• 文献检索
  • 文档翻译
  • 深度研究
  • 学术资讯
  • Suppr Zotero 插件Zotero 插件
  • 邀请有礼
  • 套餐&价格
  • 历史记录
应用&插件
Suppr Zotero 插件Zotero 插件浏览器插件Mac 客户端Windows 客户端微信小程序
定价
高级版会员购买积分包购买API积分包
服务
文献检索文档翻译深度研究API 文档MCP 服务
关于我们
关于 Suppr公司介绍联系我们用户协议隐私条款
关注我们

Suppr 超能文献

核心技术专利:CN118964589B侵权必究
粤ICP备2023148730 号-1Suppr @ 2026

文献检索

告别复杂PubMed语法,用中文像聊天一样搜索,搜遍4000万医学文献。AI智能推荐,让科研检索更轻松。

立即免费搜索

文件翻译

保留排版,准确专业,支持PDF/Word/PPT等文件格式,支持 12+语言互译。

免费翻译文档

深度研究

AI帮你快速写综述,25分钟生成高质量综述,智能提取关键信息,辅助科研写作。

立即免费体验

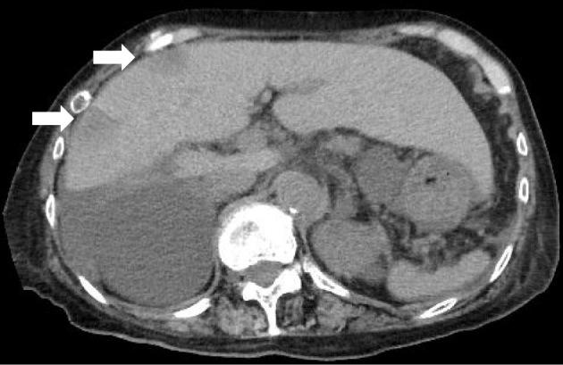
Sister Mary Joseph's Nodule from Pancreatic Cancer.

作者信息

Ando Yuya, Ono Sachiko, Ono Yosuke, Yin Jinghua

机构信息

Department of General Medicine, National Defense Medical College, Japan.

Department of Family Medicine, Graduate School of Medical and Dental Sciences, Tokyo Medical and Dental University, Japan.

出版信息

Intern Med. 2021 Oct 15;60(20):3339-3340. doi: 10.2169/internalmedicine.7414-21. Epub 2021 May 7.

DOI:10.2169/internalmedicine.7414-21
PMID:33967142
原文链接:https://pmc.ncbi.nlm.nih.gov/articles/PMC8580753/
Abstract
摘要
https://cdn.ncbi.nlm.nih.gov/pmc/blobs/df41/8580753/9b71f12c777c/1349-7235-60-3339-g004.jpg
https://cdn.ncbi.nlm.nih.gov/pmc/blobs/df41/8580753/ce72e74a4b36/1349-7235-60-3339-g001.jpg
https://cdn.ncbi.nlm.nih.gov/pmc/blobs/df41/8580753/8c2a767f8f25/1349-7235-60-3339-g002.jpg
https://cdn.ncbi.nlm.nih.gov/pmc/blobs/df41/8580753/9ccaa2554638/1349-7235-60-3339-g003.jpg
https://cdn.ncbi.nlm.nih.gov/pmc/blobs/df41/8580753/9b71f12c777c/1349-7235-60-3339-g004.jpg
https://cdn.ncbi.nlm.nih.gov/pmc/blobs/df41/8580753/ce72e74a4b36/1349-7235-60-3339-g001.jpg
https://cdn.ncbi.nlm.nih.gov/pmc/blobs/df41/8580753/8c2a767f8f25/1349-7235-60-3339-g002.jpg
https://cdn.ncbi.nlm.nih.gov/pmc/blobs/df41/8580753/9ccaa2554638/1349-7235-60-3339-g003.jpg
https://cdn.ncbi.nlm.nih.gov/pmc/blobs/df41/8580753/9b71f12c777c/1349-7235-60-3339-g004.jpg

相似文献

1
Sister Mary Joseph's Nodule from Pancreatic Cancer.源自胰腺癌的玛丽·约瑟夫修女结节
Intern Med. 2021 Oct 15;60(20):3339-3340. doi: 10.2169/internalmedicine.7414-21. Epub 2021 May 7.
2
Sister Mary Joseph's nodule as a first sign of pancreatic cancer.修女玛丽·约瑟夫氏结节——胰腺癌的首个信号。
World J Gastroenterol. 2012 Dec 7;18(45):6686-9. doi: 10.3748/wjg.v18.i45.6686.
3
Pancreatic Carcinoma Discovered by Sister Mary Joseph's Nodules.
Clin Gastroenterol Hepatol. 2020 Jan;18(1):A38. doi: 10.1016/j.cgh.2018.09.004. Epub 2018 Sep 8.
4
Sister Mary Joseph's Nodule as the First Sign of Pancreatic Carcinoma.玛丽·约瑟夫修女结节作为胰腺癌的首发体征
J Gastrointest Cancer. 2012 Sep;43 Suppl 1:S254-7. doi: 10.1007/s12029-012-9396-z.
5
[An umbilical nodule].
Rev Med Interne. 2014 Jan;35(1):73-4. doi: 10.1016/j.revmed.2013.04.006. Epub 2013 May 18.
6
Sister Mary Joseph's nodule derived from pancreatic cancer.修女玛丽·约瑟夫结节源于胰腺癌。
J Hepatobiliary Pancreat Sci. 2011 Jan;18(1):119-21. doi: 10.1007/s00534-010-0296-y. Epub 2010 Jun 15.
7
Sister Mary Joseph's nodule.
J R Coll Physicians Edinb. 2020 Jun;50(2):162-163. doi: 10.4997/JRCPE.2020.218.
8
Sister Mary Joseph's nodule: the tip of an iceberg.修女玛丽·约瑟夫氏结节:冰山一角。
Ann Ital Chir. 2020 Jun 16;9:S2239253X20032776.
9
[Umbilical nodules].
Rev Med Interne. 2020 Jun;41(6):427-428. doi: 10.1016/j.revmed.2019.10.336. Epub 2019 Nov 27.
10
Case for diagnosis. Ulcerated intradermal nevus simulating Sister Mary Joseph's nodule.诊断病例。溃疡性皮内痣,类似玛丽·约瑟夫修女结节。
An Bras Dermatol. 2018 Nov/Dec;93(6):905-906. doi: 10.1590/abd1806-4841.20187324.

引用本文的文献

1
Radiation Therapy for Sister Mary Joseph's Nodule: A Review.玛丽·约瑟夫结节的放射治疗:综述
Adv Radiat Oncol. 2023 Jul 23;9(2):101321. doi: 10.1016/j.adro.2023.101321. eCollection 2024 Feb.

本文引用的文献

1
Cutaneous Metastasis after Surgery, Injury, Lymphadenopathy, and Peritonitis: Possible Mechanisms.手术后、损伤后、淋巴结病和腹膜炎的皮肤转移:可能的机制。
Int J Mol Sci. 2019 Jul 4;20(13):3286. doi: 10.3390/ijms20133286.
2
Sister Mary Joseph's nodule.玛丽·约瑟夫修女结节
Ann Intern Med. 1998 Mar 1;128(5):410. doi: 10.7326/0003-4819-128-5-199803010-00017.