肿瘤转移。Tspan5 激活 Notch 信号通路进一步增强了肿瘤细胞的上皮-间充质转化(EMT)和肌动蛋白骨架重排。在临床 HCC 样本中,Tspan5 的表达与 Notch 信号通路和 EMT 中许多关键分子强烈相关,突出了 Tspan5 在 HCC 中 Notch 信号通路、EMT 和肿瘤转移调控中的作用。我们的发现为 HCC 肿瘤转移和疾病进展的机制提供了新的见解,并可能为开发针对 HCC 的新型临床干预策略提供帮助。

https://cdn.ncbi.nlm.nih.gov/pmc/blobs/a2f9/8564648/dc826f4b6f28/MOL2-15-3184-g008.jpg
https://cdn.ncbi.nlm.nih.gov/pmc/blobs/a2f9/8564648/2394a73ad428/MOL2-15-3184-g003.jpg
https://cdn.ncbi.nlm.nih.gov/pmc/blobs/a2f9/8564648/7750836ffbc9/MOL2-15-3184-g006.jpg
https://cdn.ncbi.nlm.nih.gov/pmc/blobs/a2f9/8564648/41ca3be408f2/MOL2-15-3184-g005.jpg
https://cdn.ncbi.nlm.nih.gov/pmc/blobs/a2f9/8564648/248f0df338ad/MOL2-15-3184-g002.jpg
https://cdn.ncbi.nlm.nih.gov/pmc/blobs/a2f9/8564648/ed7945066c14/MOL2-15-3184-g007.jpg
https://cdn.ncbi.nlm.nih.gov/pmc/blobs/a2f9/8564648/758dcee875cf/MOL2-15-3184-g001.jpg
https://cdn.ncbi.nlm.nih.gov/pmc/blobs/a2f9/8564648/dc826f4b6f28/MOL2-15-3184-g008.jpg
https://cdn.ncbi.nlm.nih.gov/pmc/blobs/a2f9/8564648/2394a73ad428/MOL2-15-3184-g003.jpg
https://cdn.ncbi.nlm.nih.gov/pmc/blobs/a2f9/8564648/7750836ffbc9/MOL2-15-3184-g006.jpg
https://cdn.ncbi.nlm.nih.gov/pmc/blobs/a2f9/8564648/41ca3be408f2/MOL2-15-3184-g005.jpg
https://cdn.ncbi.nlm.nih.gov/pmc/blobs/a2f9/8564648/248f0df338ad/MOL2-15-3184-g002.jpg
https://cdn.ncbi.nlm.nih.gov/pmc/blobs/a2f9/8564648/ed7945066c14/MOL2-15-3184-g007.jpg
https://cdn.ncbi.nlm.nih.gov/pmc/blobs/a2f9/8564648/758dcee875cf/MOL2-15-3184-g001.jpg
https://cdn.ncbi.nlm.nih.gov/pmc/blobs/a2f9/8564648/dc826f4b6f28/MOL2-15-3184-g008.jpg

