Yang Qing-Hua, Ma Xiao-Peng, Dai Dong-Ling, Bai Da-Ming, Zou Yu, Liu Si-Xi, Song Jian-Ming
Endoscopy Center and Gastroenterology Department, Shenzhen Children's Hospital, Shenzhen 518036, Guangdong Province, China.
Department of Pathology, Shenzhen Children's Hospital, Shenzhen 518036, Guangdong Province, China.
World J Gastroenterol. 2021 Apr 21;27(15):1655-1663. doi: 10.3748/wjg.v27.i15.1655.
Gastrointestinal cytomegalovirus (CMV) disease occurs commonly in immunocompromised/immunodeficient patients with advanced human immunodeficiency virus infection, neoplasm, solid organ transplantation, hematopoietic stem cell transplantation, or treatment with immunosuppressants, but is rarely reported in association with measles infection.
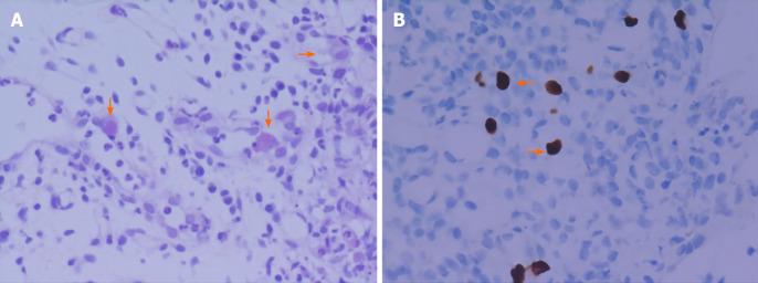
We describe a case of extensive gastrointestinal CMV disease secondary to measles infection in a 9-mo-old boy who presented with persistent fever and bloody diarrhea. His condition was improved after ganciclovir treatment. Serological analysis of CMV showed negative immunoglobulin (Ig) M and positive IgG. Blood CMV-DNA was 9.26 × 10 copies/mL. The diagnosis of gastrointestinal CMV disease was confirmed by histopathological findings of intranuclear and intracytoplasmic inclusions and Owl's eye inclusion. This case highlights the differential diagnosis and histopathological characteristics of gastrointestinal CMV infection and laboratory tests.
Extensive gastrointestinal CMV lesions can be induced by the immune suppression secondary to measles infection. Rational, fast, and effective laboratory examinations are essential for suspected patients.
胃肠道巨细胞病毒(CMV)疾病常见于患有晚期人类免疫缺陷病毒感染、肿瘤、实体器官移植、造血干细胞移植或接受免疫抑制剂治疗的免疫功能低下/免疫缺陷患者,但与麻疹感染相关的报道很少。
我们描述了一名9个月大男孩,因麻疹感染继发广泛胃肠道CMV疾病,表现为持续发热和血性腹泻。更昔洛韦治疗后病情好转。CMV血清学分析显示免疫球蛋白(Ig)M阴性,IgG阳性。血液CMV-DNA为9.26×10拷贝/mL。通过核内和胞质内包涵体及“猫头鹰眼”包涵体的组织病理学发现确诊为胃肠道CMV疾病。本病例突出了胃肠道CMV感染的鉴别诊断、组织病理学特征及实验室检查。
麻疹感染继发的免疫抑制可诱发广泛的胃肠道CMV病变。对于疑似患者,合理、快速且有效的实验室检查至关重要。