相似文献

1
Tspan5 promotes epithelial-mesenchymal transition and tumour metastasis of hepatocellular carcinoma by activating Notch signalling.Tspan5 通过激活 Notch 信号通路促进肝癌的上皮-间充质转化和肿瘤转移。
Mol Oncol. 2021 Nov;15(11):3184-3202. doi: 10.1002/1878-0261.12980. Epub 2021 Jul 27.
2
Role of IQGAP3 in metastasis and epithelial-mesenchymal transition in human hepatocellular carcinoma.IQGAP3 在人肝癌转移和上皮-间充质转化中的作用。
J Transl Med. 2017 Aug 15;15(1):176. doi: 10.1186/s12967-017-1275-8.
3
Programmed cell death 10 promotes metastasis and epithelial-mesenchymal transition of hepatocellular carcinoma via PP2Ac-mediated YAP activation.程序性细胞死亡蛋白 10 通过 PP2Ac 介导的 YAP 激活促进肝癌的转移和上皮间质转化。
Cell Death Dis. 2021 Sep 14;12(9):849. doi: 10.1038/s41419-021-04139-z.
4
MCUR1 facilitates epithelial-mesenchymal transition and metastasis via the mitochondrial calcium dependent ROS/Nrf2/Notch pathway in hepatocellular carcinoma.MCUR1 通过线粒体钙依赖性 ROS/Nrf2/Notch 通路促进肝癌中的上皮-间充质转化和转移。
J Exp Clin Cancer Res. 2019 Mar 25;38(1):136. doi: 10.1186/s13046-019-1135-x.
5
Actin-like 6A predicts poor prognosis of hepatocellular carcinoma and promotes metastasis and epithelial-mesenchymal transition.肌动蛋白样蛋白6A预示肝细胞癌预后不良,并促进转移和上皮-间质转化。
Hepatology. 2016 Apr;63(4):1256-71. doi: 10.1002/hep.28417. Epub 2016 Jan 26.
6
Over-expression of miR-106b promotes cell migration and metastasis in hepatocellular carcinoma by activating epithelial-mesenchymal transition process.miR-106b 的过表达通过激活上皮-间充质转化过程促进肝癌细胞迁移和转移。
PLoS One. 2013;8(3):e57882. doi: 10.1371/journal.pone.0057882. Epub 2013 Mar 6.
7
Long non-coding RNA NRON is downregulated in HCC and suppresses tumour cell proliferation and metastasis.长非编码 RNA NRON 在 HCC 中下调,抑制肿瘤细胞增殖和转移。
Biomed Pharmacother. 2018 Aug;104:102-109. doi: 10.1016/j.biopha.2018.05.006. Epub 2018 May 15.
8
HCRP1 downregulation promotes hepatocellular carcinoma cell migration and invasion through the induction of EGFR activation and epithelial-mesenchymal transition.HCRP1 下调通过诱导 EGFR 激活和上皮-间充质转化促进肝癌细胞迁移和侵袭。
Biomed Pharmacother. 2017 Apr;88:421-429. doi: 10.1016/j.biopha.2017.01.013. Epub 2017 Jan 22.
9
HEG1 indicates poor prognosis and promotes hepatocellular carcinoma invasion, metastasis, and EMT by activating Wnt/β-catenin signaling.HEG1 通过激活 Wnt/β-catenin 信号通路促进肝癌侵袭、转移和 EMT,预示着不良预后。
Clin Sci (Lond). 2019 Jul 25;133(14):1645-1662. doi: 10.1042/CS20190225. Print 2019 Jul 31.
10
Tspan5 is an independent favourable prognostic factor and suppresses tumour growth in gastric cancer.四跨膜蛋白5(Tspan5)是一个独立的良好预后因素,可抑制胃癌肿瘤生长。
Oncotarget. 2016 Jun 28;7(26):40160-40173. doi: 10.18632/oncotarget.9514.

引用本文的文献

1
Migrasome-Related Prognostic Genes in Gastric Cancer: A Transcriptomic and Immunotherapeutic Analysis.胃癌中与迁移体相关的预后基因:转录组学和免疫治疗分析
Onco Targets Ther. 2025 Aug 13;18:873-897. doi: 10.2147/OTT.S528050. eCollection 2025.
2
Study on the mechanism by which Xuanfu Hua Tang increases sensitivity of hepatocellular carcinoma cells to sorafenib by antagonizing the Notch1 pathway through HIF-2α.关于旋覆花汤通过HIF-2α拮抗Notch1通路增加肝癌细胞对索拉非尼敏感性的机制研究。
Front Oncol. 2025 May 15;15:1552480. doi: 10.3389/fonc.2025.1552480. eCollection 2025.
3
Current research of the Notch pathway in hepatocellular carcinoma.

本文引用的文献

1
Structural insights into tetraspanin CD9 function.四跨膜蛋白 CD9 功能的结构见解。
Nat Commun. 2020 Mar 30;11(1):1606. doi: 10.1038/s41467-020-15459-7.
2
Cancer statistics, 2020.癌症统计数据,2020 年。
CA Cancer J Clin. 2020 Jan;70(1):7-30. doi: 10.3322/caac.21590. Epub 2020 Jan 8.
3
TspanC8 tetraspanins differentially regulate ADAM10 endocytosis and half-life.TspanC8 四跨膜蛋白通过调控 ADAM10 的内吞作用和半衰期来发挥作用。
Notch信号通路在肝细胞癌中的当前研究
Eur J Med Res. 2025 May 20;30(1):402. doi: 10.1186/s40001-025-02626-z.
4
Notch signaling in cancers: mechanism and potential therapy.癌症中的Notch信号传导:机制与潜在疗法。
Front Cell Dev Biol. 2025 Feb 20;13:1542967. doi: 10.3389/fcell.2025.1542967. eCollection 2025.
5
Hepatocellular carcinoma: signaling pathways and therapeutic advances.肝细胞癌:信号通路与治疗进展
Signal Transduct Target Ther. 2025 Feb 7;10(1):35. doi: 10.1038/s41392-024-02075-w.
6
Antiviral therapy for hepatitis B virus infection is beneficial for the prognosis hepatocellular carcinoma.针对乙型肝炎病毒感染的抗病毒治疗对肝细胞癌的预后有益。
World J Gastrointest Oncol. 2025 Jan 15;17(1):93983. doi: 10.4251/wjgo.v17.i1.93983.
7
NOTCH3 promotes malignant progression of bladder cancer by directly regulating SPP1 and activating PI3K/AKT pathway.NOTCH3 通过直接调控 SPP1 和激活 PI3K/AKT 通路促进膀胱癌的恶性进展。
Cell Death Dis. 2024 Nov 18;15(11):840. doi: 10.1038/s41419-024-07241-0.
8
Tetraspanins in digestive‑system cancers: Expression, function and therapeutic potential (Review).消化系统癌症中的四跨膜蛋白:表达、功能与治疗潜能(综述)。
Mol Med Rep. 2024 Nov;30(5). doi: 10.3892/mmr.2024.13324. Epub 2024 Sep 6.
9
Notch signaling pathway in cancer: from mechanistic insights to targeted therapies. Notch 信号通路与癌症:从机制研究到靶向治疗。
Signal Transduct Target Ther. 2024 May 27;9(1):128. doi: 10.1038/s41392-024-01828-x.
10
The role of Tetraspanins in digestive system tumor development: update and emerging evidence.四跨膜蛋白在消化系统肿瘤发生发展中的作用:最新进展与新证据
Front Cell Dev Biol. 2024 Feb 8;12:1343894. doi: 10.3389/fcell.2024.1343894. eCollection 2024.
Life Sci Alliance. 2019 Dec 2;3(1). doi: 10.26508/lsa.201900444. Print 2020 Jan.
4
RN181 is a tumour suppressor in gastric cancer by regulation of the ERK/MAPK-cyclin D1/CDK4 pathway.RN181 通过调控 ERK/MAPK-细胞周期蛋白 D1/CDK4 通路抑制胃癌细胞生长。
J Pathol. 2019 Jun;248(2):204-216. doi: 10.1002/path.5246. Epub 2019 Apr 11.
5
Ramucirumab after sorafenib in patients with advanced hepatocellular carcinoma and increased α-fetoprotein concentrations (REACH-2): a randomised, double-blind, placebo-controlled, phase 3 trial.瑞戈非尼治疗后索拉非尼治疗失败的晚期肝细胞癌患者的 Ramucirumab(REACH-2):一项随机、双盲、安慰剂对照、3 期临床试验。
Lancet Oncol. 2019 Feb;20(2):282-296. doi: 10.1016/S1470-2045(18)30937-9. Epub 2019 Jan 18.
6
Cabozantinib in Patients with Advanced and Progressing Hepatocellular Carcinoma.卡博替尼治疗晚期和进展性肝细胞癌患者。
N Engl J Med. 2018 Jul 5;379(1):54-63. doi: 10.1056/NEJMoa1717002.
7
Lenvatinib versus sorafenib in first-line treatment of patients with unresectable hepatocellular carcinoma: a randomised phase 3 non-inferiority trial.乐伐替尼与索拉非尼用于不可切除肝细胞癌患者一线治疗的比较:一项随机、III 期非劣效性试验。
Lancet. 2018 Mar 24;391(10126):1163-1173. doi: 10.1016/S0140-6736(18)30207-1.
8
Regulation of the trafficking and the function of the metalloprotease ADAM10 by tetraspanins.四跨膜蛋白对金属蛋白酶ADAM10转运及功能的调控
Biochem Soc Trans. 2017 Aug 15;45(4):937-44. doi: 10.1042/BST20160296. Epub 2017 Jul 7.
9
Scissor sisters: regulation of ADAM10 by the TspanC8 tetraspanins.剪刀姐妹:TspanC8四跨膜蛋白对ADAM10的调控
Biochem Soc Trans. 2017 Jun 15;45(3):719-730. doi: 10.1042/BST20160290.
10
Regorafenib Approved for Liver Cancer.瑞戈非尼获批用于肝癌治疗。
Cancer Discov. 2017 Jul;7(7):660. doi: 10.1158/2159-8290.CD-NB2017-070. Epub 2017 May 18.